知名大三甲发生一级甲等事故!
医院判赔44万、承担49%责任!
2025年2月19日,中国裁判文书网公布了一起最新宣判的二审民事判决书,令全国医务工作者深思。

根据案由显示,患者李某丙此前在北京某医院神经外科住院治疗“脑动静脉畸形”行“脑动静脉造影+动静脉畸形栓塞术”。术后康复后,患者出现左侧活动不能,头晕、言语不清、口角歪斜、饮水呛咳等情况。
在北京做完手术9个多月后,为更好地康复,患者以“左侧肢体活动不利9月余”入住新疆某大三甲医院康复科,入院诊断为:1、右侧基底节脑梗死、左侧肢体偏瘫、偏身型肌张力障碍。2、大脑血管静脉畸形。
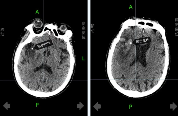
在新疆某大三甲住院4天后,患者出现左侧肢体无力,不能翻身,医院随即进行了核磁共振检查,结果显示脑梗死。
次日,紧急进行了手术。手术后的第二天3:25分,患者抢救无效死亡。死亡原因:呼吸、循环衰竭。
针对患者的死亡,家属和医院产生了争议,家属一纸诉状将医院告上了法庭。
患方认为:新疆某医院康复科、放射科存在误诊误治。患者在新疆某医院某路院区放射科做了核磁检查。康复科、放射科在核磁共振片子明显提示病人脑出血的情况下出现了严重的误诊误治,康复科给病人使用脑出血禁忌药依诺肝素,口服阿司匹林肠溶片和氯吡格雷。
神经内科病程上清楚地记录了CT检查结果,诊断:急性脑血管病,脑出血。所以,新疆某医院某路院区放射科、康复科出现严重误诊误治。依据《中华人民共和国侵权责任法》第五十七条,医务人员在诊疗活动中未尽到与当时的医疗水平相应的诊疗义务,造成患者损害的,医疗机构应当承担赔偿责任。
对于患方的控告,医院也给出了解释,医院认为自己的诊疗过程无违法违规行为。
医院列出了3点意见:
第一、患者住院4天后出现症状,再次完善头颅CT提示右侧额顶梗塞后出血,立即将患者转入重症医学一科,之后手术治疗,转入后向患者家属详细交代病情及相关手术并发症,患者家属拒绝手术并签字;患者病情逐渐加重,我科反复交代病情后,患者家属同意手术,于次日在全麻下行“右额颗开颅脑内血肿清除术+人工硬脑膜修补术+去骨瓣减压术”,术后转入我院重症医学二科继续给予积极抢救治疗,患者于手术后第二天03:25分抢救无效死亡。
第二、患者后期诊断明确,诊断为:(1) 右侧额颞顶大面积脑出血并破入脑室 (2)蛛网膜下腔出血 (3)右侧额颞顶大面积脑梗死 (4)脑疝。诊断依据:我院某路院区头颅MR提示右侧额顶亚急性脑梗死,移动CT提示:右侧额颜顶大面积脑出血并破入脑室、蛛网膜下腔出血;(5)术前查体提示患者昏迷,双孔散大,光反射消失,气管插管,呯吸机辅助呼吸。
第三、患者入我院时病情危重,我院态度明确,建议急诊手术治疗,反复多次向患者家属详细交代病情,患者家属拒绝手术并签字。故我院继续给予积极保守抢救治疗。患者双孔散大时再次交代病情,患者父亲强烈要求手术,此时已脑疝晚期。
患者生前曾患有脑动静脉畸形的自身疾病,并给予过脑动脉畸形栓塞术,此病极易出现出血,梗死等并发症。因出血性梗死该病发急,致残率和致死率较高,患者自身疾病存在并发症发作风险较高,患者死亡与我院治疗无直接因果关系。
至于为何有出血依然使用了阿司匹林等抗凝药物,医院回应:患者是急性脑血管病,混合型脑卒中(有大面积脑梗塞、也有出血),使用抗凝治疗并无不妥。
后经司法鉴定,乌鲁木齐某医学会出具XXX号《医疗事故技术鉴定书》,鉴定结论认为,本病历属于一级甲等医疗事故,患方承担主要责任,医方承担次要责任。
鉴于此,一审法院认为,患者李某丙自身既往存在“脑动脉畸形”,曾行大脑血管动静脉畸形栓塞术,入院时左侧肢体偏瘫等情形,上述疾病属于高危基础疾病。
同时,在诊疗过程中,医方使用抗凝药物之前对患者评估不足且未经神经内科会诊,也未告知患者及家属抗凝药物的不良反应,降低了患者抢救的成功率。据此,新疆某医院诊疗行为对于患者李某丙死亡结果具有过错。
综上所述,法院认定新疆某医院承担49%的赔偿责任,赔偿原告各项损失共计439,887.10元。
双方均不服气,二审判决近日出炉
神经内科之痛:脑梗合并出血,到底该怎么治疗?!!
医院要承担49%的责任,赔偿44万元,医院不服,提出了上诉。医院认为,我医院即使承担人道主义责任,也不应当超过鉴定所出具的鉴定意见上的责任比例,更不应当承担超过49%以上的责任比例,不能因为患者死亡,就背负那么大的责任。
家属则认为,患者死亡,医院应该负全责,也提起了上诉。
2024年11月25日,重新立案后,法院依法组成合议庭进行了二次审理。
法院认为,针对医院的诉求,认定新疆某医院承担49%的赔偿责任是否适当的问题,鉴定意见认为新疆某医院的诊疗行为存在过错,与患方主张的损害后果有一定的因果关系,原因力大小次要为宜。
在充分考虑患方陈述意见以及新疆某医院的抗辩意见情况下,确定由新疆某医院承担49%的责任比例未超过鉴定机构作出的原因大小的鉴定结论,故本院对患方以及新疆某医院的相关主张不予采纳,维持原判。
二审出来后,医疗界瞬间炸了锅。
河北一名神内医生表示:“这个案件我一直关注着,我们神经内科一直有一个痛点,那就是脑梗合并出血,到底该怎么治疗?!!这里有很多治疗矛盾,就算这次你不用抗凝药,脑梗依旧也会要了患者的命,到时候还是有罪,到底该怎么办?”
是呀,脑梗合并出血,到底该怎么治疗?这个问题抛给任何一个专家,都无法十分有把握地给出回答,这个问题太棘手了。

临床上,脑梗后又合并出血一般称为急性脑梗死后出血转化,它一直是很麻烦的问题,因为这两个治疗方案截然不同的疾病竟然碰在了一起。其出现的明确的机制尚不完全清楚,需要深入研究。
由于这是一个复杂的问题,对于脑梗合并出血的患者,何时停止抗凝、何时恢复抗凝,笔者不想多说,有兴趣可以查阅一下《中国急性脑梗死后出血诊治专家共识》。

笔者想说的是,抗凝和不抗凝很难把握时机,医生怎么做都是为难的,我们只能乞求患者不出意外,如果真出了事,像这个案件一样,就算左右为难,诊疗并无大的差错,但该赔钱还是要赔钱。
只要有患者死亡,医院就要赔钱
为什么会出现这种情况?
我们发现一个共同点,目前的所有医疗案件中,只要患者死亡了,无论是谁的责任,医院总得要赔钱!
四川一名消化内科医生就表示:“法院说医生对患者的风险评估不到位、沟通不到位。请问:怎样才算到位了?这种医疗官司总是用万能模板,有没有错都可以套用,反正没有明确的标准,什么事你都可以说成是不到位。不到位这个词太宽泛了,每个人的看法都不同。是不是只要患者死在医院里了,就是医院的错,医院就得赔钱呢?如果一直持有这个观念,那还打个什么官司,患者死了,不论对错,医院赔钱就是,赔到破产,也省的去法庭走一遭了。”
确实如此,我们发现,患者因为诊疗在院内死亡,不管院方有没有尽力救人,最终都会承担一定的次要责任,往往以赔款了事,如果被鉴定为一级甲等医疗事故,那担负的责任会更大一些,赔的钱也会更多。那么,出现什么情况会被判定为一级甲等呢?
根据根据《医疗事故分级标准 (试行)》的规定,一级甲等医疗事故是指医疗机构及其医务人员在医疗活动中,违反医疗卫生管理法律、行政法规、部门规章和诊疗护理规范、常规,过失造成患者死亡,也就是呼吸和心跳停止。这里不包括脑死亡。

目前,我国医学上对死亡确定有一个通用标准,即心跳和呼吸永久停止,生命活动和新陈代谢终止,各种死亡试验都不起反应,同时躯体的低下部位出现尸斑等,即可认定为真正的死亡。
通俗地讲,患者的死亡是一级甲等医疗事故的重要标准,例如,一个医生对不同病人先后进行了相同的不规范操作,病人都出现了并发症,其中一个病人轻微损害,另一个病人却出现了死亡的情况。对于死亡病人,自然是一级甲等医疗事故,但对于出现轻微损害的病人,即使操作再不规范,也不构成一级甲等事故,因为病人的生命安全没有受到影响,所以,这是以结果为导向的。
对此,云南一名心内科医生就表示:“我曾在行政待过一段时间,按照我们医院法律顾问的意思,现在这个医疗大环境,只要去做鉴定,医院多多少少都会有问题,因为医疗工作是人做的,病程是人写的,但是鉴定专家是上帝视角,是等病人出问题后再倒推医院有哪些过错。所以,以找错的目的去进行医疗鉴定,总能找出过错,你能说啥呢?只要患者没救活,如果家属昧着良心想上告法庭,那你就等着赔钱吧。”
只要有患者死亡,不管是谁的责任,如果家属闹一闹,医院肯定要赔钱,到底为什么会出现这种情况呢?真的搞不懂。
