俗话说“民以食为天”,而在追求健康的道路上,中国人更是把“食补”二字刻在了基因里。
近期,来自华中科技大学和华中农业大学的研究团队发表于Nature子刊Nature Aging的一项研究更是把家家户户常见的黑米推上了改善阿尔茨海默病(AD)的C位。
这项研究表明,黑米中富含的α-亚麻酸(ALA)和11,14-二十碳二烯酸(EDA)是一对“黄金搭档”,它们能通过协同作用,激活GPR120受体,进而启动下游Gαi1-mTORC1信号通路,促进大脑中淀粉样斑块相关小胶质细胞/巨噬细胞对β-淀粉样蛋白的吞噬清除,从而在阿尔茨海默病小鼠模型中显著改善认知功能并延长其寿命。

DOI:10.1038/s43587-025-01028-4
单打独斗不行,“黄金搭档”才无敌
研究人员首先给患有阿尔茨海默病的转基因小鼠(APP/PS1小鼠)喂食添加了50%黑米糠粉的特殊饲料。他们发现,连续吃了120天后,这些痴呆小鼠的学习和记忆能力,竟然比吃普通饲料的同类好了不少。在“莫里斯水迷宫”测试中,它们能更准确地找到水下隐藏的平台。
黑米里到底有什么宝贝?
于是,他们通过精密分析,在黑米中检测到了21种游离脂肪酸,其中有两种格外突出:一种是α-亚麻酸(ALA),属于ω-3脂肪酸;另一种是11,14-二十碳二烯酸(EDA),属于ω-6脂肪酸。

黑米饮食中富集的ALA和EDA对AD模型小鼠认知功能的挽救作用
研究人员一开始想,单独给痴呆小鼠吃这两种酸,会不会有什么效果?于是,他们给小鼠分别喂食了不同剂量的ALA或EDA。
结果却让人失望。无论是ALA还是EDA,单独使用,都无法改善痴呆小鼠的记忆力!
但研究人员没有气馁,他们调整了策略,想到了“组合拳”。他们将较低剂量的ALA(每克体重20微克)和EDA(每克体重2微克)混合,每天给小鼠喂一次。
此时,奇迹发生了。这个组合竟然产生了1+1>2的效果。无论是8个月大还是11个月大的APP/PS1小鼠,在接受了这个组合疗法后,它们在迷宫测试中的表现都显著提升,记忆力衰退被有效阻止,甚至恢复到了接近正常小鼠的水平。
那么,它们合体后,到底在脑子里干了些什么?
随后,研究人员利用冷冻电镜和分子动力学模拟发现,ALA和EDA“联手”的目标,是GPR120蛋白。这个蛋白好比驻扎在大脑淀粉样斑块相关巨噬细胞/小胶质细胞表面上的一个“信号兵”,它负责接收外界指令,并告诉细胞该做什么。
具体来说,EDA会先找到一个变构调节位点,紧紧“抱住”GPR120,改变它的形状。这一“抱”,让ALA能以高出5倍的亲和力与GPR120结合。
当ALA和EDA双双结合到GPR120上后,它们共同触发了细胞内部GPR120-Gαi1-mTORC1这条信号通路。

ALA和EDA与GPR120结合并激活其功能
大脑“垃圾”被清除
众所周知,AD的核心病理特征之一,是大脑中β-淀粉样蛋白的异常聚集和沉积,这些聚集体会干扰神经元功能,进而引发神经炎症和认知功能衰退。
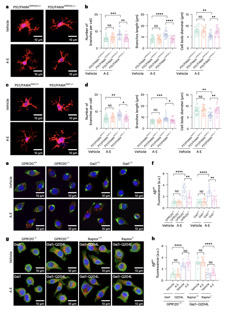
而斑块相关巨噬细胞和活化的小胶质细胞(PAMAs)是大脑中负责监视和清除这些异常蛋白沉积的免疫细胞。在AD的病理进程中,这些细胞对β-淀粉样蛋白的清除能力往往出现功能障碍或数量不足。
ALA与EDA的协同作用主要体现在对PAMAs功能的调节上。首先,在动物模型中,联合施用ALA和EDA使得小鼠大脑皮层和海马体中,位于β-淀粉样蛋白沉积物周围的PAMAs密度显著增加了50%以上。这些细胞的形态也发生变化,表现为细胞突起(分支)延长,形态上更趋于活化状态。

ALA和EDA通过激活GPR120–Gαi1–mTORC1通路,增强PAMAs的吞噬能力
其次,在细胞实验中,将PAMAs与ALA和EDA共培养后,这些细胞吞噬荧光标记的β-淀粉样蛋白(Aβ-ph)的能力也显著增强。
接下来,研究人员通过基因编辑技术,特异性地敲除了PAMAs细胞上的GPR120基因。结果发现,再给这些小鼠喂ALA与EDA的“组合拳”也完全没用了。大脑里的β-淀粉样蛋白沉积物依旧堆积如山,小鼠的记忆力也依然糟糕。同样,如果敲除下游的Gαi1基因,也会得到一样的结果。
这说明,ALA和EDA的治疗效果,是完完全全、精准地依赖于PAMAs细胞上的GPR120及其下游信号通路。
不仅如此,研究人员甚至还追踪了小鼠的整个生命周期。结果表明,患有AD的APP/PS1小鼠,其中位寿命721天。正常小鼠中位寿命是812天。而接受了ALA和EDA“组合拳”治疗的APP/PS1小鼠,其中位寿命被显著延长,几乎恢复到了812天的正常水平。
当然,我们也要保持理性的期待。这项研究目前是在小鼠模型上取得的突破,距离转化为人类的临床药物还有很长的路要走。
但是,这项研究的意义依然重大。它第一次如此清晰地揭示了一个从“食物成分”到“特定受体”,再到“细胞功能”和“疾病表型”的完整链条。
[1]He, A., Wang, Y., Shen, Y. et al. Allosteric activation of a cell-type-specific GPR120 inhibits amyloid pathology of Alzheimer’s disease. Nat Aging6, 181–199 (2026). https://doi.org/10.1038/s43587-025-01028-4
