前言:现在经常有碰到肺结节发现已经多年的,当都有影像资料的时候,我们对比就能勾勒出病灶发展变化的过程,看出它们从小到大,从低危到风险增加的过程。回顾分享这类病灶的发展过程,非常有利于积累临床经验,为此后遇到类似表现的肺结节,预判它们发展情提供有用的、可借鉴的价值。今天分享的这位结友发现肺结节7年了,有不同时间段的影像资料,我们一起来瞧瞧他的结节七年的成长之路。
病史信息:
基本信息:
男性,49岁。
主诉:
体检发现结节7年。
现病史:
该患于7年前体检发现肺结节,年度复查,检查结果详见病历资料,目前无其它不适症状,为明确诊断及进一步治疗前来就诊。
希望获得的帮助:
有无肺部结节手术指征?或后续随诊观察建议。
影像展示与分析:
先来看既往的影像:

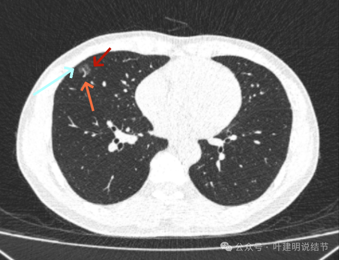
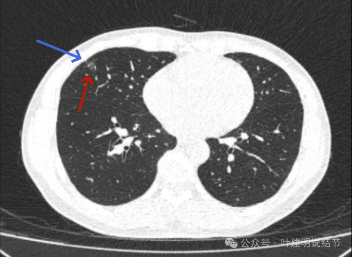
2017年初发现时,右中叶囊腔型病灶,囊壁密度淡但轮廓较清,有贴边血管,但血管无明显异常增粗,总体病灶较小,约1厘米光景或稍不到1厘米。整体轮廓是清楚的。

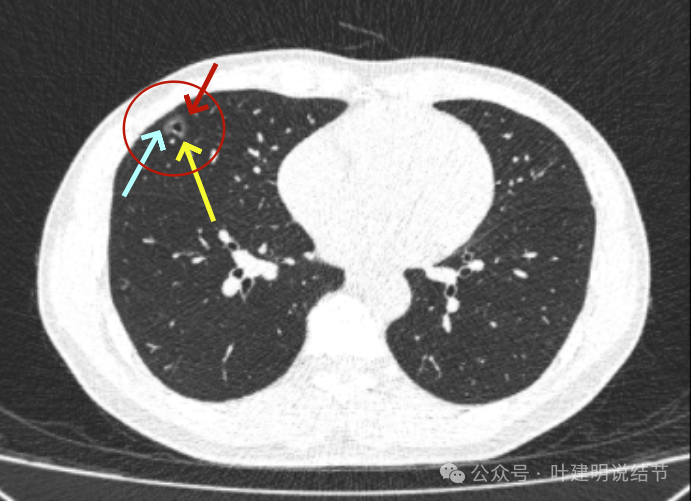
2022年11月时,病灶较前范围有所扩大,表面现分叶征,灶内有血管穿行,轮廓与边界清楚。

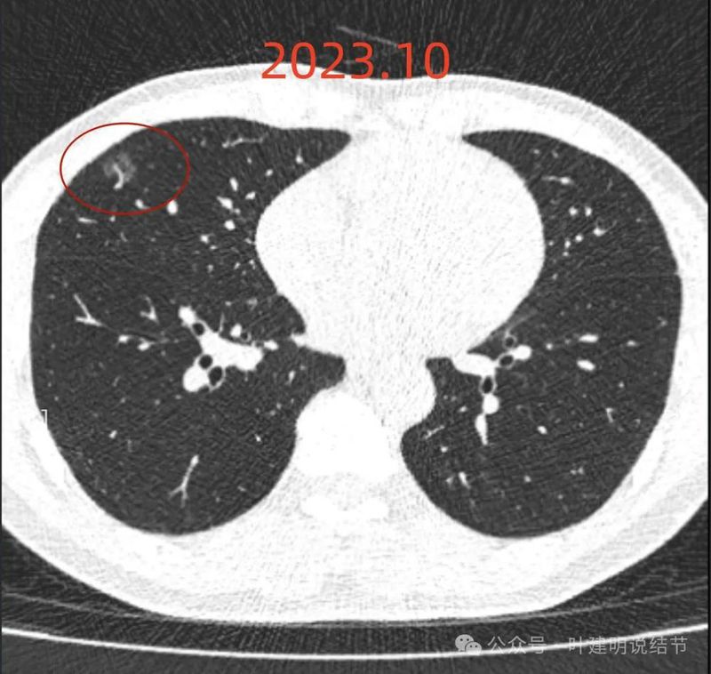
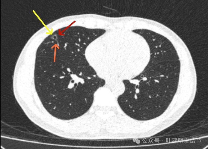
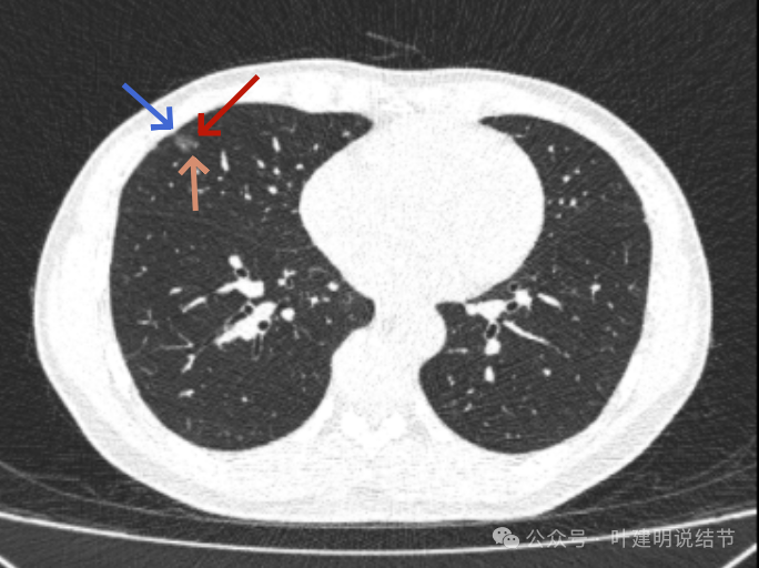
2023年10月时病灶又有进展,表面有细毛刺、灶内血管明显异常增粗,中间仍有小的空泡征,整体轮廓与边界清,大小也有所增大。磨玻璃部分的密度也较之前有所增加。

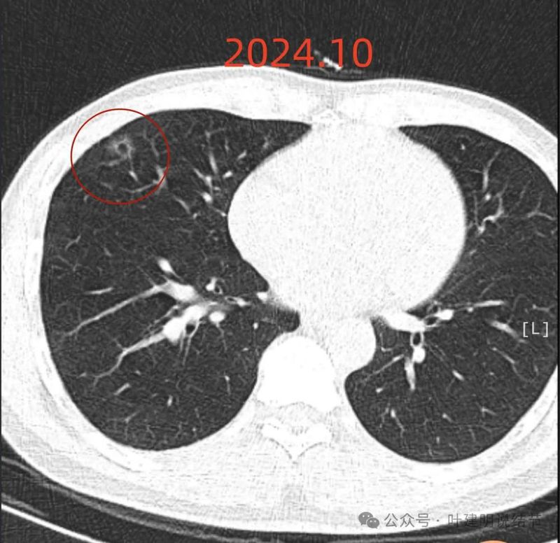
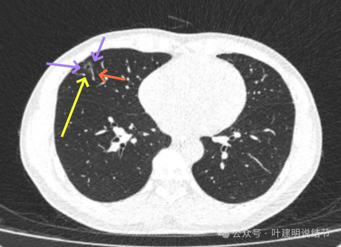
上图是2024年10月的,可惜不是薄层影像,与2023年的可比性差。
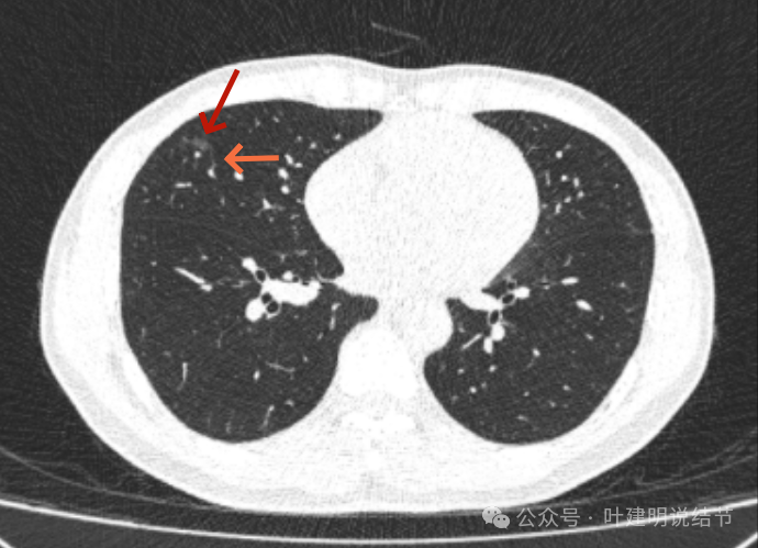
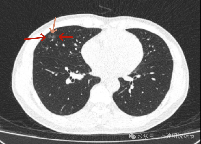
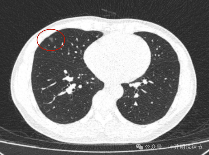
下面是2023年10月时薄层的连续层面,更能反映结节的真实影像表现:

病灶出现,磨玻璃密度,轮廓较清,有微血管进入。

分叶征明显,灶内似有细支气管扩张,表面不平。

胸膜间隙征存在;血管进入与异常增粗,边缘细毛刺,整体轮廓与边界清。

中间仍有空腔征,表面细毛刺,整体轮廓清。

囊壁密度不均,有少许偏实性成分,边缘细毛刺,有小血管进入。

毛刺征明显且典型,血管进入并增粗,邻近胸膜似略有牵拉影响。

边缘部分也密度欠均匀,相应胸膜稍有牵拉影响。

表面不平,轮廓清,有分叶,有胸膜牵拉。

边缘也是磨玻璃成分,边界与轮廓清楚。
我的意见:
右肺磨玻璃密度结节,有血管进入并伴有空腔,表面毛糙,随访逐渐进展,有浅分叶征,考虑是肿瘤范畴的,目前与微浸润性腺癌可能性大,也可能是浸润性腺癌贴壁为主型。由于随访进展,而且位置靠肺的外周比较近,能够局部楔形切除。我的想法还是可以考虑单孔胸腔镜下局部楔形切除了。报告上标注出来左侧的不像恶性,至少现在还不需要管。意见供参考!
感悟:
我们一直强调:磨玻璃密度结节若整体轮廓与瘤肺边界清,再加上随访持续存在基本上就是磨玻璃肺癌。但是肺癌并不等于必马上要手术,就如此例随访已经长达7年之久,全目前仍无显著实性成分,只有囊壁密度部分稍偏高。病灶总体显示出越来越多的向侵袭性增加的方向发展的影像特征,包括:血管进入与增粗、浅分叶征、细毛刺征以及胸膜轻微的牵拉影响。但我们也曾总结过,空泡征其实并不与恶性程度增加相关,在磨玻璃结节中,伴空泡或囊腔基本上确实是恶性,但不是说恶性程度高一些,个人觉得反而说明侵袭性相对弱一些。许多朋友将这点搞混了,以为含空泡征的恶性程度高。干预与否的考虑来讲,像此例不是说不能再随访,再随访就必转移或预后不同,只是已经有明显进展,并伴有血管进入与异常增粗、边缘毛刺出现,表明其侵袭性在增加,即使再随访也在较短时间内不得不手术,那么目前不开刀,仍随访半年或1年,即使是再随访2年,除了增加风险,这么短时间的创伤延迟并没有很大的意义,反而是以风险的增加为代价的。所以我主张权衡利弊分析,并建议可以考虑手术干预了。