首款国产7T临床磁共振系统来了!

 

就在9月10日,西门子医疗官方微信公众号发布了一条言简意赅的消息,宣布其国产化的新一代7T磁共振MAGNETOM Terra.X(简称Terra.X)通过NMPA(国家药监局)审批,成为国内首款全国产7T临床磁共振系统

 

一个新时代,正在到来。

 

7T从科研走向临床

 

西门子本次获批的Terra.X是其最新的7T磁共振系统,实现了完全国产化。

 

在此之前,其兄弟型号MAGNETOM Terra(简称Terra)在2022年10月被NMPA批准,使其成为我国首款也是当时唯一一款获得NMPA许可的超高场设备,同时也是当时全球首款同时具备NMPA、FDA以及CE许可的7T磁共振系统

 

作为业界首款双模态7T磁共振系统,Terra能够在临床和科研两个模态之间任意快速切换。因此,这也是国内临场磁共振系统首次达到7T超高场水平,被认为是一次重大突破

 

Terra.X则是Terra的升级版,具有全球首个8通道动态并行传输架构,极大提高传输均匀性。同时,它还集成人工智能,提供增强的7T成像能力,并提供加速图像采集功能,能够在不到15分钟的时间内完成高分辨率的脑部和膝关节检查,对于临床而言意义重大。

 

在此之前,FDA也刚刚在4月批准了Terra.X,随后,西门子就在美国阿拉巴马州奥本大学萨穆尔・吉恩工程学院的神经影像中心安装了首台Terra.X,据称价值900万美元(约6400万元人民币)。相信在国产化后,其价格能够相应下降。

 

磁场强度(场强,单位T,即Tesla)是衡量磁共振系统性能的核心指标,按磁体产生静磁场强度大小,磁共振系统分为低场(0.1-0.5T)、中场(0.6-1T)、高场(1.5-2T)及超高场(3T)。目前,主流临床磁共振系统以1.5T居多,属于中场范畴。近来新兴的3T磁共振系统则已经属于超高场范畴。

 

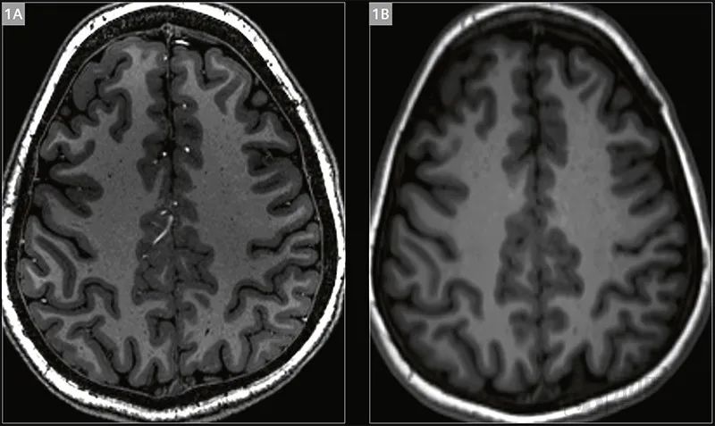
更大的场强通常意味着可以更高的图像分辨率或更快的人体成像,比如3T磁共振图像可以分辨1mm细节,到了7T,则可以实现0.5mm精细成像,远比3T和临床主流的1.5T图像清晰,甚至可以看到人类大脑神经元传导信息的图像。以癫痫为例,与3T相比,7T磁共振能额外发现43%的癫痫病灶。在肌肉骨骼成像中,7T可以捕捉到软骨和半月板中的最小细节,从而支持医生做出治疗决策。

 

图片7T(上图左)与3T(上图右)脑部图像对比

 

7T磁共振系统在科研领域已经投入应用数十年。早在1999年,西门子就和美国明尼苏达大学合作研发了全球第一台7T工程原型机,并在2002年实现7T磁共振系统的商业化——全球第一台商业化科研用7T磁共振系统在美国麻省总医院落地运行。

 

不过,初期的7T不仅价格昂贵,且存在诸多技术限制。比如,覆盖范围有限、图像不均匀且采集时间过长,这些不足在科研领域可以忍受,但在临床应用上就无法接受了。

 

在安装和运输上,第一代7T磁体也存在很多不足,比如采取被动屏蔽的方式,磁体重量也重达40-50吨。这要求放置磁共振系统的机房需要采取特殊屏蔽处理,总重高达100-150吨,根本无法在医疗机构实现。直到目前的第三代磁体,才逐步解决了这些问题,可以实现临床安装。

 

与此同时,超高磁场强度对于人体的影响也仍有争议。研究发现,超高场磁共振系统的受试者表示会感到头晕,在检测过程中他们有时表示会尝到金属味,看到白色闪烁或经历称为眼球震颤的非自愿眼动。

 

另一方面,高场强带来高分辨率,但它对微小的运动却比以往任何时候都更敏感,进而影响成像。比如,受试者在漫长的磁共振中不可能保持绝对静止,即使是无聊地伸展脚趾这样的无意识运动也会导致大脑成像变化——因为脚趾也通过神经与大脑相连。

 

正因为这些原因,尽管7T磁共振早已问世,但直到2017年底,西门子Terra在FDA和CE的获批才正式标志着临床7T时代的来临,并率先落地美国明尼苏达州的梅奥诊所。国内迎来临床7T则更晚一些,如前所述,直到2022年才完成审批。

 

根据媒体报道,2024年5月,我国首台可用于临床的科研型7T超高场磁共振在中南大学湘雅医院正式开机,也是由西门子提供。

 

在7T磁共振系统上,西门子一直保持优势。这一优势源自其对核心磁体技术来源的收购——2003年,西门子收购了牛津仪器旗下磁体技术部。迄今为止,这一部门已经创造了磁体领域的多个第一,比如全球第一台具备主动屏蔽技术的1.0T、1.5T、3T磁体皆出自其手。

 

除了西门子,另一影像巨头GE医疗也在2020年宣布了其首款应用于科研的7T磁共振系统SIGNA 7.0T,并于2021年在国内上市。

 

7T并非终点,更高场强的磁共振系统也正在研发中。2023年,西门子就与超导体公司ASG Superconductors签署协议,将合作共同开发更清晰的超高场MRI系统,用于开创性的大脑研究。协议的第一个项目就是向我国安徽综合国家科学中心交付10.5T磁共振系统。

 

政策与企业战略的

双重推动

 

与之前在国内获批的Terra不一样,Terra.X则是西门子首款国产化7T磁共振系统,“首款国产”是其最为重要的标签

 

跨国械企的国产化,一方面是来自政策的压力

 

2021年,财政部和工信部联合发布《政府采购进口产品审核指导标准》(2021年版)中明确规定了政府机构(事业单位)采购国产医疗器械及仪器的比例要求。其中,1.5T和3.0T的磁共振系统需要达到100%国产比例。

 

尽管7T磁共振系统因其过于高端尚未被列入采购要求,但随着国内顶尖医院陆续开始引入,以及潜在的国内医疗器械品牌在该领域实现突破,未来被加入限制并非不可能。

 

根据媒体统计,截至2021年,全球共有全球已有100台7T磁共振系统。其中,美国独占37台,我国仅有9台,落后于美国和德国。但2023年,我国公开的7T磁共振至少已经达到15台。其中,包括8家科研机构和7家医院。考虑到我国科研和临床的巨大需求,可供成长的空间不小。

 

正因为此,为了应对采购要求,全球医疗器械大厂比以往任何时候都更为强调“国产化”。

 

作为应对,西门子在2022年6月正式发布了“国智创新”本土化战略,宣布将通过“推动实现全产品线国产化”“基于中国市场需求进一步深入创新研发”“推进本土业务模式升级”三个维度,以一家“中国公司”身份,深度参与“健康中国”建设。

 

在“推动实现全产品线国产化”战略的推动下,西门子的多款医疗器械已陆续实现全国产化,Terra.X正是其中最新的一个案例。这些在国内生产并获证的产品已赢得国产医疗器械待遇,并已在多个不接受进口投标的公开招标中实现以国产身份中标。

 

另一方面,出于成本和市场的考虑,械企巨头对于本土化一直有很高的热情。早在2020年,西门子就曾探索利用铁路方式运输高端医疗器械。在此之前,中欧的高端医疗器械运输方式一直都以空运及海运为主,空运虽快但价格昂贵,海运成本低但耗时长。

 

西门子在这次试运行中利用了“中欧班列”,从德国出发,途径多国抵达国内,再由公路运输最终运抵医院。全程花费28天,相较传统海运加陆路运输,缩短了至少1/4耗时,同时节省了运输成本。

 

当然,一旦就近生产制造,这些成本和耗时还可以大幅下降。考虑到我国巨大的医疗器械市场增长空间,加上在制造业上的巨大优势,从商业角度而言,没有理由不这么做。

 

事实上,这种国产化的进程早在过去几十年就已经陆续开展

 

早在2002年,西门子就在深圳设立了西门子(深圳)磁共振有限公司,主要负责研发和生产磁共振成像系统。2005年,西门子医疗磁共振园又在深圳成立。2013年,西门子医疗在深圳拓展了高端磁共振系统的研发和生产规模。

 

经过多年耕耘,西门子(深圳)磁共振有限公司已成为西门子全球最大的研发和生产基地之一,总面积达4.6万平方米,员工总人数约1000人,其中研发人数超过总人数20%。

 

毫无疑问,跨国企业的这些本土化战略贯穿生产制造、创新研发,培养了大量相关人才,也打造了多层次多维度的本土生态圈。国内影像品牌及相关产业链的崛起,也从中获益匪浅。

 

以联影医疗为例,已形成自主可控全产业链闭环,其自主研发的5.0T磁共振系统就在年内成功获得FDA批准。此外,联影医疗还在2020年发布了国内首款用于临床前研究的超高场9.4T动物磁共振,也为未来用于人类的7T或更高场强磁共振系统研发探路。

 

除了联影医疗,辰光医疗亦成长为磁共振系统领域重要的上游企业,是超导磁体领域全球为数极少的具有7T自主开发和商业化能力的独立供应商,不仅与跨国影像企业合作紧密,也是国内众多磁共振系统品牌的核心供应商。目前,辰光医疗已开发成功预临床7T整机系统,安装于复旦大学类脑智能科学与研究院。

 

假以时日,国产品牌的首台7T磁共振系统也将到来。

 

国产品牌的崛起,正迅速改变行业的市场格局。

 

首先,国产品牌的市占率在迅速上升,根据中国医学装备协会发布的2024年第一季度报告对国内第一季度磁共振公开中标数据统计,联影医疗已以24.90%的市占率排名第二,仅落后西门子医疗不到2%。此外,东软医疗的中标数量占比也成功跻身前五。

 

在竞争重压下,以往高不可攀的大型影像设备也大幅降价。以2024年河南安阳市、县、乡三级32家公立医疗机构组成的采购联合体采购价格来看,中标的飞利浦1.5T磁共振系统价格降幅高达83.52%之多。这将大幅提升磁共振系统的基层渗透,对于基层患者而言无疑是件好事。

 

何时诞生属于自己的

全球化影像巨头?

 

随着西门子首款全国产7T磁共振系统的获批,可以在更多场合准入,更多科研机构和医院也将会把目标锁定到这款产品。我国也将迎来磁共振7T时代的加速,对于科研和临床都有巨大的价值。

 

另一方面,尖端影像设备的国产化也是当前医疗影像设备白热化竞争的缩影。无论是跨国企业的本土化,还是国产品牌的突破,越来越激烈的竞争正使得以磁共振为首的医疗影像器械越来越普及,进而发挥更大的临床价值。

 

在这个产业的进化过程中,我们能不能诞生出属于自己的全球化影像巨头,为“GPS”加上一个字母呢?让我们拭目以待。

 

参考资料:

王昊昊,洪心旖:《中国科学报,国内首台临床科研型7T磁共振在湘雅医院投用》

医工研习社:《中国有多少台7T磁共振?》

医疗器械经销商联盟:《2024年第一季丨国内医疗影像设备中标数据出炉》

众成医械:《集采后降幅高达101.16%,GPS三巨头的本土化战略如何打通国内市场》

亿渡数据:《辰光医疗(430300)——国产MRI部件龙头企业,打破国外技术垄断》

Emmanuel C. Obusez, M.D.; Doksu Moon, M.D.; Paul Ruggieri, M.D.; Irene Wang, Ph.D.; Stephen E. Jones, M.D., Ph.D. MAGNETOM Flash (80) 1/2022 Clinical · Neurologic Imaging:Comparison of Clinical 7T vs 3T MRI for Epilepsy: A Photo Essay