梦 想
冠心病是威胁人类健康的一大杀手,截至2023年我国冠心病患者人群已达1139万,该疾病死亡率近年来持续呈上升趋势,农村和经济欠发达地区尤其明显。经皮冠状动脉介入治疗(PCI)是目前治疗冠心病的主要方式,然而随着患病人数的增加,偏远地区医疗资源相对缺乏所导致疑难重症患者不能得到及时有效救治的矛盾愈加突显。
面对如此重大挑战,复旦大学附属中山医院葛均波院士团队联合深圳爱博合创,以能够为偏远地区患者带去同质化的先进医疗技术为目标,共同研制开发了可以远程精准操控完成泛血管介入手术的PANVIS机器人系统。这套手术机器人系统实现了以下几个核心技术要素:精准操控的设备、通畅低延时的网络、稳定流畅的操作体验,以及应对复杂情况的手术处理能力。
新疆喀什是欧亚大陆中心的十字路口,是国家“一带一路”战略发展中的重要枢纽。为提升喀什地区的医疗保障水平,自2010年起,上海开始对口支援进驻喀什。复旦大学附属中山医院一批又一批援疆医疗队接过接力棒,与喀什二院联合共同推进区域医疗技术的发展。
葛均波院士团队由此携手喀什二院,相互派遣优秀骨干进行指导和交流学习,架起沪喀两地心内科的沟通桥梁,并持续将先进的技术和理念引入新疆,让喀什患者得到“上海顶尖技术”的帮助。
为了能让喀什当地病患,乃至未来所有“一带一路”国家和地区的患者,接受到上海中山心内科的先进理念和医疗技术,葛均波院士、沈雳教授带领医护团队和爱博合创研发人员应对各种挑战,克服重重困难,反复多次完成本地和远程分叉病变的动物实验验证,不断探索超远距离介入手术机器人应用的科学性。最终实现沪喀医疗“零距离”,让跨越长距离的临床介入手术治疗成为可能。
实 践
在葛均波院士团队和喀什二院心内科的一次会诊中,一位53岁的维吾尔族患者病情复杂,期待可以接受“上海中山技术”进行治疗。该患者1月前因急性下壁心肌梗死行右冠状动脉支架植入术,近日又因胸痛再次至喀什二院就诊。葛院士带领团队在反复研读患者病历资料后,并经过医院伦理委员会事先批准,决定使用远程血管介入机器人进行手术,借此机会为喀什地区带去这项新的医疗技术和先进的治疗理念。

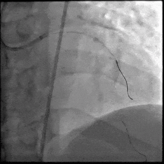
【DSA图1.左冠治疗前造影】

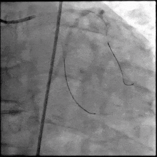
【DSA图2.前降支支架释放】

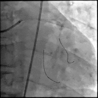
【DSA图3.回旋支导丝顺利通过病变】

【DSA图4.治疗结束造影】
5月28日8:00,葛均波院士团队在中山医院16号楼16楼中伟厅成功连线喀什二院导管室,沪喀远程手术正式开始。8:35,新疆喀什二院导管室内股动脉入路通路建立后,行左右冠脉造影示左前降支中段存在85%的严重狭窄,狭窄位于血管分叉路口且紧邻心肌桥;且左回旋支中段近乎闭塞,血管细窄且迂曲,病变弥漫。8:59,葛院士于上海操控血管介入机器人主端PANVIS COF,将指引导管送至左冠脉开口,并操控主支导丝和分支血管保护导丝通过狭窄病变,后送至前降支和对角支血管远端以建立轨道,同时利用介入机器人的微速调整功能避开心肌桥,以亚毫米级精准定位释放1枚支架。在成功处理患者左前降支病变后,葛院士通过搓捻机械操纵杆,远程精细调整导丝“进攻”方向,顺利通过左回旋支次全闭塞病变。因血管相对细小且病变弥漫,葛院士决定采用单纯球囊扩张术处理,即刻造影提示几乎无残余狭窄,避免了额外的支架植入。10:10,撤出所有导丝及导管,手术顺利结束。
整个手术过程均由葛院士亲自远程“操刀”,并在术中与喀什二院医生深切交流,对每个技术细节都进行讲解、传授经验,年轻学者深受启发、受益颇丰。

【图1.葛均波院士操作泛血管介入手术机器人】
未 来
本次机器人远程手术跨越5200公里,是迄今为止全球范围内最远距离的心血管介入手术!通过深圳爱博合创完全自主研发、且具有独立知识产权的PANVIS泛血管介入手术机器人,结合中国领先全球的基础网络设施及5G通信技术,将上海中山医院心内科最顶尖的血管介入手术理念和技术带到祖国的边陲重镇喀什,不但满足了偏远地区复杂心血管病介入治疗的需求,也为探索未来“一带一路”国家医疗技术交流提供了新的模式。
本次远程手术真正实现了沪喀心血管介入手术“零距离”,过程中充分展现了爱博合创研制的PANVIS泛血管介入机器人延时低、递送精准、操作稳定流畅、机器人手术全流程覆盖等核心技术特点。我们相信,机器人结合5G技术能为解决医疗资源分配不均的问题提供新的解决思路。融合更多人工智能的血管介入机器人,加上现代通讯技术,可以在同一时空融合不同区域的技术和理念,让更多的冠心病患者跨越距离,享用同质化的高水平医疗服务。

【图2.机器人辅助PCI手术圆满顺利完成】

【图3.上海中山医院会议室术后合影】

【图4.喀什二院导管室术后合影】
致 谢
本次手术在复旦大学附属中山医院宋振举副院长和喀什二院陈尉华院长协调下顺利完成。
中山医院:葛均波、沈雳、裴志强、王瑞、朱明辉等团队成员。
喀什二院:陈庆兴、阿布力米提·加马力、买买提艾力·吐尔逊、艾买提江·买买提、蔡玉鸣、努尔阿米娜·吐尔逊、李芳芳等团队成员。
深圳爱博合创医疗全体成员。
上海昕诺医学全体成员。
感谢为此次手术奉献的每一位探索者。

【图5.患者术后恢复向医者表达感谢】

【图6.患者家属向医者表达感谢】