前言:肺癌的治疗我一直认为已经与传统大不一样,如果理念不更新,不与时俱进,吃亏的最终肯定仍是患者。目前肺癌诊疗领域最显著的特点是:1、磨玻璃肺癌发生率高,而且多发常见,生物学行为相对惰性;2、手术、消融以及立体定向放疗等局部治疗措施并存,且各有千秋,选择时要慎重;3、多原发早期肺癌是否要予以基因检测、靶向治疗或其他全身性治疗有不同说法与主张,相对混乱;4、指南的精神相对滞后,由于其更改需要非常有说服力的循证学依据,所以推翻原有的理论重新树立新的原则要慎之又慎,但过于保守却导致合规的过度诊疗。今天分享的这个病例就是非常典型的多原发早期肺癌,患者已经做过手术,也做过消融,目前仍有多发结节,而且部分随访进展,之后的治疗如何选择很是纠结。
病史信息:
基本信息:
女性,69岁 。
主诉:
肺结节术后定期复查肺部结节。
现病史:
患者,女性,患者诉平素夜间偶感咳嗽不适,5年前发现双肺多发结节,左肺下叶结节已于5年前手术切除,上叶结节今年(2024年)4月已行消融手术。右肺发现还有数个高危结节,其中中叶结节近期随访有增大,2024年11月胸部CT提示:左肺下叶术后改变。两肺多发磨玻璃结节、部分实性结节,部分高危倾向,对比2024-07-12CT大致相仿,建议定期复查。右肺中叶支气管部分阻塞伴周围少许炎症,右肺中叶支气管旁结节伴多发钙化,较前相仿。两肺散在纤维增殖钙化灶。右肺上叶肺大疱。附见:主动脉少许钙化。两侧部分肋骨骨皮质密度增高。脊柱侧弯。遂来咨询。
患病时长:
5年。
曾就诊医院:
某医科大学附属第一医院
希望获得的帮助:
右肺问过消融医生,他建议手术,说是中叶还有陈旧性感染反复炎症和支气管扩张…中叶切除顺带上叶结节一并切除。想问下主任有什么建议。下叶结节后续如何处理。手术后影响生活质量吗?
影像展示与分析:
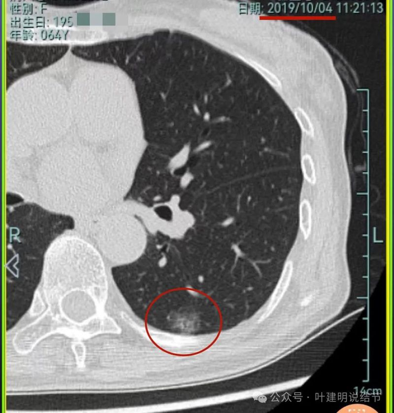
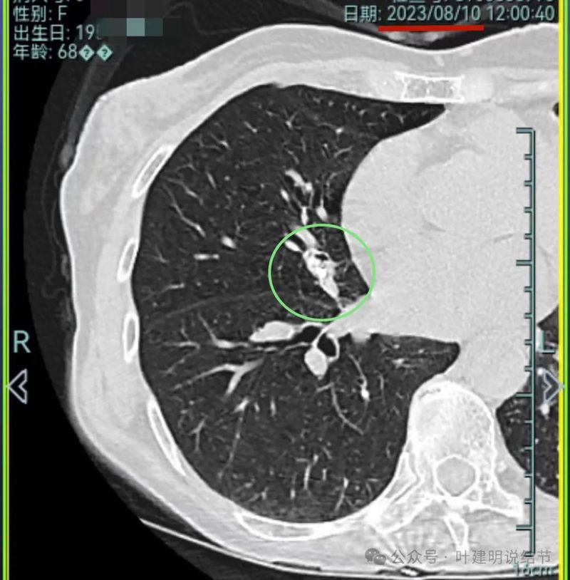
先来看2019年时的影像:

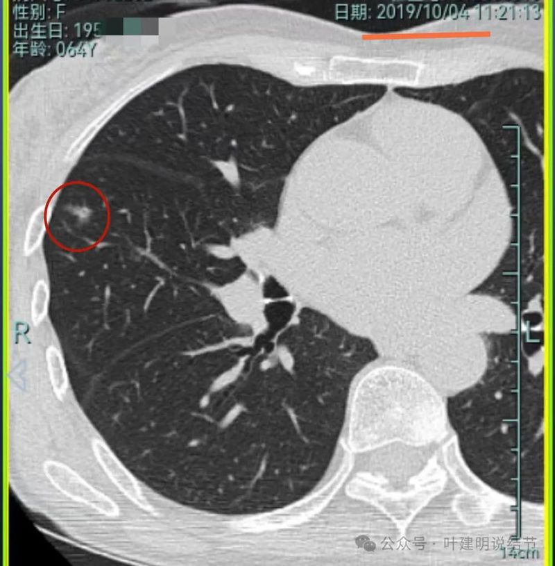
病灶1:右上叶磨玻璃密度结节,略偏长条状,有微小血管进入,轮廓与边界较清。

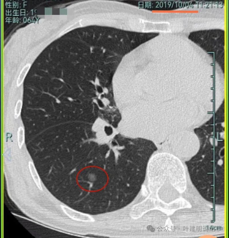
病灶2:右下叶磨玻璃结节,边缘不平毛糙,没有实性成分,轮廓与边界较清楚。

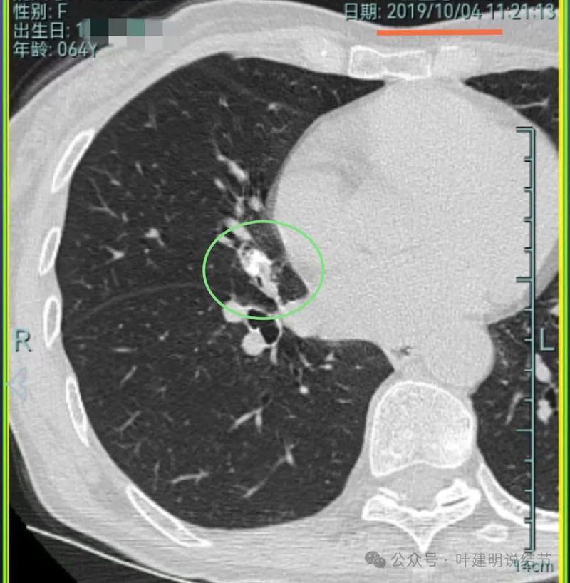
病灶3:右中叶混合密度结节,有分叶征,有收缩力,整体轮廓与边界清。

病灶4:右中叶伴钙化结节,考虑良性。

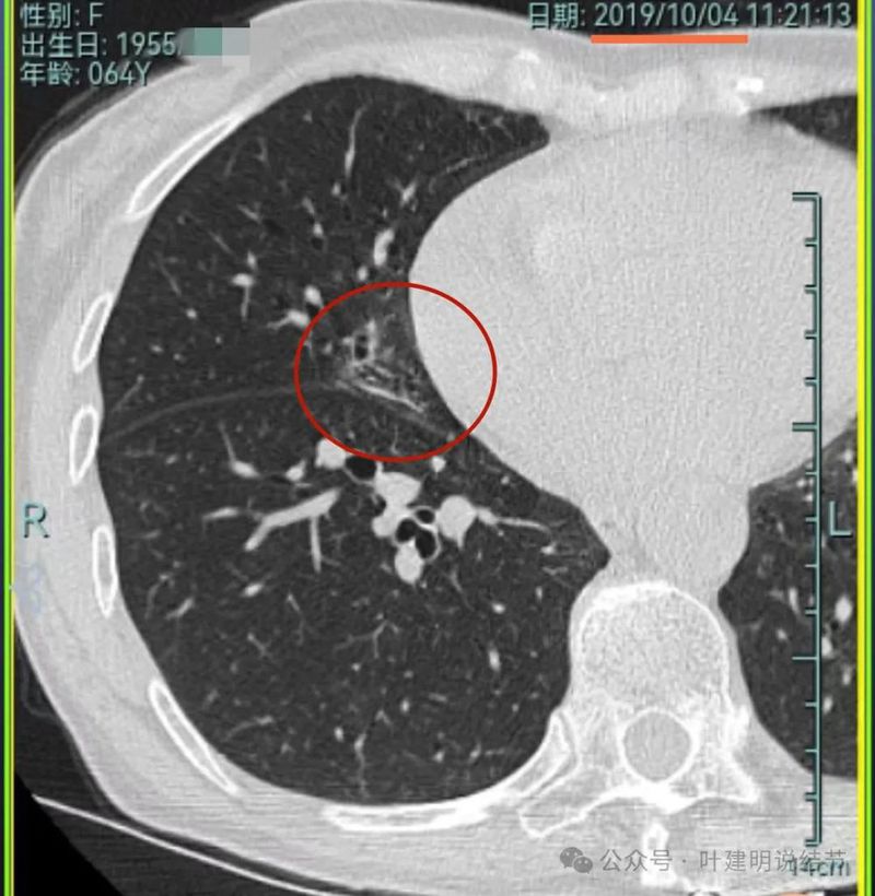
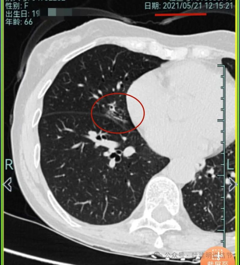
病灶5:右中叶磨玻璃病灶,轮廓与边界稍显模糊,灶内有支气管扩张的样子,贴叶间裂较近。

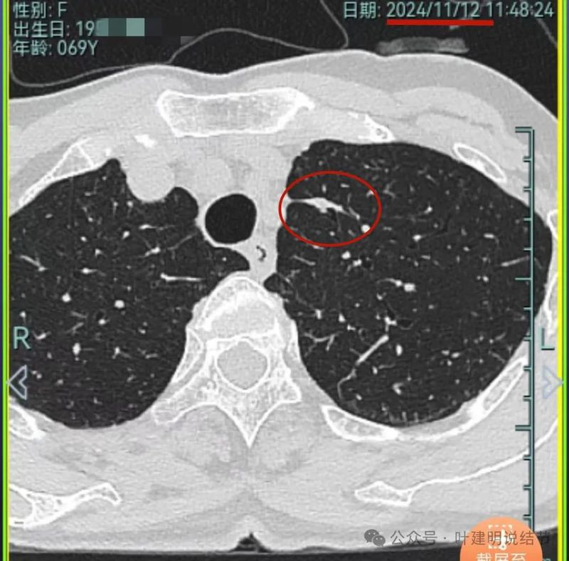
病灶6:左上叶淡磨玻璃结节,轮廓较清,密度较低。

病灶7:左下叶胸膜下结节,大部分磨玻璃密度,只是不太均匀,说不上明显的实性成分,整体轮廓与边界较清。此灶当年已经切除,从术后影像来看,大概是段切除可能性大些。
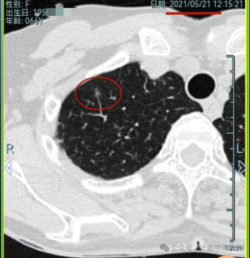
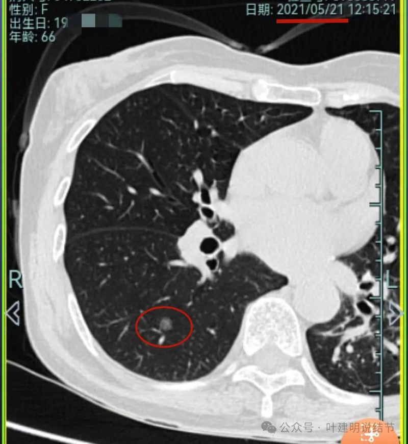
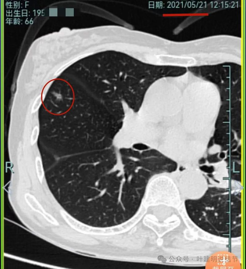
再看2021年随访的影像:

病灶1似乎中间高密度部分略有密度增高。

病灶2与2019年时相仿。

病灶3仍是混合密度,进展不显著。

病灶4仍是伴钙化的,也没有明显进展。

病灶5较前密度略显杂乱,整体密度应该有所增高。

病灶6轮廓较前清楚,灶内有血管穿行,也有轻微胸膜牵拉。

原病灶7已经被切除。
再看2023年8月的影像:

病灶1没什么进展。

病灶2与前相仿。

病灶3仍混合密度,说不上显著进展。

病灶4 仍是钙化的,大小也没有进展。

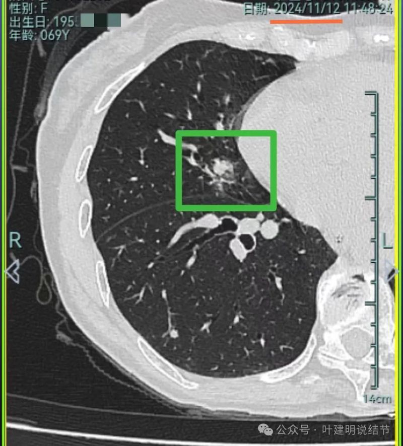
病灶5较前密度又有增高,贴着叶间裂,整体轮廓显得较之前清楚些,更符合恶性表现了,而且应该是浸润性腺癌。

病灶6与前相仿。
2023年12月又有复查,我们只看左上这处:

密度仍低,灶内有血管穿行,但说不上较前明显的进展,总体密度来看,风险仍不大。但这时候,患者选择做了此灶的消融。
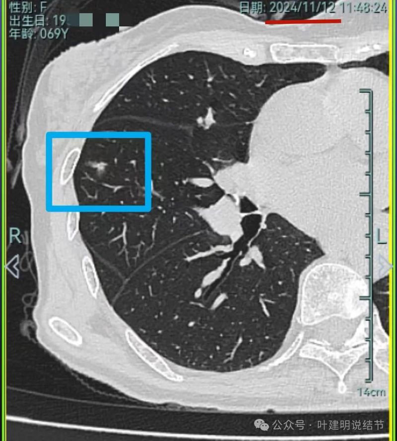
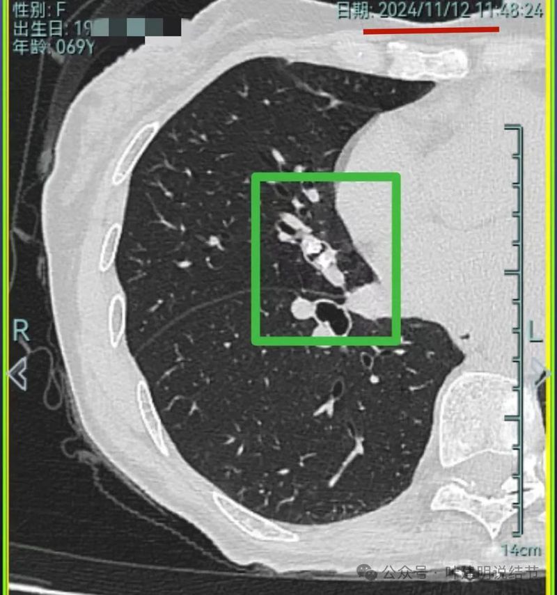
再看2024年11月复查的情况:

病灶1仍磨玻璃稍高密度,有血管进入,大小无显著进展,但密度从开始到现在是有所进展的。

病灶2与5年前比也说不上明显进展。

病灶3仍是混合密度,伴有收缩力,但实性部分并无聚拢性,也不是密度很高的样子。

病灶4仍钙化且无明显进展。

病灶5实性成分明显较前增多明显,总体上有进展,但这个病灶主要周围比较散,显得有些模糊。

原病灶6左上这处消融后瘢痕形成。
我的回复:
我想我们这样也来考虑问题:1、左侧已经手术的确诊是肿瘤性质,左上已经消融的也是随访持续存在的磨玻璃密度结节,虽然没有病理依据,仍然要考虑广义上来讲的肿瘤范畴,看了以前的片子,从2019年到2023年并没有显著的进展,大概是肺泡上皮不典型增生可能性大。右侧的也有磨玻璃结节与混合磨玻璃结节考虑是肿瘤范畴的。所以总体上两肺多原发早期以磨玻璃为表现的肺癌,整体风险都不大。2019年切除的左肺下叶病灶也是纯磨玻璃密度,其实如果继续随访或者只做楔形切除也并没有什么关系。这说明体质本身或者致病的因素,就是容易长磨玻璃肺癌的,即便把目前发现的都解决,后续仍可能再有新的。原因不明,致病因素仍在。2、右肺上叶红色之处从2019年开始,是逐渐进展的,当然即便是现在,也不是说危险就已经很大,考虑仍然是原位癌或者微浸润性腺癌可能性大;中叶蓝色这处乍一看像至少是微浸润,但前后对比以后发现从2019年到现在,几乎没有显著进展,这样的话慢性炎伴肺泡上皮增生或者伴纤维增生也是有可能的,至少风险并不能认为大;右肺下叶黄色这一处,使纯磨玻璃密度,整体轮廓与边界清楚,考虑是肿瘤范畴的,不典型增生可能性较大,也有可能原位癌,随访稍有进展,风险仍然不大;中叶绿色这处是慢性炎伴钙化的,靠近叶裂的地方也像慢性炎,但此处随访有所进展。不过因为有卫星灶,整体显得比较散,所以虽然恶性可能性较大,但也不能完全除外炎性的可能性。当然如果此灶确实恶性,那风险则相对较其他进展缓慢的要高一些。从目前右侧所在的这些病灶来讲,真正有一定的风险而且最为确切的是红色这处,而且应该也没有到浸润性腺癌或者说不处理会要转移很危险这种程度。3、明确了多原发早期肺癌没有办法预防与控制,也明白了目前已经存在的较明显的这些病灶总体风险的高低。我们再来考虑需不需要近期干预处理。左侧既手术过又消融过,右侧的多发病灶目前又还没有到危险很高的程度,又没有办法预防后续再有新的病灶。我个人偏保守,我觉得仍然可以半年复查随访,如果最具风险的病灶有进展并且不处理可能导致不良后果,到这样的程度再来考虑综合如何处理干预便可。4、假如右侧我们予以处理,上叶红色的以及中叶蓝色的都可以楔切,但绿色考虑良性的再进展或以后像恶性时怎么办?而若中叶切除加上叶楔切,在左侧已经手术过的情况下肺功能影响相对也不小,何况右下比较中间的位置还有桔色这处呢。当然右下这处得考虑消融。所以,我的想法还是能熬再熬下,待其他监测有变化再通盘考虑。意见供参考!
感悟:
肺多发结节的诊疗是肺结节诊疗乱象中最乱的领域,混乱的根源仍在于肺癌诊疗指南中有关多原发肺癌的意见太过笼统,没有可操作性。对于各病灶的风险评估与处理与否和怎么处理,采取什么局部治疗措施,乃至是否加用全身治疗都会有不同意见。而这恰恰是我们应该更全面考虑权衡的。从风险高低不同、从随访变化情况、从多发病灶的位置以及若干预处理能采取的方式、从患者的年纪与干预处理对日常生活的影响大小等不同角度都要评估考虑,从而制定更利于患者的策略,并尽可能在风险、创伤、心理承受力、经济花费等找到平衡点。不盲目追求手术,也不盲目追求新技术,更不能盲目追求一网打尽,合理而理性面对查出的肺结节。回顾今天分享的病例,左下结节难道是风险最大的吗?肺段切除难道是最合理的吗?针对左上病灶的消融是必要的吗?都没有错,也都可能最优或可能并非最优,这不做评议,但我想千人千面,大家肯定有自己的不同见解与建议。我的回复意见与观念也只代表我对于肺结节的认知,或许是对的,也或许不如他人正确,时间会给我们答案!