前言:检查发现肺磨玻璃结节若医生说仍可随访,大家最关心的肯定是“我还能随访多久?”,“多少时间内是安全的?”,“迟些再开影响寿命吗?”。放在10多年前,许多医生都没有办法回答这些问题,因为大家对磨玻璃肺癌的认识还不全面、不了解它们的生物学特性。但现在,随着越来越多个例随访获得的数据,医生对此类病灶的了解越来越多,更能比较肯定的告诉患者他的结节“能”或者“不能”随访。今天分享的这个病例从2015年检查时就发现,随访了9年,有其不断进展变化的系列影像,得以让我们来了解从微小纯磨到典型混合磨玻璃病灶,影像非常符合浸润性腺癌的发展历程。
病史信息:
主 诉:
发现肺部阴影9年。
现病史:
患者9年前于行胸部CT提示“肺部小结节,建议年度复查”。平时无明显症状,长期随访复查。一天前至杭州市肿瘤医院复查胸部CT靶扫:靶结节位置:右肺上叶尖段(SE4,Im140)。大小:24×15mm。密度:部分实性。内部:密度欠均匀,邻近血管牵拉。边界:欠清晰,可见浅分叶、毛刺、棘状突起征象。支气管:可见僵硬扩张支气管。邻近胸膜:可见胸膜增厚、凹陷。邻近胸壁:无软组织影,无肋骨骨质破坏。今患者为求手术治疗来我院就诊。患者现无明显不适,为求进一步诊治,门诊拟“肺结节”收入我科。 患者起病以来,神志清,精神可,胃纳可,睡眠安,二便正常,体重近期无明显变化。 有高血压病史30年余,平日口服盐酸贝尼地平片 8mg qid,血压控制良好。
影像展示与分析:
历年变化进展情况:

回头看2015年此处就有异常,是微小的纯磨玻璃结节,边缘似乎稍模糊,不是典型恶性范畴结节的影像表现,至少肯定是能先随访的。

2019年时此处发展成为小片状磨玻璃影,似乎有点像斑片状,但灶内有少许密度略偏高的成分,也见到有微小血管走向病灶,此时若是对比来看,应该要考虑倾向肿瘤范畴的病灶了,当然风险仍低,仍可随访。

2020年时开始发现有出现明显实性成分,整体轮廓较清,但瘤肺边界稍糊,病灶仍较小,邻近胸膜没有明显牵拉凹陷。

2021年时,病灶边缘出现毛刺征,显得较为锐利,灶内实性成分也较前略显明显,表面不平,整体轮廓较清。

2022年6月此灶实性成分占比增多,毛刺锐利而且较前更明显了。

2023年时病灶内有扩张的细支气管出现,说明病灶内的肿瘤成分有一定的收缩力,影响灶内的细支气管。瘤肺边界稍显糊,毛刺稍显长,胸膜牵拉不太明显,病灶整体有点偏长条状。

2024年5月时病灶范围较前扩大,灶内实性成分占比增多,毛刺明显,表面不平,分叶可见。

2024年12月显示出更大范围,以及更多占比的实性成分,边缘毛刺更多更典型,从影像上看已经很符合浸润性腺癌的表现了。
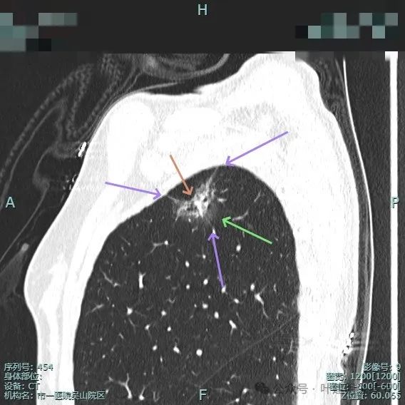
再看靶重建影像:

病灶混合密度,毛刺典型,灶内密度紊乱,表面分叶,有较多小空泡征,胸膜略有牵拉。

血管进入病灶,磨玻璃成分较淡,边缘不平毛糙多毛刺、胸膜有牵拉,表面分叶征明显。

实性成分较多,表面不平,磨玻璃部分较淡,血管进入与穿行,胸膜牵拉可见,距其不远有次病灶也是淡磨玻璃密度,轮廓较清,也考虑是肿瘤范畴的,当然风险仍低。

表面不平分叶,实性成分明显,灶内细支气管扩张。

此视角看是典型的浸润性腺癌影像表现:混合密度、毛刺锐利典型、表面分叶、边缘不平、灶内实性成分明显且整体显得杂乱、病灶内部明显扩张的细支气管,磨玻璃成分与正常肺组织之间边界清楚,整体轮廓也清楚。

血管进入以及胸膜牵拉,灶内小空泡征与密度显杂乱,次病灶也有血管进入。

实性成分较明显,扩张的支气管壁显得僵硬,表面分叶明显,边缘细毛刺明显。

毛刺征、混合密度且实性成分杂乱、支气管扩张僵硬、分叶征明显。

血管进入、表面分叶、胸膜牵拉、磨玻璃成分明显、实性部分缺乏收缩力但显杂乱,整体轮廓与边界清。
临床考虑:
1、诊断问题:此主病灶随访长达9年时间,我们看着它逐渐进展,而且明显近年来发展加速,它并不是匀速发展的。尤其近2年明显不单范围扩大,密度也增加,边缘也出现更多浸润性特征的影像表现来。从术前影像上看,此灶非常倾向考虑是浸润性腺癌,当然由于仍有较多磨玻璃成分,即使有诸多如毛刺征、血管征、分叶片、支气管扩张僵硬以及灶内密度杂乱不均,随访持续进展等表现,仍应该是含贴壁亚型的,实性成分也不是高危亚型那种特别密实的样子,所以实性成分大概是腺泡或乳头型可能性大,总体上看仍是早期肺癌。次病灶密度淡,风险仍低,但它与主病灶较近,主病灶要切除的话,似乎应该将其一并切除为宜。
2、手术问题:基于主病灶发展并不算快,长达9年时间仍是混合密度,所以能亚肺叶切除的话仍不一定要切肺叶,预后应该也是良好的。综合病灶位置以及兼顾次病灶也能切除在内,我们与患方充分沟通后建议采用单孔胸腔镜下右上叶尖段扩大切除术,并行淋巴结采样。若次病灶不管,那是楔形切除也可以的,若是次病灶也要切进去,由于次病灶在主病灶下还有约2.5到3厘米的距离,那即使楔切,也已经上叶一半要切掉了,这样的话,从切除范围来讲,还不如切尖段,还能第12组淋巴结采样下,段间离断的平面再往肺门侧多切一点以确保次病灶在内,但由于此灶密度过低,倒并不一定能扪及。
最后结果:
杭州市第一人民医院胸外科叶建明团队为其进行了单孔胸腔镜下右上叶尖段扩大切除加淋巴结采样术,手术顺利,术后咳嗽较明显,对症处理与加强抗炎治疗后好转出院。

标本表面观,略显灰白,质较硬。

剖面观见病灶略灰白,无包膜,质偏硬。

术中快速切片示腺癌,贴壁生长为主。

常规病理示:微浸润性腺癌,淋巴结采样阴性。
感悟:
这个病例我们有许多东西可以学习到。我觉得至少有几点:1、磨玻璃结节的发展比较慢,但有血管进入的,或随访后出现实性成分的,相对来说进展的概率就大些;2、若纯磨进展到混合磨玻璃密度,则其发展并不是匀速的,后期会加快,所以混合密度结节,即使实性占比少,也要注意随访并对比;3、影像上的典型浸润性表现并不能等同于病理上的浸润性腺癌,此例术前明显更符合浸润性腺癌,且实性成分并不少,但术后仍报的是微浸润性腺癌;4、我一直宣扬的不必太在意最后的病理类型,而要从单次影像上的实性成分有无与多少以及血管征、毛刺与邻近结构影响等风险角度来评估,再加上随访对比进展情况,包括快慢、实性成分增加等,综合评估手术时机,从总体风险上来考虑确实更符合磨玻璃肺癌的临床实际。对避免过早干预以及延误时机有重要的意义。