前言:检查发现肺结节的建议随访,一定要清楚并不是不管它,而是监控它的发展,寻找合适的干预时机,既不影响预后又推迟机体的创伤,还可能有等待肺结节与早期肺癌诊疗理念的变化。但随访的前提是安全,是不至于影响预后,如果再观察可能导致不良后果,可能增加转移风险或增加切除范围,那么又得当机立断予以干预处理。今天分享的这位结友,检查发现肺结节已经随访了五年了,他找到我看的时候,我告诉他不能再随访了,得干掉主病灶!
病史信息:
主 诉:发现左侧肺部阴影5年余。
现病史:患者于5年余前于当地医院体检,行胸部CT提示左侧肺部阴影(具体未见报告单),患者无明显症状,无畏寒、寒战,无咳嗽、咳痰,无胸闷、胸痛,无恶心呕吐,无腹痛腹泻,无头晕头痛骨痛等不适,患者定期随访复查。2周余前为复查于杭州市肿瘤医院就诊,复查胸部CT提示:左肺上叶磨玻璃灶,Lung RADS 4X级,IAC需考虑。患者现无明显不适,为求进一步诊治,拟“左侧肺部阴影”收入我科。 患者起病以来,神志清,精神可,胃纳可,睡眠安,二便正常,体重近期无明显变化。
影像展示与分析:
先看非薄层影像:

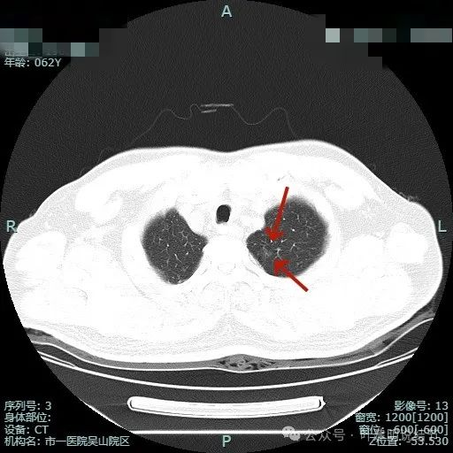
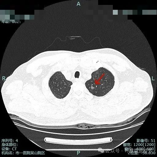
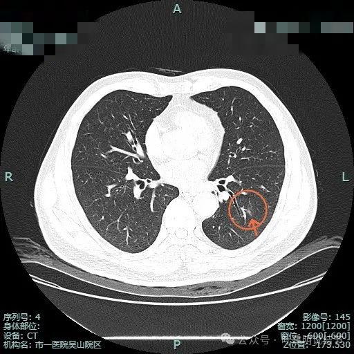
左上病灶出现,密度较淡,但轮廓较清。

密度不纯,有明显分叶。

有血管异常增粗与进入,边缘有细毛刺征。

血管穿行与表面浅分叶。
薄层影像:

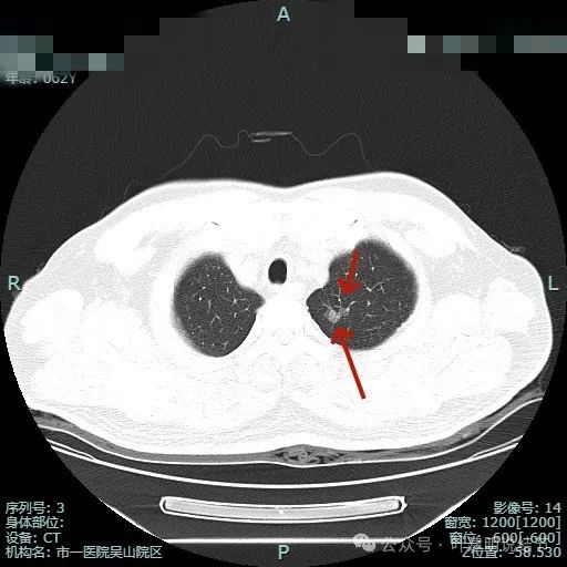
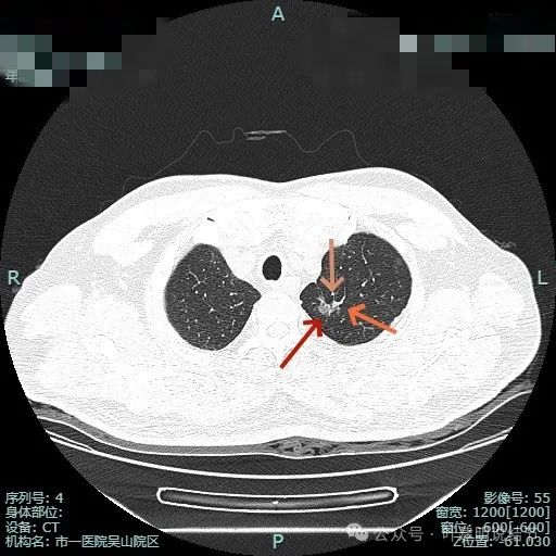
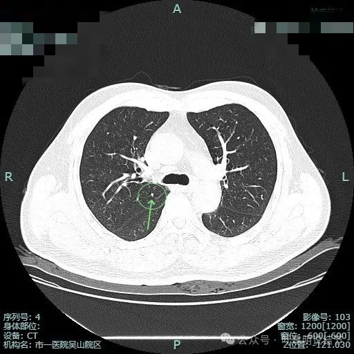
病灶出现,瘤肺边界清,表面不平有分叶。

灶内密度不纯,整体轮廓清,瘤肺边界清楚。

明显分叶以及血管贴边并有异常增粗。

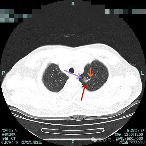
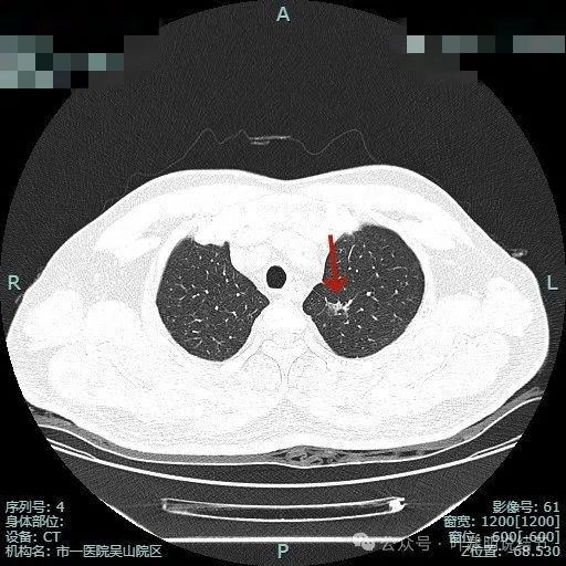
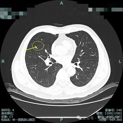
边缘毛刺,血管进入,灶边有细支气管扩张,整体轮廓与边界清。

血管异常增粗进入,灶内小空泡征,表面不平有浅分叶,灶内密度感觉欠均匀。

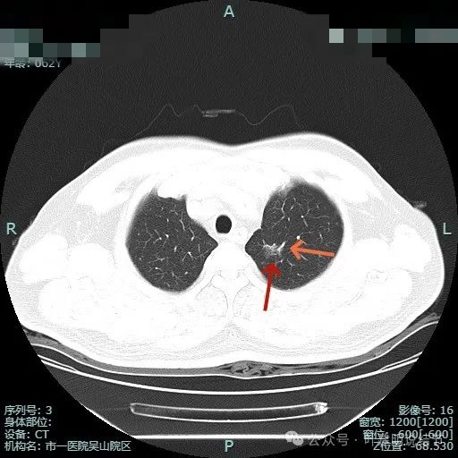
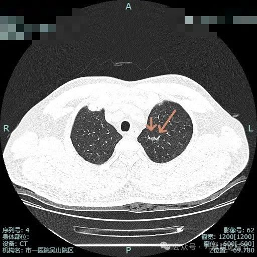
血管进入,边缘细毛刺,灶内小空泡,少许实性成分,表面不平毛糙。

似有月牙铲征,显得像混合密度。

边缘区域表面不平。

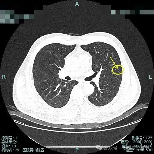
右上叶另有病灶B:微小淡磨,轮廓较清。

右肺另有微小实性结节,病灶C,考虑良性。

左上叶微小磨玻璃结节病灶D,有微小血管进入,但密度太低,风险极小。

右中叶微小磨玻璃结节病灶E,轮廓清,密度甚低,风险极小。

左下叶少许斑片状影,轮廓欠清,少许慢性炎或伴纤维增生或肺泡上皮增生。
临床考虑:
1、主病灶诊断问题:左上主病灶混合密度,表面不平,灶内显得杂乱;有血管异常增粗进入与穿行;边缘不平毛糙伴细毛刺征;灶内小空泡,灶边细支气管扩张;月牙铲征可见。诸多影像特征都指向其为浸润性腺癌可能性大,至少是微浸润性腺癌。而且随访长达5年余,所以不考虑炎性病变。由于密度不纯,血管进入与异常增粗,存在一定风险,不宜过度随访。加上位置仍不算太中央,能局部楔形切除,创伤小、恢复快,我们倾向手术切除。
2、次病灶考虑:两肺仍有多处小结节,多数密度极淡但轮廓与边界清,也考虑是肿瘤范畴的(包括肺泡上皮增生与不典型增生),但风险均低,随访无风险,而要一并处理切除则创伤过大不说,以后仍极可能再检出新的,于事无补,病灶与机体共存近年没什么风险,以后是否进展并发展到有风险视其以后变化情况再定。
3、手术方式考虑:病灶长达5年的随访,仍是混合密度结节,磨玻璃占比并不小,一般仍是贴壁为主型的腺癌,几乎不可能有转移,所以若亚肺叶切除,切缘阴性应该足够了。当然若情况均讲明利弊后,患方仍选择肺段或肺叶切除,那也是可行的。但个人极力推荐楔切就可以。
最后结果:
经过与患方的充分沟通并陈明不同术式的利弊,手术时机如何把握等建议后,患方选择单孔胸腔镜下左上叶部分(楔切)切除,由杭州市第一人民医院胸外科叶建明团队为其手术。

病灶切面灰白略黑,质稍硬。

病理示浸润性腺癌,贴壁90%,腺泡型10%,切缘未见累及,胸膜未侵犯,脉管阴性。
感悟:
肺结节的随访与干预的选择与把握真的没有完全一致的标准,而且如何干预,到底是手术还是消融、抑或多发结节主病灶切除后次病灶吃靶向来治疗等都有不同。对于肿瘤大小,到底几毫米以上该手术,虽有指南的建议,但临床把握上仍差别非常大。我们反复强调:1、以病灶风险程度高低,而不必紧盯最后病理类型来考虑。风险高低单次看影像,随访看对比。风险较大的依据是:范围明显扩大;血管异常增粗并进入穿行;出现实性成分;邻近结构受到影响。2、以干预与随访对患者利弊权衡来考虑。这既包括肺组织切除的多少、费用的高低,也包括心理状态的影响以及求职、婚姻、生育等方面的影响。3、总体上要把握随访不影响预后,干预创伤较小,并为后续新增病灶留有余地来考虑。4、要做好充分的沟通与完全自主的患方知情同意与选择。因为本来指南一是滞后、二是不够具体缺乏可操作性。这才导致目前肺结节诊疗的混乱,所以充分如实的告知显得无比重要。