前言:其实查出肺结节,影像科写报告也挺难的,报严重了吧,又怕本来不厉害的问题让患者焦虑不安;报轻微了吧,又怕其实是肺癌,又耽误了患者治疗。但今天分享的这个病例,是国内有名的大医院,查了三次了的典型恶性影像表现的肺混合密度结节,仍报“性质待定”,这也太保守了吧!医生还是要有倾向性的意见才行,至少你“考虑恶性可能性大”这句至少要捎上呀!
患者信息:
基本信息:
女性, 35岁。
主诉:
发现肺结节2月余。
现病史:
患者5月底无明显诱因持续咳嗽,2024年7月19号在某医院急诊拍了CT显示右上肺有一个磨玻璃结节,予“左氧氟沙星”抗炎治疗后,9月23号复查了高分辨CT(详见影像资料),今为求进一步明确诊治前来咨询。
既往史:
手术:17年做过甲状腺癌手术,乳头状。
疾病描述:
这是11月21号拍的胸部CT平扫,麻烦叶大夫帮我诊断一下,还有9月份在某医院复查的报告单。
希望获得的帮助:
前后三次CT报告麻烦叶主任帮我判断一下结节性质,到什么阶段了?
影像展示与分析:
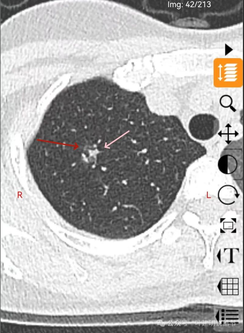
先看2024年11月份的影像:

右上叶磨玻璃结节,轮廓较清,密度较淡,有小血管进入。

表面不平,分叶明显,灶边有小空泡征,灶边另有多处血管贴边,也见血管分支进入。

病灶密度稍不均,分叶明显,中间有扩张的细支气管,血管有贴边。整体轮廓与瘤肺边界清。

有实性成分出现。

混合密度,月牙铲征,轮廓清,血管多支进入,灶内实性成分明显,表面不平分叶,灶内细支气管扩张。

分叶状明显,支气管扩张明显,血管弯征可见,整体轮廓清。

灶内支气管扩张,附近血管有异常增粗,表面不平。

形态不规则、轮廓与边界清、多支血管进入穿行、支气管扩张,表面不平。

磨玻璃密度伴灶内支气管扩张。

支气管扩张,病灶磨玻璃密度,有血管进入穿行。

边缘处密度较淡。
既往影像:

2024年7月时此灶已经在,而且密度不纯,整体轮廓与边界清。当时就是典型恶性的影像表现。



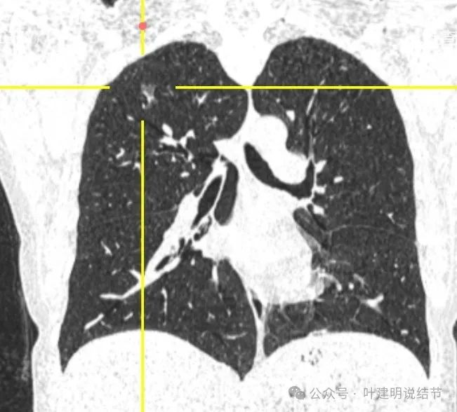
2024年9月病灶仍在,实性成分较前略显明显,矢状位清楚显示穿行血管壁毛糙。冠状位显示分叶以及病灶与血管间没有间隙。
某医院出具的影像报告:

报:混杂密度结节,性质待定,建议密切随诊。
我的回复:
右上这个病灶是混合磨玻璃密度,有浅分叶、有细支气管扩张、有灶内密度不均,整体轮廓与边界清,随访持续存在,是很典型的恶性磨玻璃结节的表现。由于有实性成分存在,我考虑浸润性腺癌贴壁为主伴少许乳头或腺泡型可能性大,至少是微浸润性腺癌。这种密度的随访存在风险,而且实性成分增多或进展可能需要切除更多肺组织。比如现在实性成分仍不足25%,按指南原则楔切或肺段切除也已经可以了,但若再进展要切肺叶那就不划算了。个人意见不建议继续随访,该考虑胸腔镜下微创切除。意见供参考!
感悟:
影像报告当然不能一眼看出病理,真的自己确定不了,不能报十分倾向性的意见,出具的报告也至少要引起患者重视,并具有一定倾向性,比如“恶性要考虑、恶性可能性大、要警惕恶性宜短期随访、恶性可能性大需抗炎后短期复查、建议多学科会诊”等。如此典型恶性影像表现,仍写“性质待定”,虽有密切随诊的建议,但从7月到11月查了三次了,你仍不给她个更具倾向的意见,还要如何来密切随诊?要么太敷衍,要么水平有待提高,要知道是国内很大的医院,如果低年资医生写的报告,有没有高年资医生的复核?许多医院在追求规模扩张,快速前进的道路上狂奔,但似乎扯着了蛋!