主 诉:发现右上肺占位1年余。
现病史:患者1年余前体检发现右肺上叶结节,当时无咳嗽咳痰,无胸闷气急,未予以治疗行定期复查,2天前因“右乳癌术后”在某医院复查就诊,查胸部增强CT右肺上叶前段见一片状高密度影,大小约29.7mm*23.2mm,边缘见分叶、毛刺、胸膜凹陷。当时无畏寒发热,无咳嗽咳痰,无咯血,无胸闷气急胸痛,无呼吸困难等不适。今来我院就诊,门诊拟“右上肺占位”收入院。 本次发病以来,患者精神可,胃纳一般,睡眠可,二便如常,体重无明显改变。既往史:既往体质:良好,无高血压、冠心病、脑梗等心脑血管病史,无糖尿病、甲亢等内分泌疾病史,无肺部疾病、肝病、肾病等疾病史,无肝炎,结核等传染病史,预防接种史:同社会,输血:无,手术及外伤史:有手术外伤史,曾行右乳癌改良根治术、阑尾切除术,食物、药品过敏史:无,传染病史:无 。
影像展示与分析:
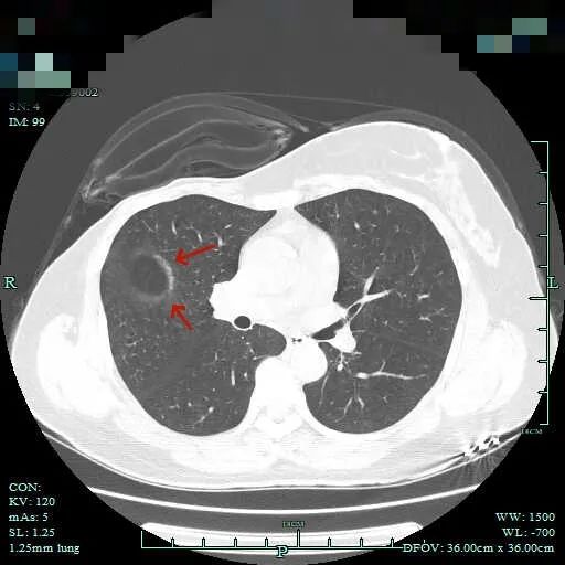
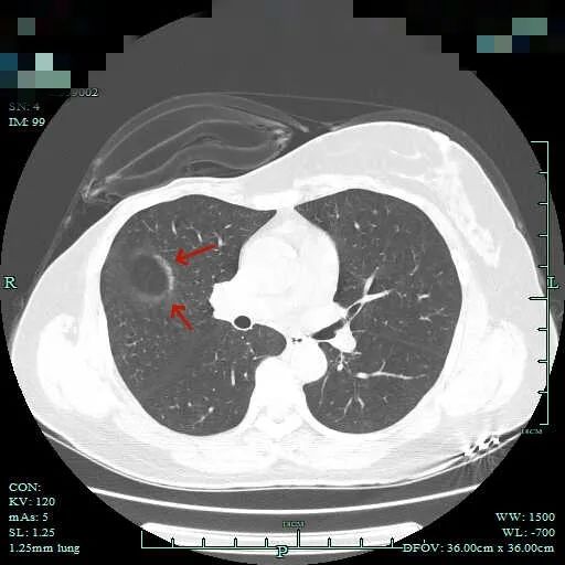
先来看在外院今年复查时的片子:




再看这次入院后在本院复查的平扫片子:











临床考虑:
这个病灶在外院的报告是提示较既往的片子有增大进展的,但我们没有见到以前的影像。不过影像科报有增大进展,加上此次影像上看明显是混合密度,且边缘毛糙不平,细毛刺明显,血管穿行与进入也明显,何况紧贴叶间裂,若确实恶性,那是极容易胸膜种植转移的!这病灶放着那是睡不着觉的,所以我们建议其手术切除。术前还在想,如果术中发现胸腔内已经有种植转移,那么病灶单纯切除以取得病灶,指导术后综合治疗也是好的。
最后结果:
经科室讨论并与患方充分沟通,予以胸腔镜下手术。由杭州市第一人民医院胸外科叶建明团队为其手术。



感悟:
这个病灶术前确实难以确定它是良性,甚至术中肉眼看到标本仍然没有办法排除恶性。但是我们看他病理报告出来以后,再回过去看,从影像上,我觉得紧贴叶间胸膜,密度也比较高,但是说不上明显的胸膜牵拉,而且病灶内的密度过于杂乱,这可能是不是太符合恶性的特征。另外进胸以后,胸腔镜下看病灶它不是向病灶侧凹陷,似乎还有点鼓起来,这点其实也是不太像恶性的;切下来以后剖面看,确实与平常肺癌的灰黑结节相比,显得略微湿润一点,这种容易是肉芽肿性炎。当然,这个病灶从要不要手术来讲,仍然是有手术指征的。不做手术也没有办法确认他是何种疾病,加上随访进展以及它的位置。肺部阴影的诊断与治疗,总会碰到各种奇奇怪怪的病例,经验的积累与分享永远在路上。
