1
前言
进化使人类细胞拥有着生长和分化的潜力,这种潜力使成熟组织在整个生命过程中能具有自我维护的能力。这种维护作用包括对伤口的修复以及替换因长期为机体服务而磨损老化的细胞。
然而,另一方面,这种自主性和多功能性也会带来极大的危险,它们会让组织器官中的单个细胞获取到整个基因组的信息,而基因组序列常常会受到多种机制的破坏而发生改变,这些突变基因可能使细胞获得全新的,且通常是异常的表型。
其中一些不适当的改变可能会变更细胞的生长周期,或者导致大量细胞不再遵循控制和维持正常组织结构的规则。
因此,肿瘤细胞的形成是脱离正常发育的结果。尽管机体有特殊的机制来防止这种情况的出现,然而肿瘤细胞还是找到了生存之道。正常细胞使严格按照设计好的程序去参与构建不同的组织从而使机体生存下来,而肿瘤细胞却有一种截然不同和更加集中的任务,它们好像是只考虑一件事情:尽可能的繁殖自我。
2
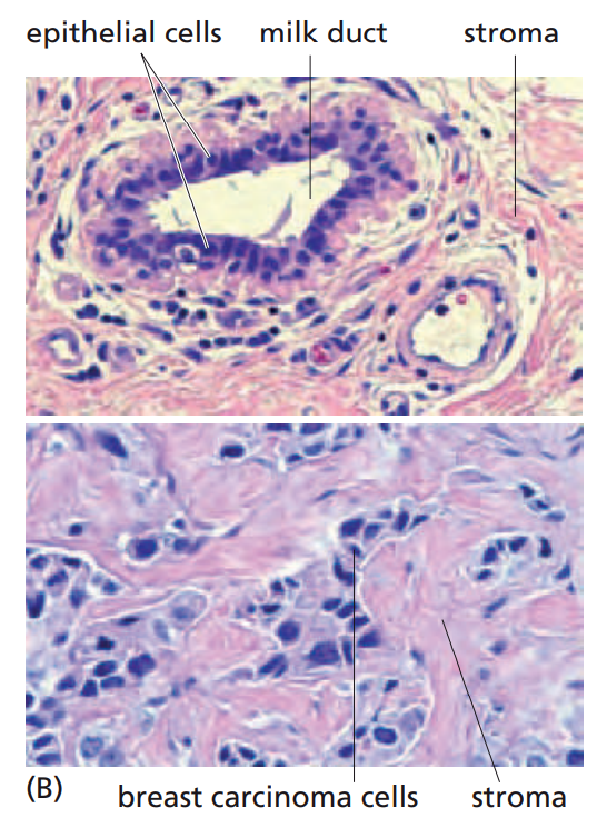
肿瘤起源于正常组织
早先,许多人认为肿瘤是一种通过某种方式植入患者体内的异己物,而现在,随着组织病理学的发展,通过对正常组织切片和肿瘤组织切片进行比较发现,肿瘤组织也和其它正常组织一样,是由大量的细胞构成的。

此外,大量事实表明,各种不同类型的肿瘤常常都是源于它们正常来源的自身组织,而不是外界的入侵体。然而,肿瘤确实有在体内迁徙的能力,在许多患者体内,癌细胞能在体内扩散并且形成新的癌细胞集落,这些新集落,即转移灶,通常都可被溯源到肿瘤发生的最初位点,即原位癌。
组织病理学使人们能够了解肿瘤的临床表现与其显微结构之间的关系。依据肿瘤侵袭性生长的程度不同,将其划分为2个大类。那些只在某一处生长而不侵袭到邻近组织的称为良性肿瘤,而能够侵袭到邻近组织和发生转移的称为恶性肿瘤。
事实上,除了少数由于扩张而压迫到重要组织器官的肿瘤块之外,绝大多数原发瘤是良性且对宿主无害的。
3
肿瘤源于机体内许多特定种类的细胞
人类大多数肿瘤来源于上皮组织。上皮细胞使构成体腔、管道和表皮的线性排列的层状细胞。在上皮细胞层之下是基底层(也叫基膜);基底层则把上皮细胞与下面起支持连接作用的间质层细胞分开。

上皮细胞孵育产生人类最常见的肿瘤,称之为癌。80%以上的癌症相关死亡都是这类肿瘤引起的。其中包括胃肠道上皮细胞层来源的肿瘤,胃肠道又包含口腔、食管、胃、小肠和大肠,以及皮肤、乳腺、胰腺、肺、肝、卵巢、胆囊、和膀胱来源的肿瘤。
绝大多数恶性肿瘤可被分为两类,分别反映出与上皮细胞相关的两个重要的生物学功能。一些上皮细胞层的主要作用使封闭腔穴或管道的表面并且保护其下层的细胞,由这类上皮细胞发展而来的肿瘤叫做鳞状细胞癌,如皮肤和食道的上皮细胞。还有许多上皮组织中存在特殊的具有分泌能力的细胞,它们可以释放分泌物到自身形成的导管或腔穴中,这种上皮组织衍生的癌称为腺癌,如肺和胃的上皮细胞。多数情况下,两种类型的癌细胞共存于这些器官的肿瘤中。
另一大类非上皮组织来源的恶性肿瘤是由各种构成造血系统的细胞转化而来的,包括免疫系统的细胞,T淋巴细胞,B淋巴细胞、浆细胞和髓系细胞都属于此类。白血病就是由一些造血细胞系发生恶性转化而致,白血病中的肿瘤细胞使呈单细胞群落,散布在循环系统中;而淋巴系肿瘤则能够聚集在淋巴结形成实体瘤。
第三大类是一类非上皮组织来源的肿瘤,是由构成中枢和外周神经系统的各种细胞恶性转化而来、这类肿瘤通常被称为原始神经外胚层瘤,包括神经胶质瘤、胶质母细胞瘤、成神经细胞瘤、神经鞘瘤和髓母细胞瘤。
除此以外,还有一些不适合划分到以上类型的肿瘤,如黑色素瘤是来源于皮肤和视网膜中含色素的黑色素细胞。
4
肿瘤的发生发展
理论上,肿瘤可以起源于单克隆,或者多克隆。在多克隆肿瘤中,多种细胞跨越了正常到恶性转化细胞的界限,从而变成了一个肿瘤块中多种遗传学上有显著区别的细胞亚群各自的祖先。在单克隆肿瘤中,只有单个细胞从正常状态转变成具有癌症行为的状态,从而变成了一个肿瘤块中所有细胞的祖先。

事实上,大多数人类肿瘤都是单克隆群体,即从单个的祖细胞开始逐步走向恶性转化。这个多次得到证明,其中一个证据来自于对骨髓瘤的研究,骨髓瘤主要是源自能分泌抗体的浆细胞的母细胞-B淋巴细胞。通常情况下,B淋巴细胞由数量极多、区别明显的亚群构成,每个亚群都分泌一种特异性的抗体。与之不用的是,骨髓瘤患者的浆细胞却产生相同的抗体,提示它们是从之前的某一个单个细胞发育而来的,具有共同的祖细胞。
在正常组织和高度恶化的肿瘤组织两个极端之间,机体组织形态还存在着丰富的中间过渡状态。这些处于不同恶化阶段的细胞,反映了细胞逐步从正常组织变成具有侵袭和转移能力的恶化状态的过程。因此,肿瘤的每一个表型都代表了肿瘤发生发展过程的一个阶段。肿瘤的发生发展史一个多阶段的十分复杂的过程。
5
癌症的发生率
癌症的本质表明了这是一种机体发生混乱,生物学秩序崩溃的疾病。实际上,在机体发生癌变的机会是很大的,体内多于1013个细胞始终携带着这样的遗传信息,机体内的许多部位都存在细胞增殖失控的风险。人的一生平均要形成1016个稳定的细胞集落,每一次经过复杂的细胞生长和分裂过程产生新的细胞,其间都是许多容易出错的地方。
根据世界各地临床诊断的结果和发病率来看,一些癌症发病的风险非常高,而另一些则不是那么高。

除了针对某些特别的癌症相对稳定的发病率外,某些因素针对一些特定的人群能显著地提高癌症的发病率,这两个重要因素就是遗传因素和环境因素。不同的人群携带肿瘤易感基因有很大的差异,同时人们所处的环境对肿瘤的发病率也有显著的影响。这里所指的环境因素,包括了广义上的空气、水分和生活习惯。
某些肿瘤在不同人群中的发病率确实存在着巨大差异。在中国,乳腺癌的发病率是美国或北欧地区的1/6。当排除了遗传因素后,我们可以总结出,只要让他们经历与中国女性相似的生活环境和生活方式,85%发生于美国的乳腺癌理论上是可以避免的。
6
癌症的诱因
癌症的诱因大体包括以下几种:遗传因素、生活方式、化学试剂以及物理或化学致癌物。
很多肿瘤与遗传因素有关,如果家族中的直系亲属存在某种肿瘤,自己患上肿瘤的几率也会跟着提高,在外界的诱因下比更容易诱发肿瘤。近年来肿瘤的分子遗传学研究表明,一些与细胞的生长和分化有关的基因在癌变过程中起关键作用,这些基因称为癌基因和抑癌基因,它们的结构或功能异常使细胞得以无控制生长,并最终导致肿瘤发生。
在现代流行病学建立的一个世纪前,人们就发现某些癌症的发生可能与生活方式有关。第一个报道来自英国医生John Hill,他于1761年注意到了鼻癌的发展与长期过度用鼻吸烟有关。14年后,伦敦的一名外科医生Percivall Pott报道了他所遇到的相当数量的青少年阴囊皮肤癌患者,这些患者都有过当烟囱清洁工的经历。之后不到3年,丹麦清道夫协会就要求它的成员们每天都要洗澡以去除皮肤上可能的致癌物,这项措施使得欧洲大陆阴囊癌的发病率在一个世纪之后都远低于英国。
煤焦油冷凝物,与PercivallPott研究中的致癌物相似,在20世纪初被用来诱导家兔产生皮肤癌。在家兔耳部皮肤的同一处反复涂抹,几个月后便会诱发出恶性肿瘤。这项研究是一项巨大的进步,因为它直接体现了化学物质的致癌作用。
直到1940年,英国化学家从煤焦油中提炼出几种能显著致癌的组分,它们都能够在小鼠的皮肤上致癌。组分中的3-甲基胆蒽、苯[α]并芘、1,2,4,5-二苯基-[α, h]-蒽都是普通的燃烧产物,这些发现提示我们,某些进入体内的化学物质能够扰乱细胞和组织,并且最终导致肿瘤发生。X射线也是如此,能够通过一种表面上看起来不同的作用机制来诱发癌症。
在20世纪前10年,研究者发现病毒能够感染小鸡并导致白血病和鸡肉瘤。到了20世纪中期,又发现了一系列病毒能在家兔、小鸡、小鼠和大鼠中诱导产生肿瘤。因此,人们探索肿瘤产生的原因主要从三个不同的方面入手:化学的、病毒的、物理的。
这三种致癌物的致癌机制直到人们对果蝇的遗传学研究取得了一些成果时,才取得了极大的进展。1927年,Hermann Muller发现X射线照射可以诱导黑腹果蝇基因组发生变异,更重要的是,这种基因组改变使其所包含的遗传信息也发生了改变。这也表明了X射线诱发癌症的一种机制:经过辐射作用能使正常细胞的基因发生改变,而这种改变就很可能导致细胞向恶性状态转化。