前言:实性结节相对于磨玻璃结节的诊断确实难得多,但我们如果抓住两点:一是随访有无进展,二是影像细节有无倾向恶性的特征。综合评估仍会八九不离十的。今天分享的这个病例是本院一位退休中层领导的亲哥哥,原来肺部就有实性结节,今年体检说其中有处较往年有增大,但无法定性质。我建议他来我门诊查了靶扫描后认为基本必是肺癌,而且要尽快手术。结果证实我们的判断是正确的,只是病理类型有些意外。
前期沟通:

同事哥哥查出肺结节,说2024年较2022年时有增大,但2023年时较2022年时小,目前是略大于1厘米。肿瘤还是感染伴痰栓定不了。
影像展示与分析:
先看薄层平扫不同结节的情况:

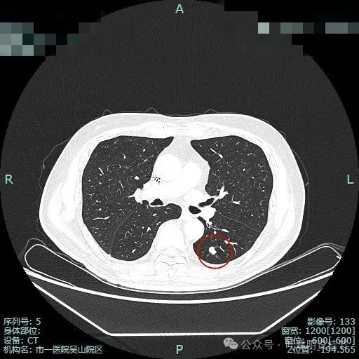
左下叶背段主病灶,密度高,是实性的,表面不平,有点像土豆。

左下基底段实性结节,表面较平直,缺乏膨胀性,此灶2019年时就有存在,对比无显著变化。

右上叶脊柱旁微小磨玻璃结节,轮廓较清。
再看靶重建的影像:

右上结节虽小,但轮廓较清,邻近有小血管走行,两者之间有缝隙,说明不太像肺内淋巴结或普通急性炎症。

其实密度不太纯,边缘显毛糙,离叶间裂近,但叶间裂无明显牵拉。

中间似有血管穿行,离胸膜也近的,整体轮廓较清。
此灶考虑肿瘤范畴的可能性大,微浸润性腺癌或不典型增生可能性大,有时细支气管腺瘤也会类似表现。总体可先随访,反正它也不是主病灶。

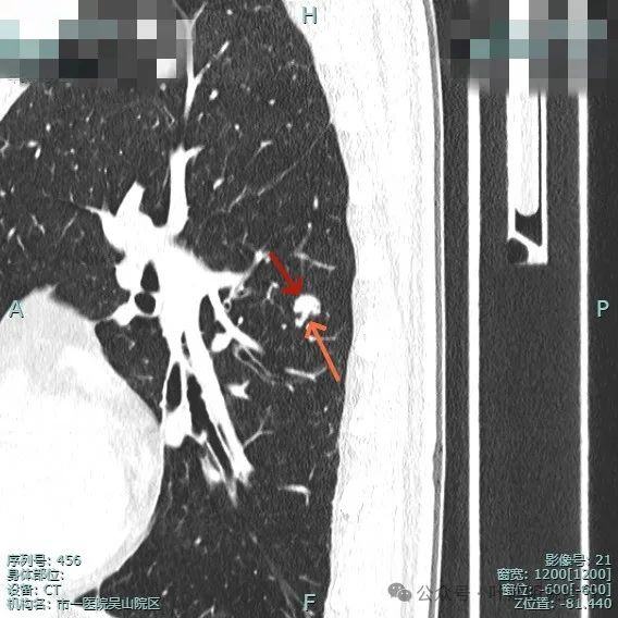
左下背段病灶实性,密度较高,紫色箭头处表面有细锯齿状,桔色箭头示有血管发出分支进入病灶且进入的血管到了结节边上有增粗。

多支血管进入,病灶有膨胀感。

边缘毛糙,细毛刺或锯齿状明显。

整体膨胀性较明显,有少许磨玻璃成分,周围肺野较清晰,血管与之关系密切。

细小毛刺可见,少许磨玻璃成分,整体轮廓较清。

邻近血管与之近但两者间有间隙,说明非普通伴水肿的炎性病灶;病灶膨胀感显得较明显,有鼓鼓的感觉。

进入的血管壁显得毛糙,有异常增粗,结节与邻近血管之间有间隙征,整体有膨胀感。

像个腰子的形态,靠下侧深凹进去,说明有收缩力吗?还是月牙铲征?

病灶表面细锯齿状,整体膨胀性明显,血管进入并异常增粗,整体轮廓清,周围肺野清晰。

病灶表面不平,形态略不规则,血管进入,边缘细锯齿状。
临床考虑:


1、左侧背段病灶基本上就是恶性的,而且恶性程度不会太低,当然由于收缩力不强,似乎也不像以实体型或微乳头为主型,但可能有部分这类成分。不宜再观察随访,要尽快手术。当时同事问能否年后再开,我觉得那有风险。又问能否元旦后开,我觉得那总不至于相差几天会两样的结果;
2、左下基底段的结节由于存在时间长,且没有明显变化,考虑是增殖灶;
3、右上叶的考虑微浸润性腺癌或不典型增生,或细支气管腺瘤,但反正非同侧,目前不考虑干预或处理,先随访。
PET检查结果:
由于也有医生意见不一致,也有到省级医院打听并咨询。我认为PET做下也好,一是帮助患者下定手术的决心;二是实性病灶看看有没有远处转移的可能性也是好的。

PET报告也是考虑左下背段的是恶性病变。
最后结果:
患者肺功能欠佳,年纪较大,最后经过沟通,充分知情同意下,部分是妥协性,也部分是意向性行左肺下叶部分切除。
术中快速切片示浸润性癌。

常规病理出来有些意外,居然是低分化神经内分泌癌,复便性小细胞肺癌,小细胞成分占15%,大细胞神经内分泌癌占85%。淋巴结有采样是阴性的。
感悟:
这个病例知道病理后再回头看,难怪感觉收缩力不强,原来不是腺癌,而神经内分泌癌,不管类癌、不典型类癌、大细胞癌或小细胞癌都是可以缺乏收缩力的,只表现为边缘较为光滑的实性结节。而之所以22年时就有,还2年来只有所增大,不至于像大部分小细胞癌那样发现后很快进展并转移,是因为只占了15%的小细胞成分。神经内分泌癌我有碰到过10年从3厘米光景长到8厘米左右,仍无淋巴结或远处转移的。但今天这个病例仍给我们不少启示:1、实性结节随访增大的要警惕,报告一度有所缩小不可靠(不自己看影像,容易认为相关1-2毫米就是缩小,其实是测量误差,或测量时没有按最大径);2、对于小结节,靶扫描能提供的影像细节信息比普通平扫多得多,在判断良恶性上有优势;3、我们之前就总结过,四不像的,形态不规则的,像良性又像恶性的,容易是恶性;4、病灶的收缩力不适用于所有类型的肺癌,鳞癌、神经内分泌癌、粘液腺癌等可以缺乏收缩力,甚至有的类型膨胀性也可以不明显。唯有不断总结反思、从影像细节入手并结合病史以及前后对比,综合评估才能有更准确的判断。