前言:许多结友查出肺结节,最关注的都是大小,而且无比在意相差1毫米、2毫米,甚至零点几毫米。当然由于专家共识、指南也是以大小来区分为主。可我自己经常觉得一定范围内的大小并不关键,关键的是密度。所以我在临床工作中,或病例分享以及问诊分析中,几乎从来不提具体大小。当然这或许并不严谨,但我却觉得不关乎临床决策。今天分享的这位结友其实病灶倒是不大,报告上说7毫米,而且发现才4个月,我们却又建议她切了为妥。这是缘何?也是过度治疗否?还是切得正当时?
病史信息:
主 诉:
体检CT发现肺结节四月余。
现病史:
患者四月余前体检行胸部CT平扫提示肺多发结节(报告未见),当时无畏寒发热,无咳嗽咳痰,无胸闷气急胸痛,无呼吸困难,无午后低热等不适。当时门诊随访复查。三月前至某县第一人民医院复查胸部CT:1.左肺上叶尖后段一枚混合磨玻璃结节灶,大小约7mm*6mm2.左肺上叶尖后段、左肺下叶背段两枚较大实性结节灶。口服抗生素治疗一月。10天前再次至某县第一人民医院复查胸部CT:1.左肺上叶尖后段一枚混合磨玻璃结节灶,大小约7mm*6mm,较前片2024.8.20相仿。2.左肺上叶尖后段、左肺下叶背段两枚实性结节灶已吸收。今患者为进一步治疗,来我院就诊,现无畏寒发热,无咳嗽咳痰,无胸闷气急胸痛,无呼吸困难,无午后低热等不适。门诊拟“左上肺结节”收入院。 本次发病以来,患者精神可,胃纳可,睡眠可,二便如常,体重无明显改变。
影像展示与分析:

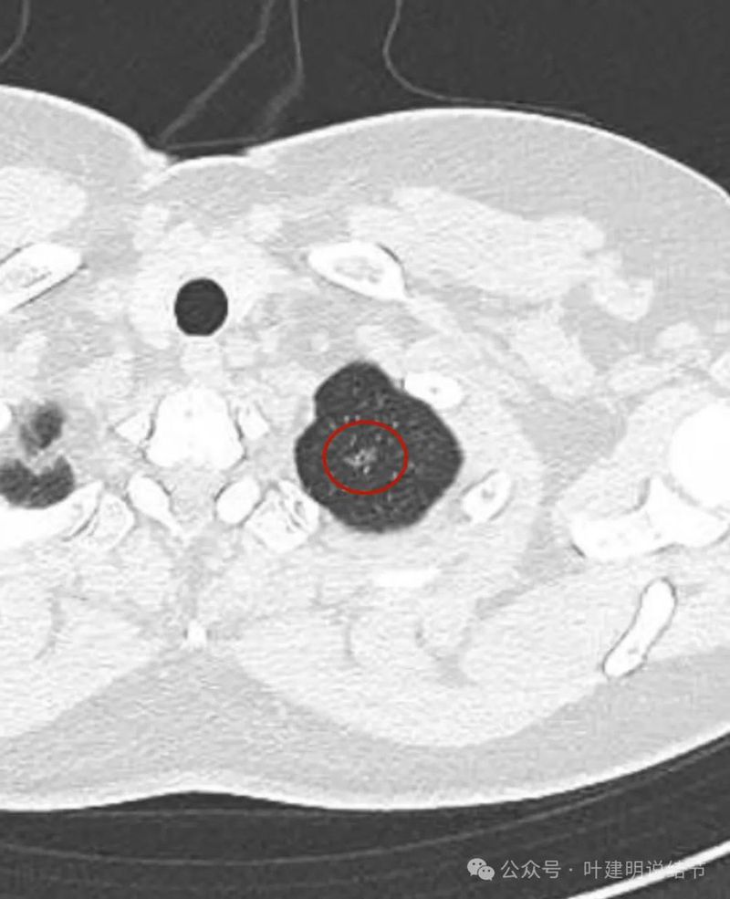
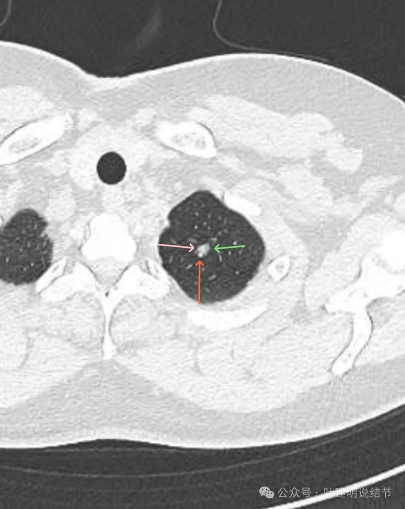
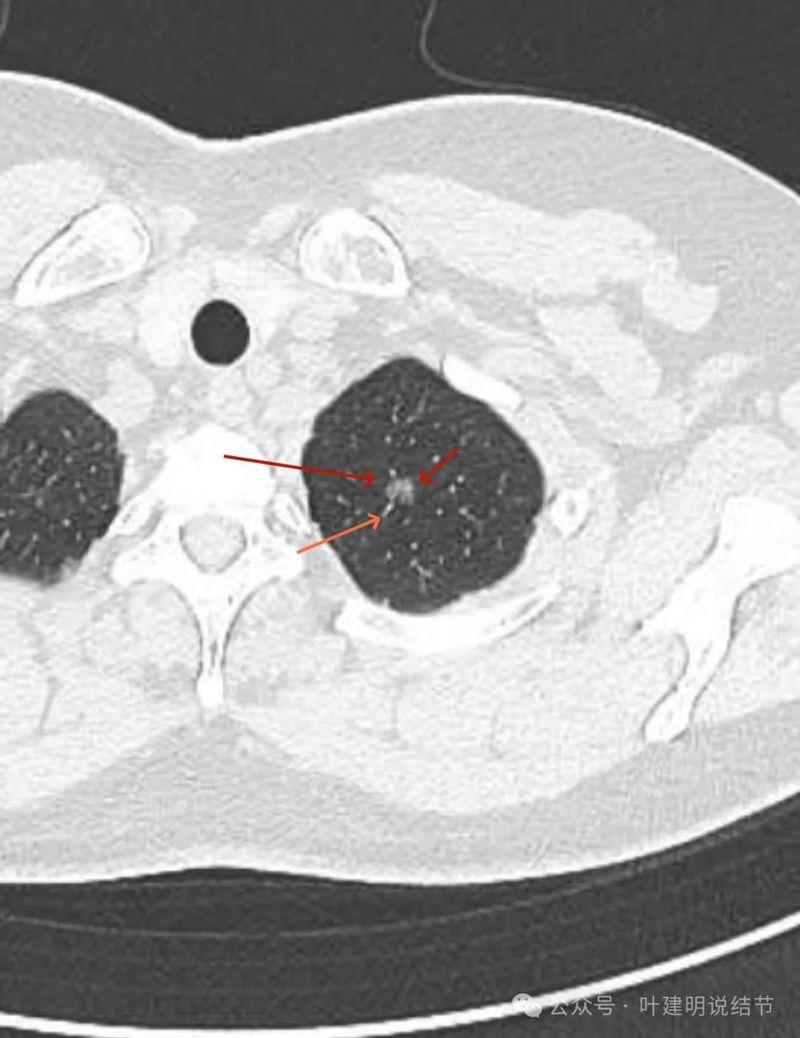
病灶出现 ,位于左肺尖,表面不平,中间有小空泡征,边缘欠光滑,灶内密度也欠均匀,整体轮廓与边界却较为清楚。

灶内细支气管扩张,边缘有小血管进入,表面不平有小棘突或毛刺,灶内密度不均,有点状高密度。

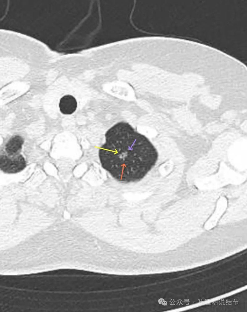
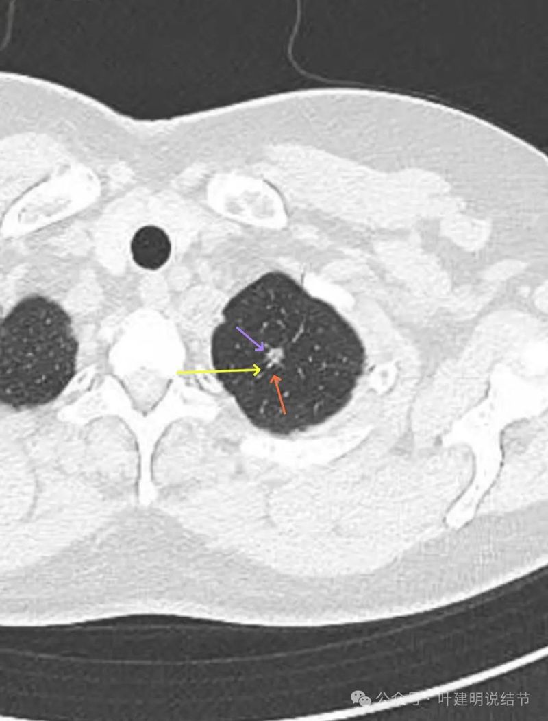
灶内见到血管穿行,整体轮廓清楚,密度欠均。

有明显磨玻璃成分,有血管紧贴,有小血管穿行,整体轮廓与边界清。

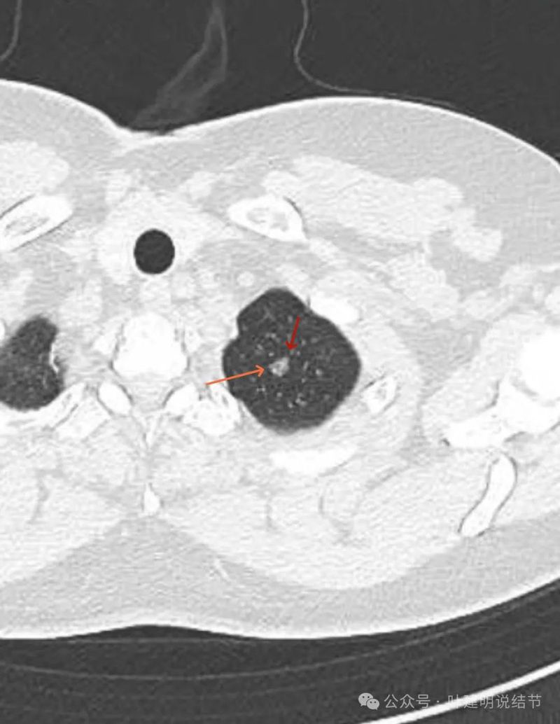
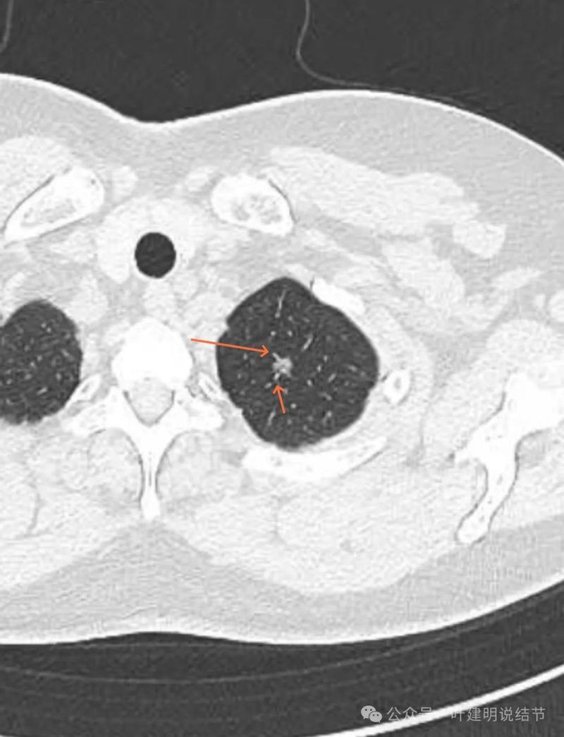
整体密度较高,有血管贴着,边缘少许磨玻璃成分。

血管进入,小棘突征,密度不均,轮廓与边界清。

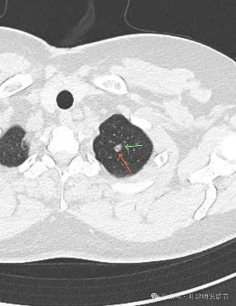
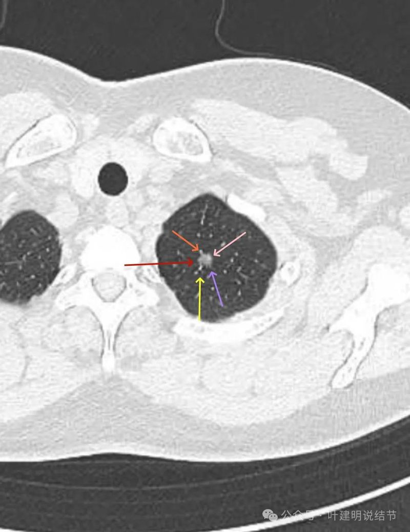
血管进入明显,此层密度不太致密,更偏高磨玻璃点。

磨玻璃密度,边缘毛刺、血管贴边与穿行,小血管进入、病灶边缘有细支气管扩张。

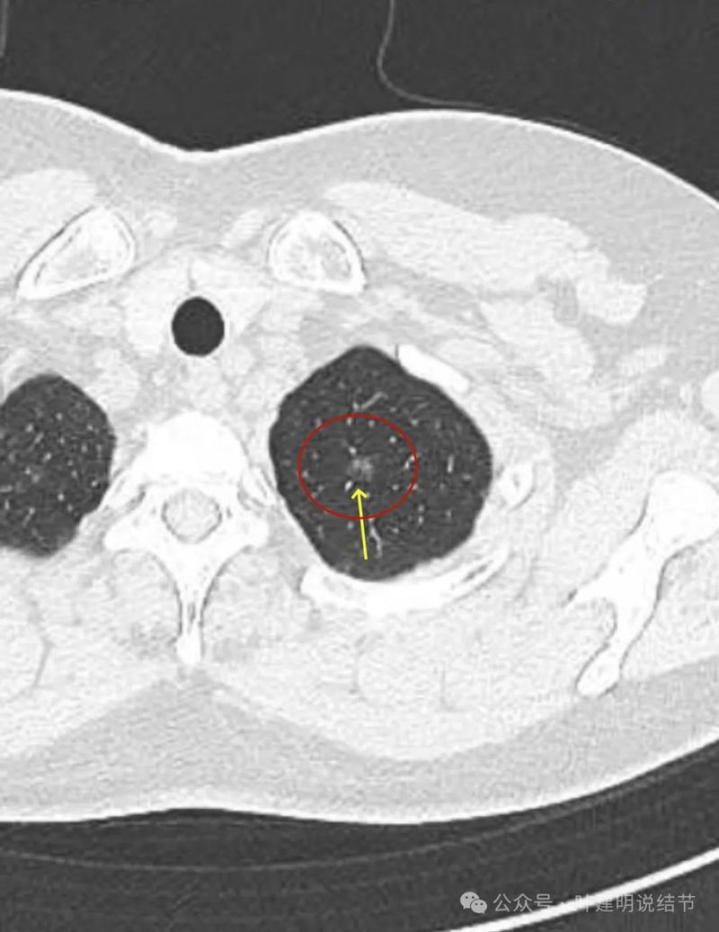
磨玻璃密度,轮廓与边界清,密度稍不均。

边缘部分较淡,有灶内细支气管扩张。
临床考虑:
1、诊断问题:此灶发现4个月,随访持续存在,整体轮廓与边界清,是混合密度结节,有血管进入与穿行、有毛刺与小棘突征、灶内与边缘有细支气管扩张、整体密度略显杂乱,而且大部分层面密度较高,偏实性密度。整个病灶看有一定膨胀感。没有卫星灶,没有晕征,也没有片状模糊影。所以基本上考虑是肿瘤范畴,这种密度应该比原位癌要厉害点,至少微浸润性腺癌,也可能是浸润性腺癌含中分化成分以及少许贴壁亚型。
2、手术问题:此灶若位于肺叶中央,手术要切除肺叶,则由于总体仍亚厘米,随访4个月无显著进展,再谨慎随访也不至于影响预后。但此灶位于肺尖部,单孔胸腔镜下楔形切除方便快捷,创伤相对不大,但却可既明确诊断,又可去除病灶,解除风险。我们的意见是倾向局部切了为妥。
最后结果:
经过充分沟通与利弊说明,结友经过慎重考虑后同意行胸腔镜下微创手术。杭州市第一人民医院胸外科叶建明手术团队为其进行了手术。

病灶切面灰白,质较硬,没有包膜,肉眼看也典型恶性的。

术后病理示微浸润性腺癌。
感悟:
其实若从影像上来看,此灶似乎更符合浸润性腺癌些,当然最后以病理结果为准。混合磨玻璃密度,有诸多恶性影像特征,随访过没有好转,标本肉眼也典型,虽然病理非浸润性癌,但考虑到位置在边上,楔形切除的便捷性与创伤不大,手术切除应该是利大于弊的。虽然我也曾经说微浸润性腺癌或许并非是手术干预的最佳时机,但这要结合影像上的风险高低以及病灶所处的位置,手术带来的创伤与肺功能损失等综合来评估权衡。所以在肺结节目前的医学理论下,没有完全标准的答案,指南共识的规定并无法具体到个例该如何,我们需要在大的方向正确的指引下,个体化、个性化考虑,并充分沟通前提下来处理与决策。