前言:肺结节是否手术,我一直在强调一看良恶性,二看风险,三看位置。若位置好,能楔形切除,而又不能除外恶性,且密度不纯或实性,相对可以积极点;同样情况或位置不好,则要保守点。因这如果要切肺叶,结果良性则不划算的。但临床上的情况,有时却是病灶位置不好,切除范围大或要切肺叶,但它恶性的影像特点又不典型,可它随访又缓慢增大,这时候是很难决断的。我总觉得,此时,风险、风险、风险高低才是重要的考虑因素。也就是说“切了是良性带来的创伤”与“随访是恶性导致预后不良”两者之间如何权衡。这是根本的,重点要考虑的问题。今天分享的这位结友就是纠结于此,我们来看看其情况。
病史信息:
基本信息:
女性,55岁。
主诉:
发现肺结节 5 年。
现病史:
患者于5年前行ct检查发现肺部结节,有痰,早上的时候偏多,未诉其他明显不适,检查结果已上传,为进一步治疗,特来问诊。
其他病史:
23年12月某大一附院心超心脏二尖瓣重度返流,24年3月上海中山心超二尖瓣轻中度返流。心脏有室性早博。
既往病史:
手术:于2005年做过心脏房间隔缺损修补。
希望获得的帮助:
想知道是否手术?以及这个结节性质。
影像展示与分析:
先看不同时间段的病灶影像:

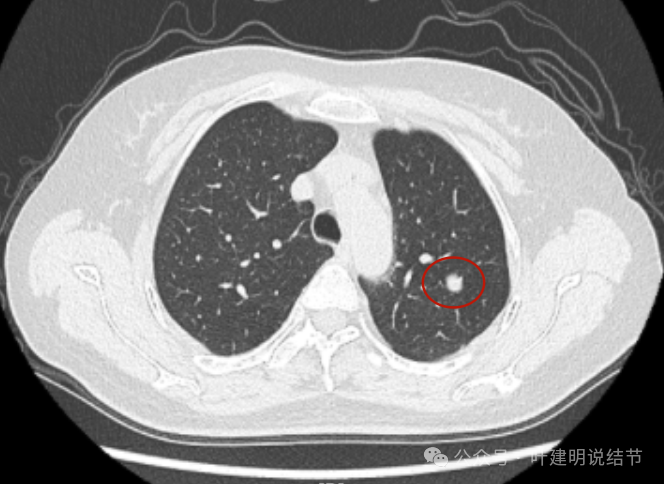
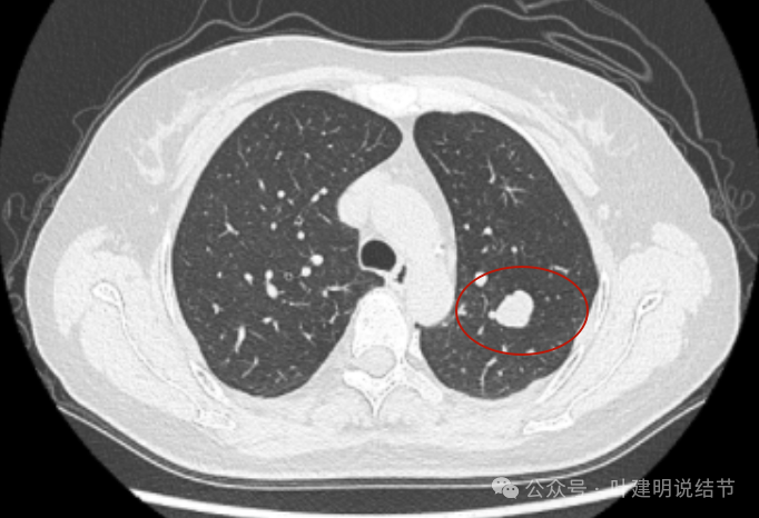
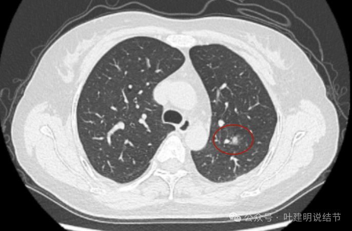
2019年5月时左上叶实性结节,边缘很光滑,没有毛刺或血管征,影像上看像良性的。

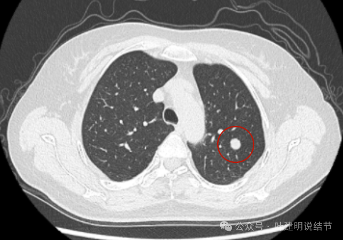
2019年10月,变化不大,但这个层面看略显得有膨胀感。

2020年5月,病灶仍是边缘非常光滑,局部表面似有凹陷。

2021年9月,病灶相仿,但与邻近血管的距离似乎较最初的更靠近一点。

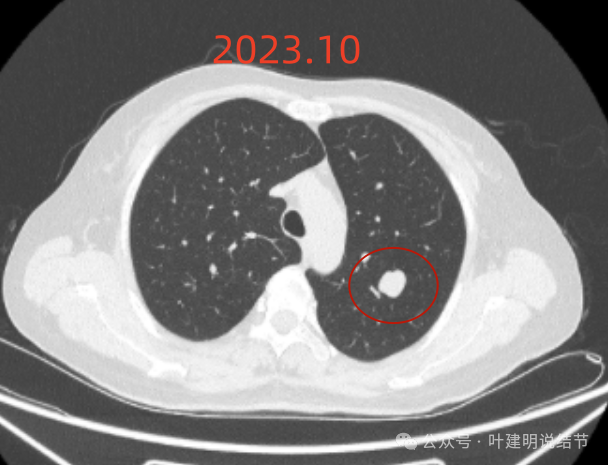
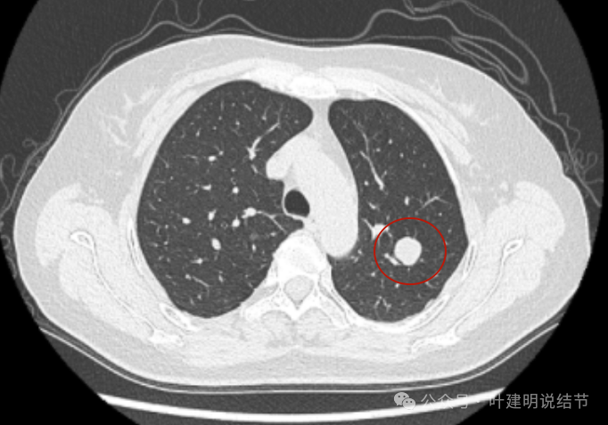
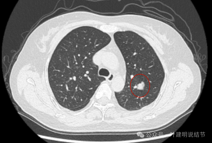
2024年10月,病灶较2019年时明显显得大了一些,挨着邻近血管了。

2023年12月,与血管已经贴着了。整体较最早时大了不少。

纵隔窗增强见血管与病灶没有间隙,病灶内部密度不均。
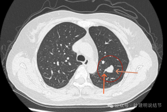
再来看2023年12月时连续层面的影像:

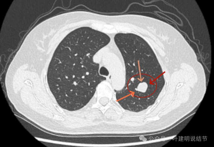
病灶出现,边缘区表面不是很光滑,似有少许磨玻璃成分以及边缘略显毛糙。

表面不是太光滑,中间的密度略显低。

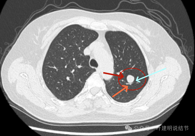
血管贴得近,但没有牵拉或分支进入病灶,整体表面较为光滑。

与血管关系近,结节有膨胀感。

此层看与血管紧贴,没有间隙。局部有轻凹陷。

病灶明显感觉较为膨胀。

似见血管征,表面欠平滑,倾向浅分叶的样子。

边缘区密度不是太致密,有点像磨玻璃偏实的样子。

边缘区域混合密度的表现。
我的意见:
左上叶这个病灶看影像感觉边缘比较光滑,内部密度较为均匀,似乎是良性的。但我们如果将其2019年到2023年底的最大层面的影像放在一起对比,病灶是逐渐有增大的。2023年12月的肿块出现浅分叶、整体感觉鼓鼓的,原来病灶与旁边血管是有距离的,但最近这次的已经紧贴着了。但在纵隔窗看,病灶并无钙化或内部坏死密度,说明不太符合肉芽肿性炎或慢性炎性病灶。我觉得要十分倾向恶性肿瘤!低度恶性或交界性肿瘤可能性大。之前我碰到过随访10年的边缘光滑的实性病灶,从3厘米增大到8厘米多,术后是神经内分泌肿瘤的。我的想法还是要考虑切了,术前也可再复查下PET-CT,看看代谢是否活跃。但其实即使代谢轻度增高,也是放着不放心的。若是无代谢的,当然则与恶性不太符合(这种可能性是小的,无代谢不可能又增大)。这个位置穿刺可试试,但有点深,是否可行要与穿刺实施的科室医生沟通看看,若穿刺恶性仍得开刀,穿刺没见到癌细胞,但随访增大仍不放心。个人其实不是特别推荐穿刺。意见供参考!
感悟:
随访了5年,从最早到最近,病灶是增大进展明显的,只是影像表现上不是典型恶性的表现。便膨胀性、浅分叶等征象仍是有的。个人觉得这样的病灶放着是极不放心的,而且真恶性,随访过关可能会导致不良后果。之前长得慢,并不表示以后也一定是线性缓慢增长,它可能会加速进展的。你能接受真恶性,从发现时小而早期,变成晚期不能手术或转移吗?还是接受切了万一是良性受到了创伤?熟轻熟重需要自己把握与思考!