前言:前段时间专家门诊时来了一伴患者,她在省级多家医院看过,都建议她的肺结节要开刀,说是恶性的,说不能再等。但我看了她的影像,发现是右上叶后段的纯磨玻璃结节,虽然不是很淡,但肯定没有纵隔窗可见的实性成分,也未见血管进入,离胸膜大概仍有几毫米的距离,关键是已经发现2年了,最早的影像资料没有,但描述的大小没有变化。纯磨、没有血管征、没有胸膜牵拉、没有实性成分,整体轮廓与边界清,随访持续存在的肺磨玻璃结节,是不是肺癌范畴?当然要考虑是的!有没有必要立即手术?显然并不必的!能不能再观察随访?当然可以的!随访会耽误病情导致转移或扩散吗?纯磨又稳定的怎么会!那为什么大医院的医生都建议手术呢?因为:1、确实是肿瘤性质的;2、医院业务发展的需要呗!但哪种磨玻璃结节是要手术的呢?今天分享这种不建议再观察随访。
病史信息:
基本信息:
女性, 47岁 。
主诉:
发现肺结节 10 个月。
现病史:
患者2023年12月份首次发现肺结节,当时大概8mm。 2024年10 月 21 日胸部 ct 提示右肺上下叶见磨玻璃结节影,较大者位于右肺下叶背段,直径约9.5mm。两肺门区及纵膈未见异常密度灶。患者容易胸闷气短。
希望获得的帮助:
想让叶主任帮忙看看,要不要做手术?
影像展示与分析:
多发结节情况:

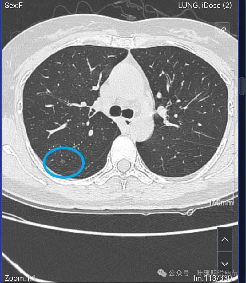
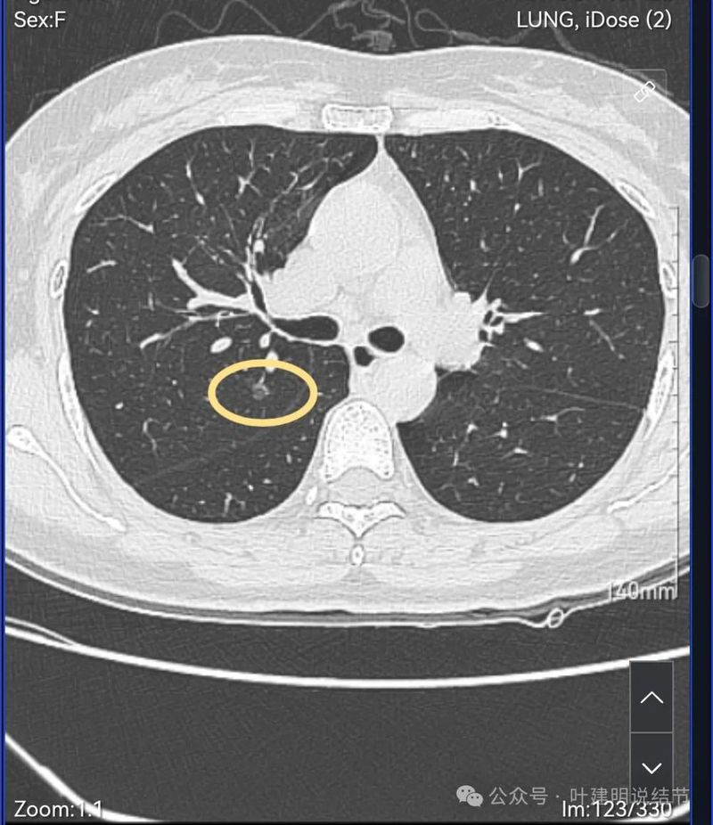
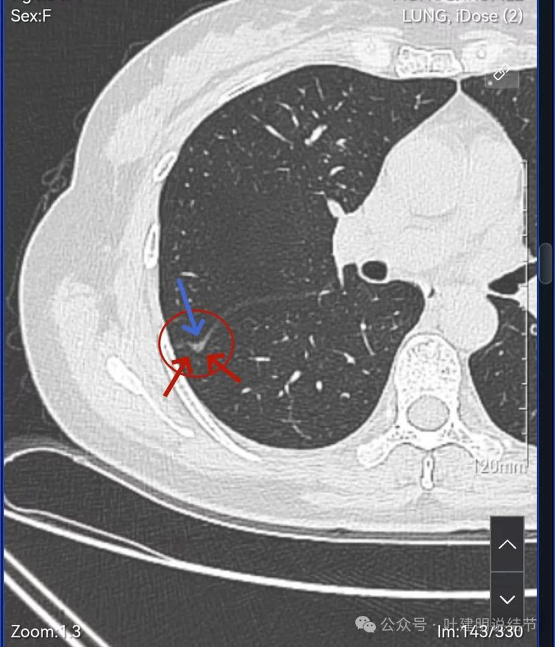
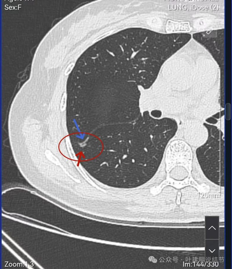
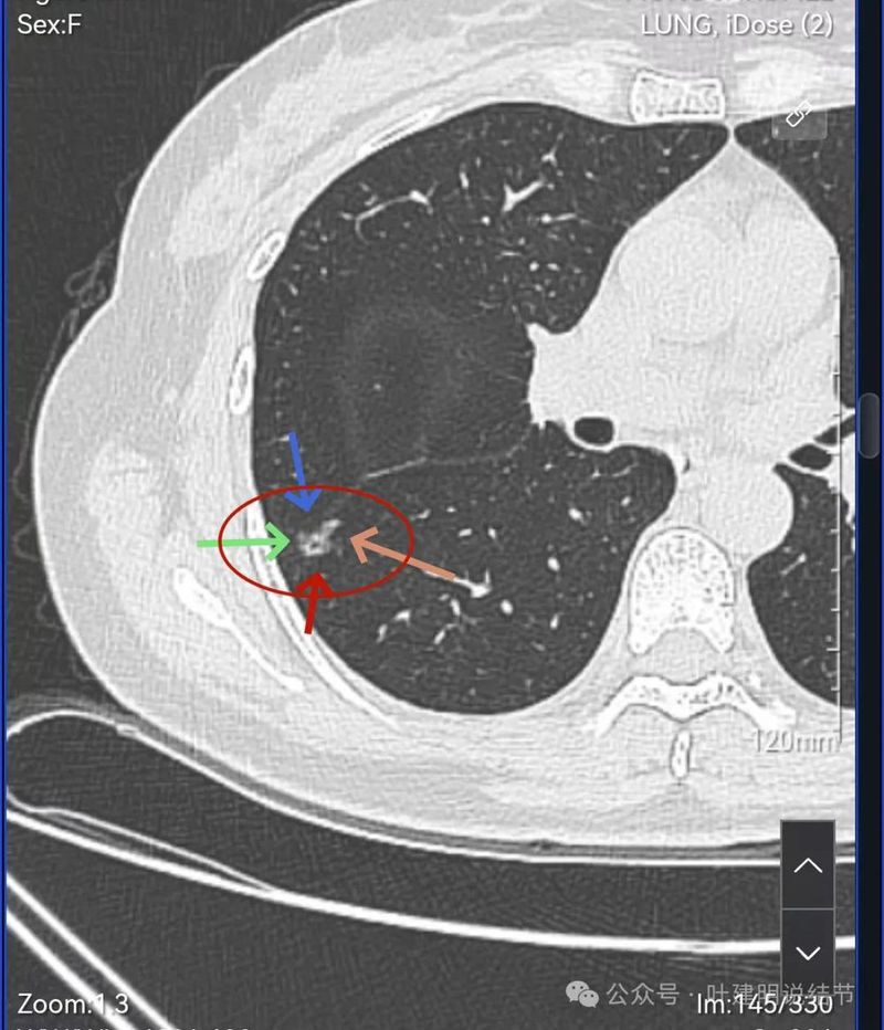
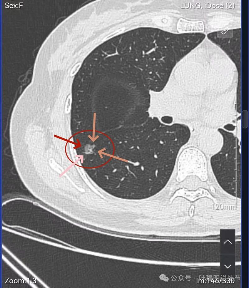
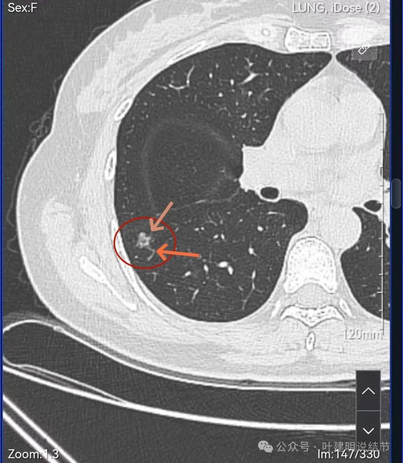
病灶1:右上叶后段磨玻璃结节,较小,轮廓较清,密度低,没有实性成分。

病灶2:右上叶后段磨玻璃结节,有血管征,密度不是很纯,但说不上纵隔窗可见的实性成分,整体轮廓清,瘤肺边界清楚。

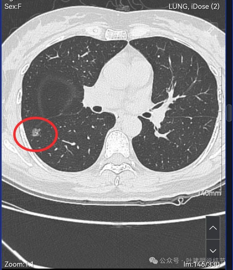
病灶3:右下叶混合密度结节,轮廓清,紧贴叶裂,伴有叶间胸膜牵拉,内部密度显杂乱,表面有分叶。

此灶分叶明显,灶内有小空泡征,有血管穿行,整体轮廓与边界清楚。
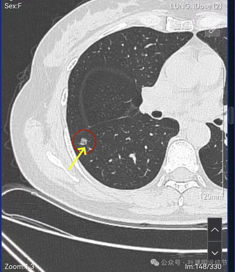
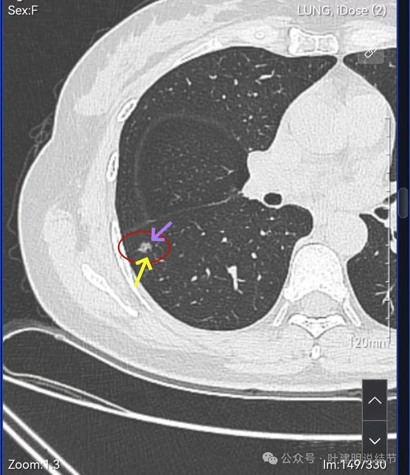
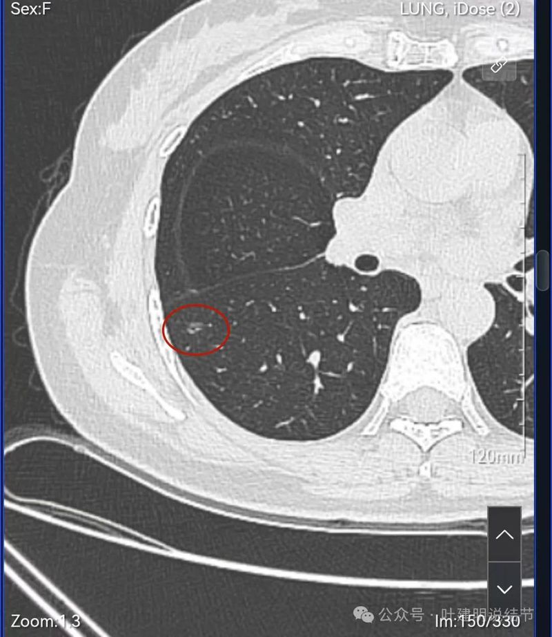
主病灶连续层面影像:

病灶出现,紧贴叶间裂。

轮廓清楚,叶间胸膜牵拉。

密度不太纯,轮廓与边界清。

表面分叶,中间空泡,边缘有磨玻璃成分,叶间胸膜凹陷。

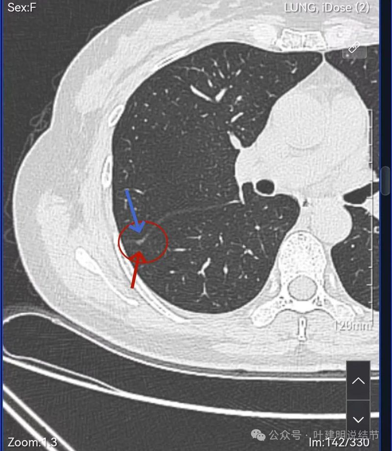
灶内血管穿行,表面分叶、中间空泡,实性成分。

血管进入,表面分叶,密度不均。

密度显杂乱,血管贴边。

细毛刺或小棘突,表面不平。

边缘区磨玻璃密度,有微小血管贴着。
我的意见:
右肺多发磨玻璃结节,红色的是主病灶,密度不纯,贴着叶间裂,分叶明显,考虑至少微浸润性腺癌,也可能是浸润性腺癌贴壁为主型,不能继续随访,建议手术切除,可以单孔胸腔镜下局部楔形切除。黄色的也是磨玻璃,不典型增生或者肺泡上皮增生可能性大,蓝色的肺泡上皮增生可能性大。这两处风险还低,但如果主病灶需要处理,也可以考虑同期切除。意见供参考!
感悟:
像今天分享的这种磨玻璃结节,是不能再随访的。由于:1、密度不纯有实性成分;2、紧贴叶间裂(胸膜)而且贴胸膜侧密度较高;3、有血管进入与穿行且病灶内部密度显得较杂乱;4、随访过无好转。当然这样的病灶不是说再随访肯定要转移了,要失去手术机会或预后会不同,但这种有风险的磨玻璃结节,继续随访一是等不了多久还要再进展仍得短期内接受手术,这种短时间的创伤延迟没有多少价值,却要承担风险;二是这种边缘部分能楔形切除的病灶,手术本向创伤小、恢复快、肺功能损失不多,切了它是利大于弊的。只是本例来讲,已经进去了,病灶2与病灶1也应该考虑同期予以解决。我的想法是上叶的定位下大点的楔形切除或后段切除,下叶的只需切缘阴性少许肺组织楔切就可以,淋巴结采样与否关系都不大的。