前言:我这些年来由于网络问诊的关系,见识到了全国各地各种针对肺结节诊疗的混乱,有太多的患者反映当地医生极力建议手术的结节,在我看来有许多都是风险很低,能安全随访的。虽然过度治疗在一定程度上来讲,是普遍现象,但在有的地区感觉尤为盛行。当然同一地方也有积极与保守之间的不同。我只是感觉上某些地区的问诊结友,他们反映的当地医院特别显得积极。我们医生对肺结节的认识其实也是一个渐进的过程。在2010年到2015年间,我们对肺结节的认识还不够,我自己组里也有开出来是淋巴结、良性结节的,也有原位癌或微浸润性腺癌切了肺叶的,但那时候的争议在于原位癌要不要清扫淋巴结,手术都是主张的,指南也是认可的。但放到现在,如果磨玻璃结节考虑恶性范畴(包括原位癌与不典型增生)就建议手术,显然就不太妥当了,即使切了也不违反指南精神。但肯定不是以人为本。我之前也讲过,有一段时间,我以为“原位楔形切除、微浸润性腺癌肺段切除、浸润性癌肺叶切除”这是最正确的。但当目前的指南说原位癌与微浸润性腺癌完整切除后5年生存率均100%,还能认为之前这观点是对的吗?大量的磨玻璃为表现的浸润性腺癌切了后是贴壁为主型,淋巴结全都是阴性,还能认为只要浸润性就得切肺叶吗?就都要清扫淋巴结吗?也是符合指南精神,却可能并不贴合以病人为中心考虑的实际。医生也要回顾、反思、总结,再提升,要有对肺结节认识上的变化才行。今天分享的这位结友是多发结节,他说当地医院的专家极力建议他手术,还说对比有进展!
病史信息:
基本信息:
男性, 27岁。
主诉:
发现肺部结节3月余。
现病史:
2024年8月5日年度体检薄层CT显示多发结节,2024.11.14复查发现其中一个混合磨玻璃结节新见实性密度影,未诉明显不适,为进一步治疗,特来问诊。
其他病史:
父系家族有哮喘病史,本人先天肺活量偏低(3500单位左右)且有过敏性鼻炎。居住地有养猫,存在一定毛屑和空气污染问题。平时工作强度大,长期睡眠不足(最近3年工作日睡眠日均5.5-6.5小时左右)
希望获得的帮助:
在当地某医院挂过A医生的号,对比阅读两次影像资料后,医生怀疑右肺上叶尖的混合磨玻璃影是早期原位癌,两次影像资料可以观察到明显进展,建议尽快安排单孔胸腔镜手术切除。同时考虑右肺中叶外侧段的实性结节伴随血管穿行,可能性质也不好,虽然两次CT观察该结节暂无进展,但如果决定做右肺手术的话,建议一同切除。左侧肺叶的纯磨玻璃结节,他认为性质相对良好,也未观察到明显进展,可以暂时不处理。希望能根据两份影像资料,给一些影像学上的分析和建议,比如形态学指征、高危结节可能的性质、是否建议手术?
影像展示与分析:
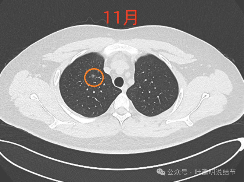
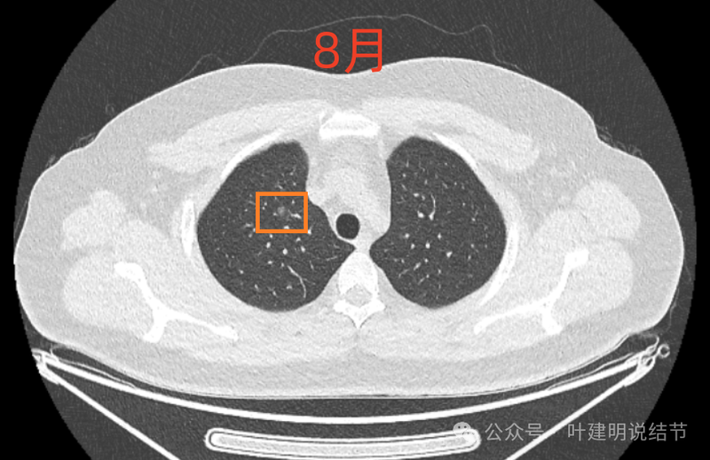
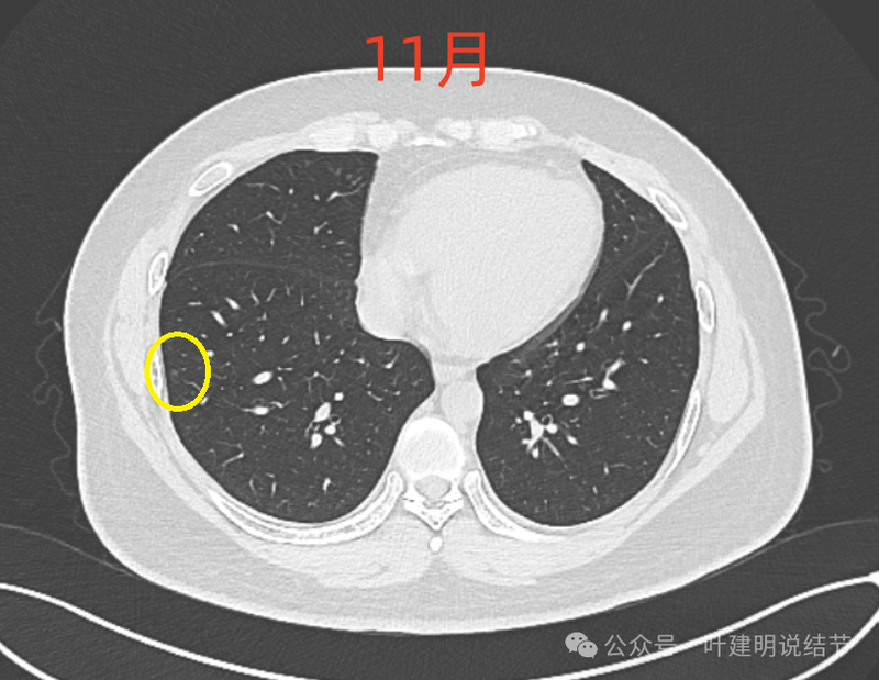
病灶1:

右肺尖磨玻璃结节,整体轮廓与边界清,有微小血管进入与穿行,但肿瘤本向说不上实性密度。

8月时似乎略模糊点,但显著的变化显然仍是说不上的。风险并不能算高,当然东西是肿瘤范畴的,原位癌或不典型增生均可能。
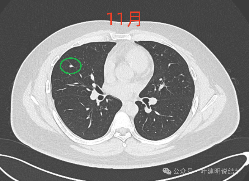
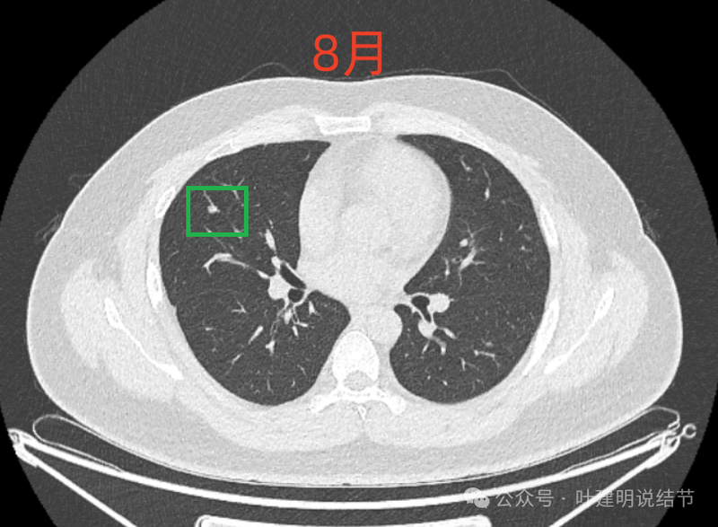
病灶2:

右中叶实性结节,密度过高,边缘光滑,膨胀性不明显,边上有微细条索状,是血管还是纤维条索不太明确。

8月时也有,而且密度与大小相仿,考虑良性可能性大,应该再随访观察。
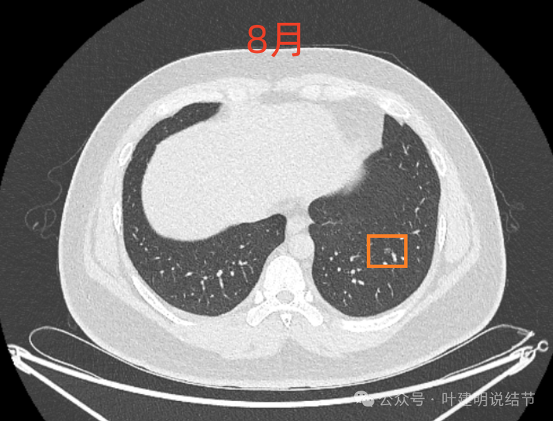
病灶3:

右下很淡的磨玻璃微小结节,轮廓较清,考虑肺泡上皮增生可能性大,风险低。

8月时也有,似乎更淡更小。
病灶4:

左下磨玻璃微小结节,轮廓与边界清楚,像是肿瘤范畴的,肺泡上皮增生或不典型增生可能性大,近期风险小。

8月时与后来的相仿。
这样的对比,似乎略有变化,又似乎说不上明显变化。本身扫描条件也可能不同。所以我常强调,不要在意过于细微的变化,因为这不影响临床决策。而影响到决策的变化一眼就看出来了。有些同道呀,喜欢拿放大镜看,然后告诉患者有进展,很危险,得尽快手术!只能呵呵了。下面是不同指南与共识对于随访的建议,大家可以自己看。

我的回复:
现在的人工智能辅助诊断系统太过敏感,非常微小的结节都给你找出来,但是对于临床来说并没有多大意义。当结节才几个毫米的时候,既没有办法明确到底是什么,也没有必要明确到底是什么,按照中华医学会肺癌诊疗指南,8毫米以下纯磨玻璃结节或5毫米以下实性结节(包括混合密度结节实性成分不足5毫米)也就是年度复查就可以。所以其实并不一定要在意到底有多少处结节,或者要考虑是什么。主要就关注最主要的病灶,如果主病灶仍没有风险可以年度体检复查,那就可以随访,不能也不必有过大的思想顾虑。我看了你的CT,目前这些结节均风险小,其中右侧桔色框起来的是所谓主病灶,仍是纯磨密度,又还小,考虑不典型增生可能性较大;左下桔色的也是磨玻璃密度,但轮廓不如右上这处清楚,若确实肿瘤范畴,也是原位癌或不典型增生可能性大,但也有少许慢性炎伴肺泡上皮增生或纤维增生的可能性;中叶绿色的密度过高,更符合良性些;右下黄色的过小,11月份的像磨玻璃密度,边界较清,但对比8月时的,此灶不太明显,当然本身过小,也可能没有扫到最明显层面,不过总归风险小,能观察随访(左下的也8月时更显淡和不明显点)。总体上,这几处病灶都是风险还低,可以继续半年到一年复查随访,真若有明显进展并具有一定的风险再来干预处理不影响预后。本身年纪轻,又是多发结节,目前的病灶又都风险低,可以过于积极赶紧处理。意见供参考!
感悟:
这种轮廓与边界清楚的微小的磨玻璃结节,随访过仍在,也多是肿瘤范畴的,但基本上肺泡上皮增生、肺泡上皮不典型增生、原位癌可能性大些,也有的切出来报微浸润性腺癌的,但我们要知道:1、不管报什么,只要是纯磨玻璃密度(穿行而不增粗,也没有散开来的微血管不算,要看肿瘤本身),哪种都一样,都是切了就是治愈,不会复发或转移;2、致病因素未知,尤其多发的,切了还会再长新的,不能解决问题,多处切除反而影响后续再出现的新的病灶的观察;3、随访到有进展并具一定风险了再干预与早些干预,预后并没什么不同,但临床上随访长达3年、5年,甚至10来看进展非常缓慢或几乎无进展的并不少见。所以对于年轻患者,外科手术的干预或包括其他局部治疗手段对肺结节的干预要更加慎重些。这与传统肺癌中年轻患者要更积极,手术往大了做以求彻底是相反的。主要是磨玻璃肺癌的生物学行为与传统实性肺癌不同。大家记住一点:现在的医院基于业绩与业务发展的需要、医院规模的扩张,以及医保DRGS付费后短平快的手术病人效益才更好,过于积极的手术是常见现象。在指南原则范围内的积极手术并无法认定医方的过度治疗,但事实上难道不是?年轻结友,尤其是多发的,对于手术的建议,听话要听一半:考虑早期肺癌是对的,要听,要重视并按时监测随访;建议手术要慎听,自己要多学习肺结节知识,以免“正确”的被过早手术。