膝关节犹如精密机械中的轴承,无论是站立、行走、奔跑、下蹲还是跳跃,我们的每个动作都依赖于膝关节的灵活运作。然而,再顺滑的“轴承”也难逃岁月侵蚀。
骨关节炎(OA)是一种退行性疾病,是导致关节疼痛的主要病因之一,其病理特点主要是关节软骨变性破坏、软骨下骨硬化或囊性变、关节边缘骨质增生、滑膜病变、关节囊挛缩、韧带松弛或挛缩、肌肉萎缩无力等。
与类风湿关节炎等其他关节炎相比,骨关节炎仅侵犯关节本身,不会对身体其他重要脏器造成损害,病程进展缓慢,因而常常被忽视。即便我们悉心呵护,随着年龄的增长,也仍有可能患上膝关节骨性关节炎。
这种疾病原本在老年人群中更为普遍,但近年来发病趋势明显年轻化,许多因过度肥胖或长期缺乏运动的中青年人纷纷中招。
轻症的骨关节炎可以通过改变生活习惯、外用或口服药物、物理疗法、关节腔注射等治疗方法缓解病症;终末期的膝关节骨性关节炎普遍会选择全膝关节置换术(TKA),治疗后活动受限。对于许多轻中度骨关节炎患者,尤其是年轻患者而言,保留自然膝关节、维持高质量生活成为他们迫切的诉求。
为此,关节植入物制造商Moximed公司研发了一种皮下植入式减震器(ISA)——MISHA膝关节植入物,旨在通过减轻关节负荷来缓解疼痛,改善关节功能。
当地时间8月13日,Moximed 宣布完成由 Patient Square Capital 旗下平台 Elevage Medical Technologies 领投的9100万美元(约合6.5亿元人民币)的 D 轮优先股融资,包括6100万美元和至多3000万美元的额外融资选择权。资金将用于加速其核心产品MISHA膝关节植入物在美国的商业化。

根据公开资料查询,Moximed自成立起已累计融资超18400万美元,折合超13亿元人民币
值得一提的是,MISHA膝关节植入物并非Moximed唯一商业化的产品。早在2015年,MISHA膝关节植入物的前身Atlas Knee System便获得CE认证,并于同年实现商业化应用。根据数据平台growjo估算,Moximed 当前年收入约为131万美元,约合9301万元人民币。
不切除骨骼、肌肉、韧带,不改变关节结构,为患者保留自然膝关节与更多治疗选择
MISHA膝关节植入物于2023年3月获FDA批准上市,同年10月获得FDA“突破性设备认定”,是第一个获得FDA批准的皮下植入式减震器(ISA)。

MISHA膝关节系统植入物
其依据“减轻疼痛关节炎关节的负重可以减轻疼痛并改善功能”的原理开发,适用于轻中度膝关节骨性关节炎患者,植入后可减少行走、跑步或站立等活动中疼痛膝关节的峰值力。
有两点需要特别说明,一是MISHA膝关节植入物是吸收了多余的关节负荷,而不是将负荷转移到关节的其他健康区域,类似于减震器;二是MISHA不能治愈关节炎,只能缓解疼痛,是一种过渡阶段的治疗器械。
MISHA膝关节植入物由两个分别固定在股骨远端和胫骨近端的底座,以及在两个底座中间的吸收器,外加6支固定底座的螺钉组成。该产品按已完全组装状态供应,并有大小左右之分。其通过内侧囊外空间的皮下组织中的单个切口植入,使用锁定螺钉固定到股骨远端和胫骨近端的内侧皮质上。植入物与内侧膝关节一起分担负荷,关节球窝使得该装置可以适应膝关节的自然运动。
与全膝关节置换手术(TKA)不同,患者的骨骼、肌肉、韧带或软骨无需切除,也不会破坏关节囊,从而最大限度地加快了患者的恢复周期,并且康复后对患者没有活动限制,不会影响患者正常的运动、工作和生活。更为重要的是,该植入物只是放置在皮肤下而不会在结构上改变关节,这为患者未来的治疗方案保留了可选择性。

当植入者膝盖弯曲和抬起时,MISHA膝关节系统植入物就像汽车减震器一样,可以减少疼痛膝关节上的峰值力
在MISHA膝关节系统推出之前,胫骨近端高位截骨术(HTO)是近年来用于治疗膝骨关节炎早中期的一种保膝手术方法。但是,该手术需要对胫骨进行高位截骨,松解甚至切除韧带等,并且近期和远期疗效还有很大提高空间。
相较之下,MISHA膝关节植入物的临床优势在于:
● MISHA放置在膝盖内侧,与自然关节一起移动,其通过独特设计是通过吸收受影响膝关节支撑的多余负荷来治疗膝关节 OA 疼痛。植入后患者每走一步,膝盖上的力峰值减少30%以上,可有效减轻疼痛;
● 植入物放置在皮肤下、关节外,手术过程不需要切除任何骨骼、韧带或软骨,保留了未来治疗的选择;
● 手术可以在门诊环境中进行,大多数美国研究参与者的手术是门诊手术,平均从入院到出院的时间大约为九小时;
● 手术后不需要限制负重或活动范围,且没有设备强加的活动限制;
● 患者术后可恢复体育活动或日常活动;

纽约特殊外科医院运动医学研究所髋关节和膝关节科主任、医学博士 Anil Ranawat认为其“填补了全膝关节置换术和关节镜下膝关节保留之间的空白”。[1]
根据其在2023年3月23日发布在《Knee Surgery, Sports Traumatology, Arthroscopy 》杂志上的5年随访研究显示:在患有轻度至中度症状性内侧间室膝关节 OA 的年轻患者中,植入 ISA 装置导致接受关节置换术或 TTO 的 5 年生存率为 85%。ISA 系统对于不适合或不希望更具侵入性手术方法的工作年龄膝关节 OA 患者来说可能是一种有效的治疗选择。[2]
同年6月,其在《CARTILAGE》发布2年随访研究,研究显示:ISA 在植入后至少 2 年内减少关节置换术进展方面非常有效,即使在进展风险非常高的患者中也是如此。本研究还强调了 SIFK 评分算法在预测2年转为关节置换术风险方面的效用。ISA 提供了一种有用的负荷减轻方法,可以有效地延迟或取代某些患者对关节置换术的需求。[3]
大单品的迭代之路
任何大单品的打造,都是一个漫长且充满挑战的过程。自2008年成立至今,十六年来,Moximed一直致力于将这支减震器做到尽善尽美。
MISHA的起点可追溯至其初代产品——KineSpring,其核心部件包括两只钴铬合金弹簧组成的缓冲器、钛合金制备的胫骨和股骨部件。KineSpring沿着膝关节植入皮下组织,通过部分负载缓冲机制,有效减轻膝关节承重高达13公斤。

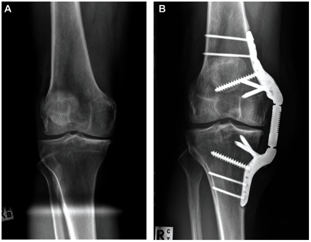
KineSpring示意图

(A) 术前前后位 X 光片显示内侧隔室明显的骨关节炎;(B) 植入后 2 年的 KineSpring 膝关节植入系统
随着技术发展,KineSpring进化为Atlas Knee System,并于2015年11月获得CE认证和商业化运用。一年后,第一批美国膝关节OA患者接受了Atlas治疗。

Atlas Knee System

Atlas Knee System组件示意图
此后数年间,Moximed潜心各种临床实验,鲜少发声,直至2022年8月成功完成C轮融资。
而MISHA与之前版本的差异性主要体现在植入物材料与尺寸。之前Atlas Knee System由钛合金股骨和胫骨基底以及聚碳酸酯氨基甲酸酯吸收器组成。虽然该产品于2015年获得CE认证,但市场上也出现了担忧金属植入物的声音。Moximed进而自行研发了聚合物材料PCU (聚碳酸酯氨基甲酸酯) ,不仅提升了产品的生物相容性,还减小了植入物的尺寸,使其更加贴合人体解剖结构,从而提升了患者的舒适度与治疗效果。
2022年,在波士顿骨科峰会上,Moximed公布了MISHA的首批临床试验结果。MISHA的关键性研究,即名为Calypso的研究,是一项关键性设备豁免(IDE)研究,共纳入了81名参与者。该研究直接将MISHA与治疗膝关节内侧间室骨关节炎(OA)的黄金标准——胫骨高位截骨术(HTO)进行了比较。研究结果显示,MISHA的综合成功率达到了85.6%,显著高于HTO的65.5%。此外,MISHA能够减轻膝关节负荷超过30%,这一效果是其前代产品的两倍以上。
而后在2023年3月公布的两年期关键试验数据更是振奋人心:95.8%的MISHA受试者实现了临床意义的疼痛缓解,疼痛减轻幅度高达76%,功能改善达74%。
这一系列卓越的临床表现,为MISHA赢得了美国FDA的青睐。2023年4月,MISHA获批上市。
后记
品牌的崛起,往往以一个大单品的崛起为前提;市场的突破,往往也是大单品的率先突围。
纵观各行各业,大单品不仅能够穿越时间周期,成为市场常青树,更是企业竞争的核心护城河,为企业带来长期价值。可口可乐凭借 “快乐肥宅水”,在全球碳酸饮料市场独领风骚;康师傅方便面凭借“红烧牛肉面”,牢牢占据消费者的味蕾记忆;华熙生物以玻尿酸为利器,稳踞全球玻尿酸龙头;兴齐眼药凭借硫酸阿托品滴眼液,成功打穿儿童近视防控市场;Moximed 更是十六年只做皮下植入式减震器这一单品……
正是这些大单品支撑起了企业的发展与业绩,也让这些企业得以在激烈的市场竞争中脱颖而出,成为各自领域的领航者。
多产品散养,赌成功概率的汇量增长时代已经成为过去时,企业产品战略进入重点培育资源喂养时代。“长跑冠军”时代,深入洞察市场需求,精心打造大单品,或许是企业实现可持续发展与持续领先的关键所在。
* 参考文章:
[1]<FDA OKs Moximed's MISHA Shock Absorber for Knee OA>
[2]<An implantable shock absorber yields an 85% survival-from-arthroplasty rate through 5 years in working-age patients with medial compartment knee osteoarthritis>,Knee Surgery, Sports Traumatology,Arthroscopy.
[3] <Improved 2-Year Freedom from Arthroplasty in Patients with High-Risk SIFK Scores and Medial Knee Osteoarthritis Treated with an Implantable Shock Absorber versus Non-Operative Care>,CARTILAGE.
[4] Feasibility of the Atlas Unicompartmental Knee System Load Absorber in Improving Pain Relief and Function in Patients Needing Unloading of the Medial Compartment of the Knee: 1-Year Follow-Up of a Prospective, Multicenter, Single-Arm Pilot Study (PHANTOM High Flex Trial)
[5] MISHA Knee Shock Absorber: Interview with Anton Clifford, CEO of Moximed
[6] PRESERVE THE KNEE JOINT WHILE LIVING AN ACTIVE LIFE
[7] Two-Year Results of the PHANTOM High Flex Trial: A Single-Arm Study on the Atlas Unicompartmental Knee System Load Absorber in Patients With Medial Compartment Osteoarthritis of the Knee
[8] Moximed Implants First KineSpring System