磨玻璃结节(GGN)的定义是:指在薄层CT上表现为密度轻度增加,呈云雾状密度阴影,其内支气管及血管纹理仍可显示的结节。
这里的一个前提条件就是“薄层CT”,层厚至少为2mm。也就是说,5mm的厚层CT,由于明显的容积效应,是不能诊断“磨玻璃结节”的。特别是6mm以下的结节,厚层CT是无法判断是否为磨玻璃的。
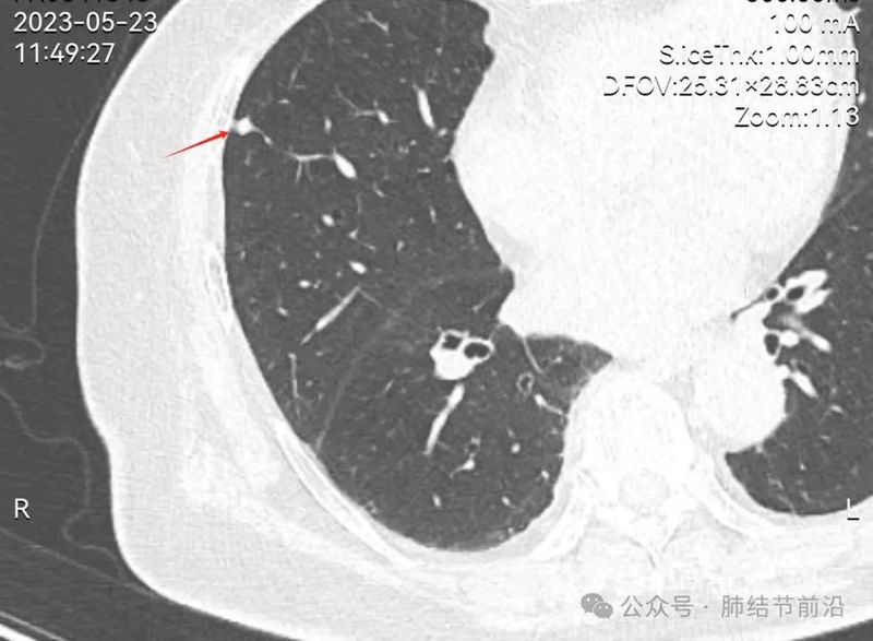
中年女性,偶发肺结节来诊,就诊国内某顶级医院CT,报告显示:“右肺磨玻璃结节5mm,考虑AIS不除外”。
从患者携带的胶片和报告看(im37),均为5mm 的厚层CT。因此这个磨玻璃结节的诊断本身就是不成立的, 更不能诊断为原位癌。这里在提醒一个问题,所谓:“高分辨CT”并不等于薄层CT,也不是分辨率更高的1024CT。高分辨主要指高分辨算法,用于更清晰显示肺部的结构。但是如果不结合薄层,这个清晰度提高也很有限了。


患者之后即刻前往另一家三级医院就诊,再次行薄层CT检查。这次可清晰显示为实性小结节,那么就可以排除磨玻璃结节和原位癌的诊断。考虑为陈旧性慢性炎症结节。

这种厚层CT误判为磨玻璃结节或者混杂磨玻璃结节的情况,非常常见。诊断”肺磨玻璃小结节”的前提条件就是: 肺部薄层CT,高分辨的肺算法更好。

