病史信息:
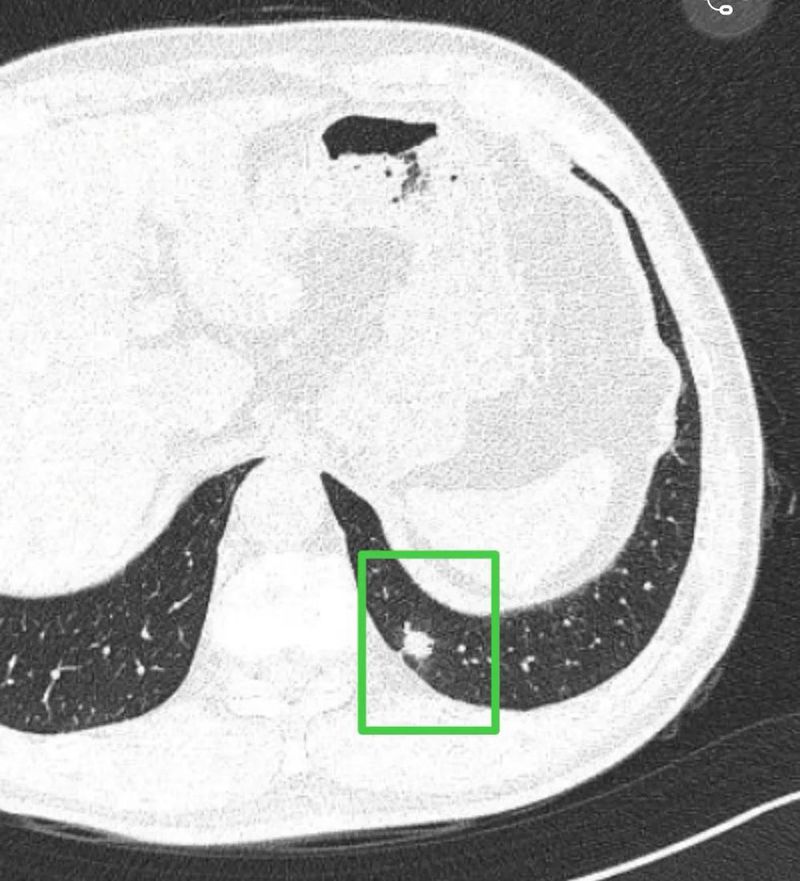
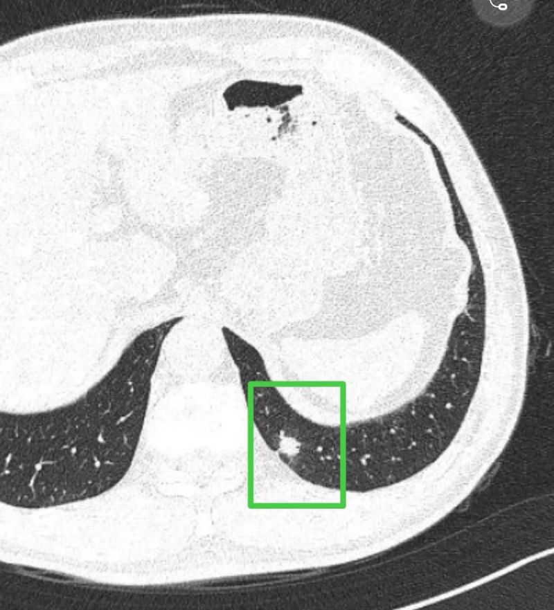
患者,男性,61岁。患者于2025年6月1日CT检查偶然发现双肺结节,最大12mm。患者自述无不适症状。
曾就诊医院:某医科大学第二附属医院
影像展示:



我的意见:
右侧未见明显有意义的结节。左肺下叶多发结节,黄色的结节微小,绿色的相对较大。主病灶轮廓显模糊,实训部分的外围有晕征,这种实性密度伴有周围晕征的容易是感染性病变。如果主病灶是感染性,那么另外小点的两处也有可能是同样致病因素导致的感染性病变。加上又是首次发现,建议先口服消炎治疗10~12天,三个月左右复查一下看看有没有吸收好转。我觉得大概率就是炎症性。当然如果到时候没有显著的吸收,那样的话要查一查结核与隐球菌方面,当然也可以近期在口服消炎治疗的同时查隐球菌与结核。如果隐球菌阳性,那就要抗真菌治疗。意见供参考!
后续交流:

唉!现在的医疗市场一言难尽呀!希望结友们睁大眼睛,多学习肺结节知识,多避雷少踩坑。