掌握基础知识是学习解剖的起点,它们是构建更深层次理解的基石。记住这些基本点,可以帮助我们通过逻辑推理来掌握更复杂的解剖结构,减少对死记硬背的依赖。对于初学者来说,专注于这些核心概念,而非繁杂的细节,可以更高效地学习。
必须知道肺部分为哪些叶、哪些段,不知道这个知识点,无法谈下一步。这是最最最基本的,相当于1+1=2。

肺部的结构和功能各有其特点,其中右肺由三个肺叶构成,而左肺则由两个肺叶组成。这种差异使得右肺在某些方面可能承担了更多的功能。在呼吸系统疾病中,结核和肺癌是两种常见的疾病,它们各自有其好发部位。
结核病倾向于发生在肺的尖后段和背段,而肺癌则更常见于肺的前段。特别地,左肺的尖段和后段常常是相连的,因此它们被统称为尖后段。同样,左肺的内基底段和前基底段也经常合并在一起,被称为内前基底段。了解这些解剖学上的特点对于诊断和治疗这些疾病至关重要。
2.要知道胸锁关节,进一步提高解剖知识要用到。

3.要知道胸骨柄,进一步提高解剖知识要用到。要知道肩胛骨,因为肩胛骨下端一般是第七肋间,胸腔穿刺要用。

两侧,最下面的大骨头,就是肩胛骨。
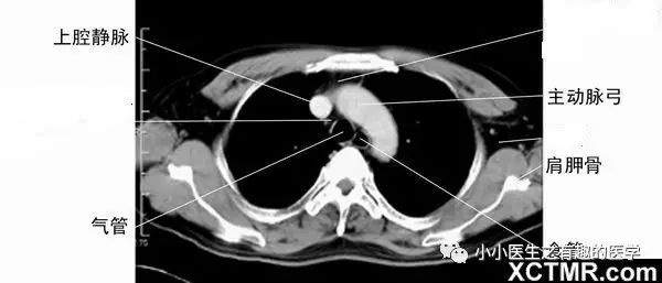
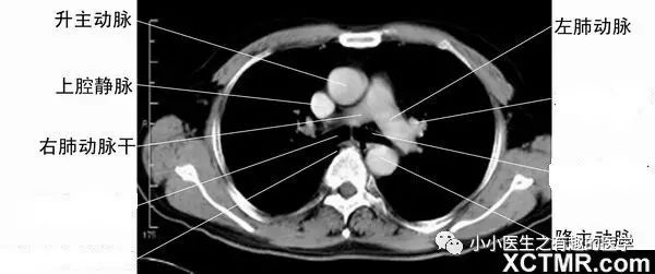
4.一定要知道主动脉弓。因为主动脉弓层面,是肺段划分的常用依据。到了主动脉弓,右肺分为前、尖、后段,左肺分为前、尖后段。这是看肺段的最基本入门知识。


另外,上腔静脉是很基本的血管,要知道。气管很重要,气管的后面,是食道。
5.一定要知道斜裂,这个灰常重要,因为斜裂的下面,就是下叶背段(这个判断方法最可靠、最准确),结核好发部位。

什么是斜裂和水平裂,看看大体解剖。

一定要知道隆突,因为假如CT分辨率不高,那么就看不到斜裂,就不能准确判断下叶背段在哪里,这时候,只能根据经验判断,隆突出现的地方,大概就是下叶背段出现的时刻。

隆突的两边,就是左、右支气管。右上叶支气管的前面的分支,就是右肺上叶前段支气管;后面的分支,就是右肺上叶后段支气管。
6.一定要知道水平裂,因为水平裂出现的地方,就是中叶(这个判断方法最可靠、最准确)。


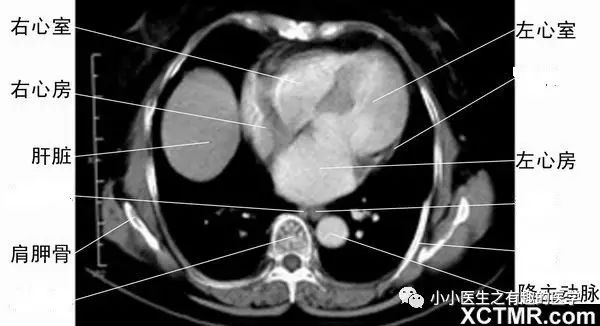
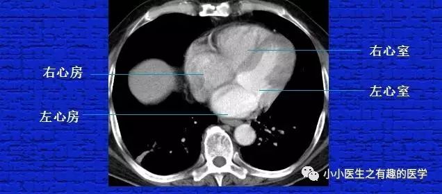
7.要知道左心房、左心室、右心房、右心室,因为这个层面,一般就是中叶、下叶基底段,不再是背段,上叶也几乎不在这里了。

有时,也是这样的。

四个心腔,很简单,在下边的是左心房,左心房和左心室相连。右边也如此,心室都在病人左侧。

8.要知道左心室、右心室,这是划分肺段的主要依据之一。


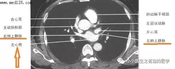
9.下面来学习一下逻辑思维。为什么下图红线标注的血管是肺静脉?因为他们和左心房相连,左心房里面流的是动脉血,而只有肺静脉里面有动脉血,所以不可能是肺动脉。

所以,基本知识很重要。
10.一定要知道肺动脉,因为肺动脉栓塞很危险,另外,正常情况下肺动脉比主动脉小,假如肺动脉比主动脉宽,sorry,可能患肺动脉高压了。

最大的,一升一降,分别为升主动脉、降主动脉。人字形的肺动脉,剩下的为上腔静脉。

11.在胸部CT扫描中,识别众多血管是一项基础技能。对于初学者来说,重要的是要学会区分血管和可能被误认为肿瘤或淋巴结的结构。如果难以区分,进行增强CT扫描是一种有效的方法,因为血管在增强后会非常显著地显示为纯白色,而其他病变则不会如此明显。

最下边的是锁骨下动脉,锁骨下动脉上边的是颈总动脉。

来源:云南省一院孙丹雄
编辑:Yan