近日,浙江大学医学院附属第二医院采用由杭州晟视科技有限公司(以下简称“晟视科技”)自主研发的新一代介入式左心搏动泵,成功实施首例国产经皮左心室搏动泵支持下的高风险经皮冠状动脉介入术(High-risk percutaneous coronary intervention,HR-PCI)。
此次手术系国产经皮左心室搏动泵在国内开展的首例临床试验,初步验证晟视科技自主研发的产品在高危PCI术中保护方面的安全性和有效性,代表新一代介入式左心搏动泵正式迈向临床。
病例回顾
患者为73岁女性,因右髋关节置换术后8天出现胸闷不适症状而入院。既往病史包括高血压病史10余年、II型糖尿病30余年、糖尿病肾病5余年以及脑梗死。
入院检查:心电图提示:窦性心动过速,前壁r波递增不良伴ST段轻度压低。心超提示:左室射血分数正常下限(LVEF 51.2%),左室心肌节段性运动异常。血液学检查提示:WBC 26.3x10^9/L,Hb 64g/L,肌酐271.5umol/L(估算eGFR 14ml/min),TnT 2.45ng/mL,NT-proBNP 1081.2pg/mL。

入院心电图
入院诊断:急性非ST段抬高型心肌梗死,心功能II-III级(Killip分级);肺栓塞(新发);右髋关节置换术后(8天前);中重度贫血;肺部感染;II型糖尿病,糖尿病肾病V期;原发性高血压;陈旧性脑梗死。
病情分析:患者高龄,合并有多种慢性病,近期外科手术后出现胸闷症状,考虑急性冠脉综合征;同时感染指标高,中重度贫血,肾功能尿毒症期,手术过程及术后发生各种严重并发症的风险极高。
病情变化:患者入院后优化药物治疗效果欠佳,动态监测心肌酶谱提示TnT下降后又呈上升趋势,LVEF急转直下,下降至26.6%,BNP>5000pg/mL,病情危重,需紧急明确冠脉情况。

治疗回顾
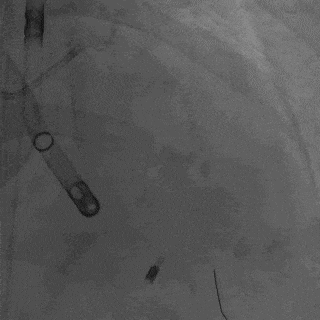
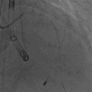
造影结果显示,患者存在严重的三支病变情况:前降支中段狭窄达到90%,回旋支完全闭塞,可见自身侧枝逆向供血至远端;右冠状动脉全程弥漫重度狭窄,且远端闭塞。
鉴于患者及家属不考虑外科冠脉搭桥手术,浙江大学医学院附属第二医院冠脉介入团队进行会诊,分析患者病情后,决定在晟视科技新一代介入式左心搏动泵支持下,实施冠状动脉介入治疗。




经皮左心室搏动泵置入
患者经历了右髋关节置换术后,左心搏动泵得以从左侧股动脉入路顺利置入。浙江大学医学院附属第二医院心内科蒋峻主任首先用CTO导丝尝试开通回旋支闭塞病变,但由于患者长期患有糖尿病和肾功能不全,病变坚硬,导丝通过困难。考虑到患者正处于心衰急性期且肾功能不全,蒋峻教授迅速调整了治疗策略,优先处理前降支病变,预扩张后快速植入支架。




术中患者无不适症状,左心搏动泵工作状态稳定,术中监测LVEF可达41.0%, 血流动力学稳定,PCI术后即刻撤除搏动泵。患者于术后8天顺利出院,出院前复查LVEF恢复至42.1%。本次浙大二院王建安院士团队成功完成国产经皮左心搏动泵支持下高风险PCI手术,进一步显示出晟视科技新一代介入式左心搏动泵在临床应用中的有效性和安全性。


据悉,此次试验器械是由浙江大学经血管植入器械全国重点实验室高琪教授率领的研发团队,依托晟视科技核心技术积累,历经数载的深入合作与持续攻坚研制出的全新一代搏动泵。
该产品申请了12项专利,设计上更加贴合搏动血流的流体力学特性,显著降低了对血液的机械损伤,展现出优异的血液相容性。它能与心动周期同步产生搏动血流,从而显著改善心室-动脉偶联效应,更有利于血液射入动脉系统。同时,该产品还能有效降低心室壁应力,减轻心脏负荷,改善心排量,提升LVEF值,增加冠脉灌注压,技术水平在国际上处于领先地位。
此项技术的成功研发不仅显著降低了高危PCI手术的临床治疗难度,以及患者治疗成本,更填补了国产介入式左心搏动泵的空白,是该项技术在国内的突破性进展。对于我国医疗技术水平提升和医疗事业的持续发展具有深远意义。
问题与挑战
当前中国心衰患者数量位居全球首位,且新增心衰患者数持续攀升,临床对循环辅助技术的需求越来越大,国内尚无该类产品问世
HR-PCI主要指冠状动脉解剖/病变复杂且合并高危临床特征和(或)合并症。这类HR-PCI患者术中,即使是短暂的心肌缺血也可能导致低血压和心输出量减少,从而引发血流动力学障碍、冠状动脉灌注低和心力衰竭等。也正是因此,在冠脉介入技术不断取得突破的当下,仍有约8% ST段抬高型急性心肌梗死并发心源性休克,且死亡率近50%。
尽管主动脉球囊反搏泵( IABP) 问世曾作为心源性休克治疗的重大进展,但由于血管活性药物和IABP应用都难以改善患者死亡率,在HR-PCI患者术中,采用预防性的经皮机械循环辅助装置(percutaneous mechanical circulatory support,pMCS)维持血流动力学稳定成为国际指南推荐和国内外专家共识。
由于pMCS创伤小、启动快、操作简便等优点,在临床中推广迅速,应用量远超经典循环辅助装置。仅Impella便在全球范围内已累计治疗超23.5万患者,并获得多个临床指南和专家共识推荐,销售增长迅猛。
据《中国心力衰竭基层诊断与治疗指南(2024年)》数据统计,我国心衰患者总数达1210万,且每年新增心衰患者约300万,患者数量位居全球首位。同时,因心梗死伴发心源性休克、终末期心衰急性恶化为心源性休克、高危PCI手术中循环支持、爆发性心肌炎、其他疾病导致心源性休克与重症呼吸衰竭,以及严重事故导致心跳骤停与呼吸衰竭等因素,我国中短期循环辅助系统需求量超过60万例。
然而严峻的是,尽管当前中国心衰患者数量位居全球首位,且新增心衰患者数持续攀升,临床对循环辅助技术的需求越来越大,但国内却尚无该类产品问世。
目前,晟视科技自主研发的新一代介入式左心搏动泵,成功实施首例国产经皮左心室搏动泵支持下的高风险经皮冠状动脉介入术,可谓填补国内技术空白,显著提升了病患的生存质量,并实现医疗费用的有效降低。
产品亮点
具备突出流体力学特征,产品定位为“普及性”产品,适合中国国情
据了解,该产品作为一款无源、介入式的三类医疗器械,可应用于临床心血管急危重症领域。它由介入管和膜泵结构组成,与IABP主机兼容。介入管顶端入口位于左心室内,能够在左心室舒张末期和收缩期直接从左心室抽血,有效卸载左心室负担,减少心肌做功。在舒张期,它将抽出的血液可通过高效切换阀直接泵入主动脉,从而增加心、脑、肾等重要脏器的血液灌注。
具体而言,该搏动泵采用体外膜泵驱动模式,通过体外膜泵与心电同步驱动血液流动的方式,实现对左心室实现搏动式机械辅助循环。在流道设计上,晟视科技进行了进一步优化,采用独特的引流方式,使得膜泵内形成旋涡流动,有效冲刷膜泵防止血检生成,同时保持流动,提高膜系的工作能效。此外,该搏动泵还配备高效率切换阀,能够快速响应膜泵容积变化,实现周期性打开和关闭,灵活改变血液流动方向。在主机适配性方面,该产品亦具有兼容性,可适配任何标准IABP控制台,且无需专用硬件。
值得一提的是,这款搏动泵具备突出的流体力学特征,已申报并获得超过12项专利。同时,这款产品定位为“普及性”产品,兼顾了广大基层医院(如县市级医院)的需求,特别适合中国地区发展不平衡、医疗健康投入相对较少、居民注重医疗花费节约的国情。
晟视科技率先突破
构建以“流体动力学”技术为基础的心衰循环辅助支持平台
面对当前循环辅助技术国外技术封锁,国内技术空白的现状,晟视科技正是凭借对“流体动力学”技术的多年深耕,以及相关产业实践,率先实现突破。
晟视科技由著名流体力学专家高琪博士于2017年创立,是国内最早从事介入式人工心脏研发企业。公司基于国际领先的流体力学科研平台,持续与国家心血管病中心等一流的医疗机构进行合作,开展深度的医工结合,促进先进科研成果的临床转化。公司立志于推动我国心血管疾病的精准化诊疗,目前主要集中于研发心血管疾病无创精准诊疗云和急危重症生命支持系统,进行自主创新,打破国外技术封锁,解决国际上关键的“卡脖子”问题,促进产业升级,为广大心血管疾病患者提供更优的医疗产品和服务。
目前公司已经搭建叶轮和流道优化设计、新一代高性能电机技术、智能化流动控制技术、全功能体外验证技术四大技术平台,确保公司循环辅助支持类产品从核心零部件设计加工到产品功能及安全性验证均有强大的技术支持。在软件、硬件研发上亦均取得重大突破,多款创新产品分别进入动物实验、临床研究及注册阶段。经过6年的艰苦创业和技术攻关,公司即将进入“丰收期”,进入产业落地和商业化的新阶段。
晟视科技的快速发展获得了各级政府的高度认可,先后获得“国家高新技术企业”、“全国科技型中小企业”、杭州市"雏鹰计划"企业、“杭州市创新型中小企业”等多项荣誉。展望未来,企业将积极推进现有产品迭代升级,加速新一代介入式左心搏动泵取证进程,同时研发更多“循环障碍性疾病”全方位诊疗产品,用技术守护患者生命。