前言:时间过得真快,转眼间又一年了!今天是2024年的最后一天,明天我们将步入2025年,自己又离60岁迈近了一步。在历史的长河中,每一个个体都是匆匆过客,我们到底该为这个世界做点什么?如何表明我们曾经来过这个生机盎然的星球,富贵与荣华在人去后什么也不是,名利再大,也是过眼云烟。各人在不同行业内耕耘,99%点几的人都不可能达到为人世间留下点什么的高度,作为凡人俗子,若为自己所在的领域进步有点思考,有点推动或有点改变,而这种改变是有利于他人的,那么便已经是圆满的人生,也不枉在人世间走一遭。当然这与所处的时代、所从事的行业、所站的平台都密切相关。但努力与坚持是一切的根基!我在想,明天的公众号文章是不是对过去的2024自己的所做所为做个阶段性的小结?抑或仍写一篇病例分析?今天总仍再续分析算了。大家都知道检查发现肺结节,不太典型,不能判断到底良恶性时,随访时重要的法宝,随访若有进展,但仍不典型或仍觉得良恶性难定怎么办?或许在你看来,仍难定,但在我看来,这危险已经很大!
病史信息:
基本信息:
男性, 73岁。
主诉:
查体发现肺结节6个月余。
现病史:
患者于6个月余前查体发现肺结节。
2023年10月1日 病人咳嗽不断,随后进入当地三甲医院住院诊断,按炎症处理,同时做气管镜穿刺,诊断为大肠菌肺炎,CT影像及报告见附件1 ;
2024年1月19日 体检CT 影像 CT影像及报告见附件1 ;
2024年5月9日 体检,左肺上叶段结节8*5mm,右肺上叶5*4mm结节,CT影像及报告见附件1;
2024年9月24日 病人感冒,咳嗽,入住当地三甲医院,依然按炎症处理,此时左肺上叶段结节14*9mm,右肺上叶5*4mm结节, 引起重视,CT及影像见附件1 ;
2024年11月12日 前往上海某医院A医院,进行血液癌症筛选,CT检查,结果两肺见多发小结节,大者位于左上肺(im25),呈实性密度,大小约14*10mm,呈分叶状改变;余结节直径约2-4mm;两肺少许条索条片影及斑点影,所见各支气管腔通畅,纵隔内多发肿大淋巴结,胸膜无增厚,胸腔内无积液。甲状腺密度不均。冠脉少许钙化。CT及影像见附件1;
2024年11月19日 上海某医院B医院,见呼吸科专家,建议pet ct及手术切除;
2024年11月21日 胸部PET/CT图像示左肺上叶前段见实性结节伴糖代谢异常增高,大小约为15.1x11.3mm,平均CT值约为38.0HU,最大SUV值约为5.3,病灶呈浅分叶状、边缘见长毛刺(图6、7);双侧肺门及纵隔见多发糖代谢异常增高的淋巴结,部分淋巴结密度稍高,较显著者位于气管腔静脉间,大小约为22.0x16.0mm,平均CT值约为82.0HU,最大SUV值约为10.4; PET CT结果见附件2 ;
2024年11月26日 见胸外科专家,建议先做右肺淋巴结穿刺活检,根据结果再做考虑。 2024年11月29日 穿刺结果出来,气管镜EBUS病理:(4R+7组)镜下见肉芽肿形成,伴坏死,正在行免疫组化及特殊染色检查以协助诊断。T-SPOT43/52,纵淋巴结组织XPERT 阴性。胸外科判断为结核可能性较大,建议转感染科室,同时不建议做手术。
2024年11月30日 见感染科医生,按照肺结核吃药处理,同时等待免疫组化及结果。感染科医生结果见附件3 ;近期服用结核药物,略感身体发热。无胸痛胸闷,无头晕头痛,无腹痛腹胀,今为求进一步诊疗来诊。
患病时长:
6个月余
曾就诊医院:
当地某大学附属医院,属于当地三甲;上海A医院;上海B医院。
当前正在使用的药物:
现在仅仅是前列腺炎相关的药物在服,另外就是上周医生按照肺结核开的药物在服。
其他病史:
抽烟喝酒50年有余,平均1-2天/包,目前已戒烟6个月;喝酒一顿1-2两,每天1-2次,截止12月3日目前已减少饮酒。常年饮食较为辛辣,无心脏,高血压,糖尿等基础疾病。有常年甲状腺肿大随访中,前列腺炎吃药。常年身体及精神状态都较好,除冬天偶尔感冒咳嗽,无其他重大病症。
希望获得的帮助:
希望根据目前所有的检查和资料,帮忙判断左边的肺部到底是结核还是肿瘤?肺部结节1年有余,目前已在上海某医院做过CT,pet ct,以及胸外科手术准备,做过淋巴穿刺,但临前一天被告知疑似结核,所有影像资料都有,请叶医生帮忙深度把握下 疑问:1 左边肺部的问题始终没有结论? 2 如何通过右边淋巴活检结果判断左边肺部为结核?
影像展示与分析:
历次影像病灶变化情况:

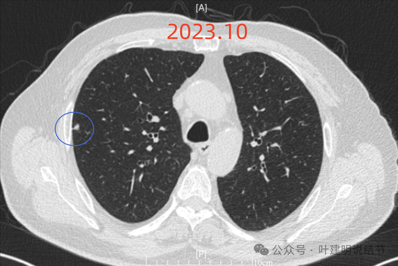
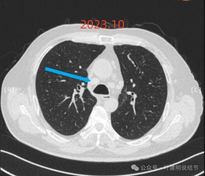
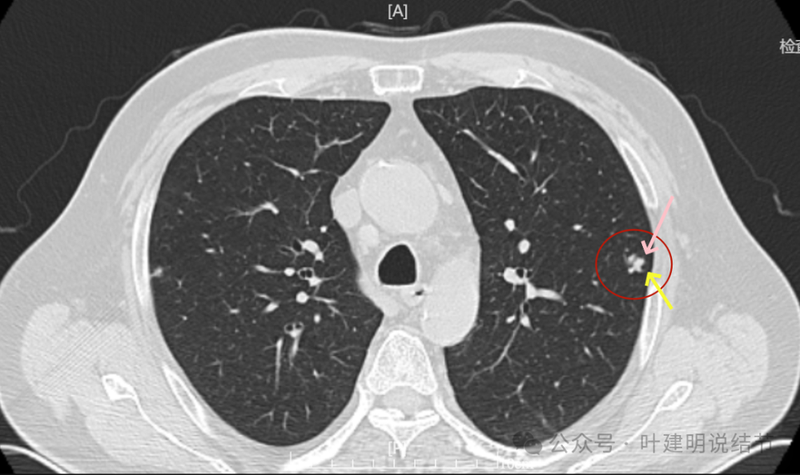
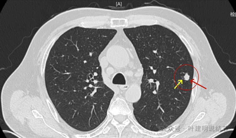
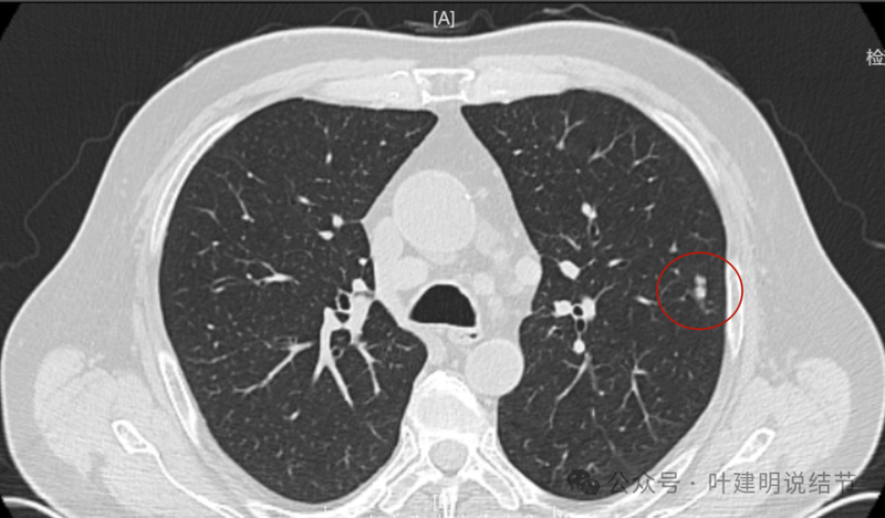
回顾看2023年10月时左上叶此处略有异常,微小实性结节,有血管与之相连。

右上叶另有实性结节,密度较高,边缘略显糊。

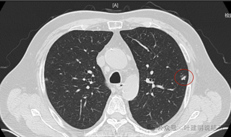
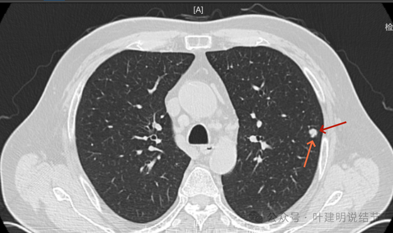
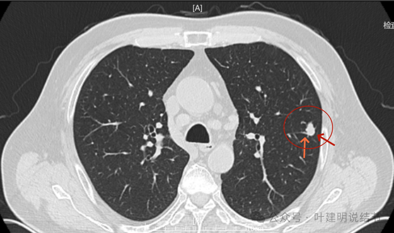
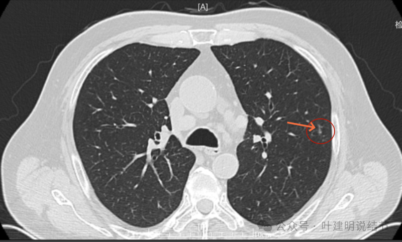
2024年1月病灶较3个月前明显增大进展,是实性小结节,有微小血管走向病灶。

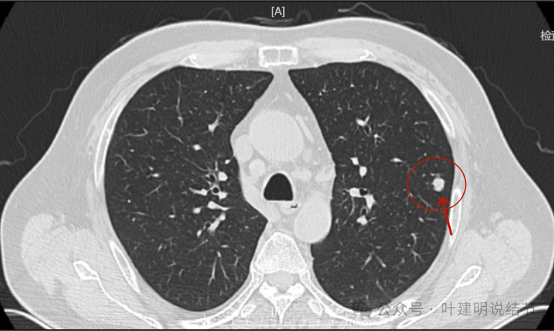
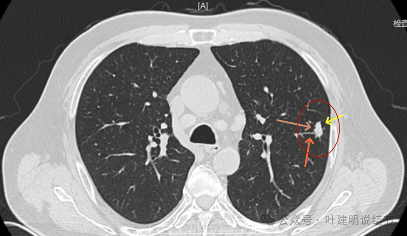
2024年5月病灶又有增大进展,实性密度,轮廓较清。

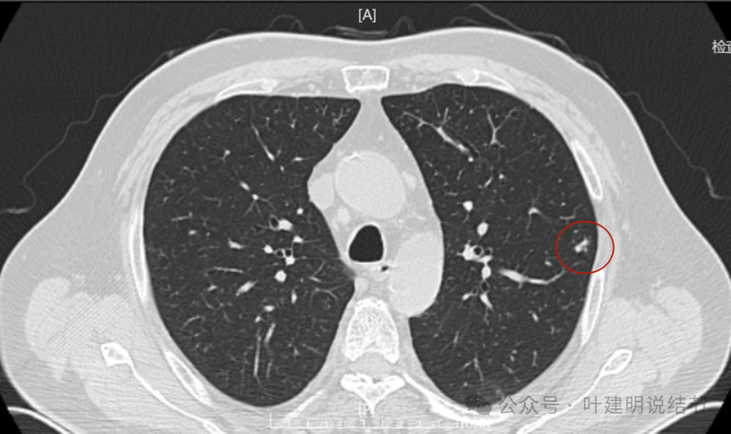
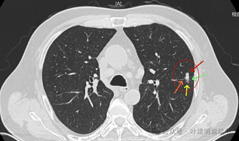
2024年9月再增大进展,见血管进入明显,靠血管这侧的边缘较为毛糙。

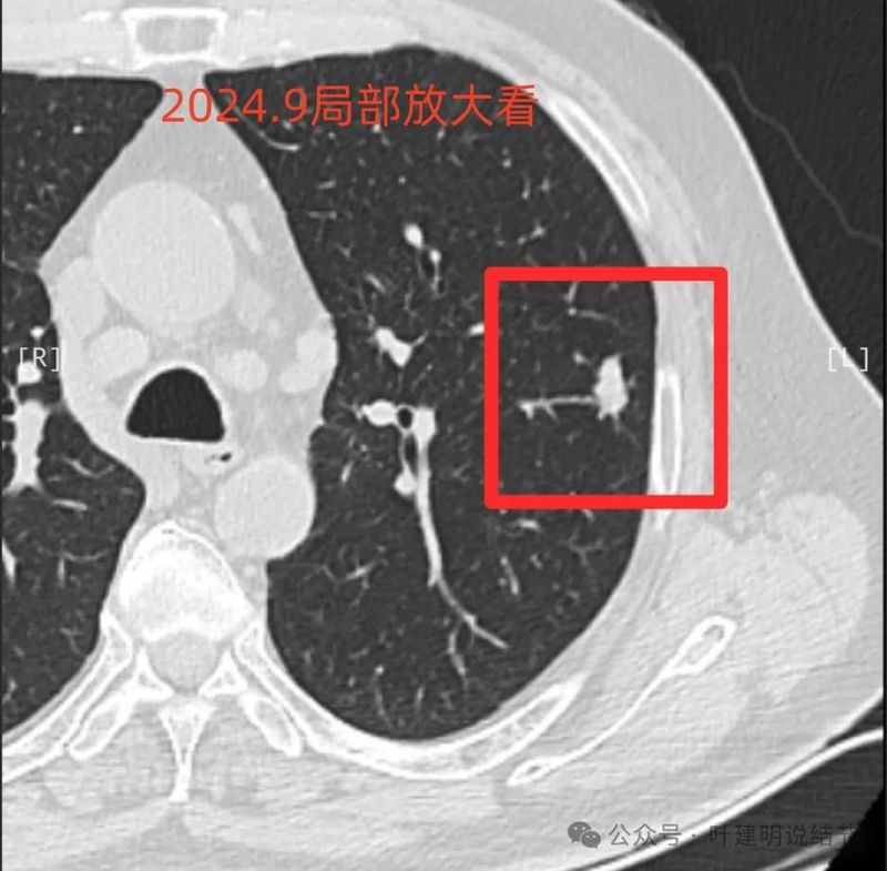
局部放大病灶表面不平,血管进入,进入的血管有异常增粗,没有见到明显卫星病灶。

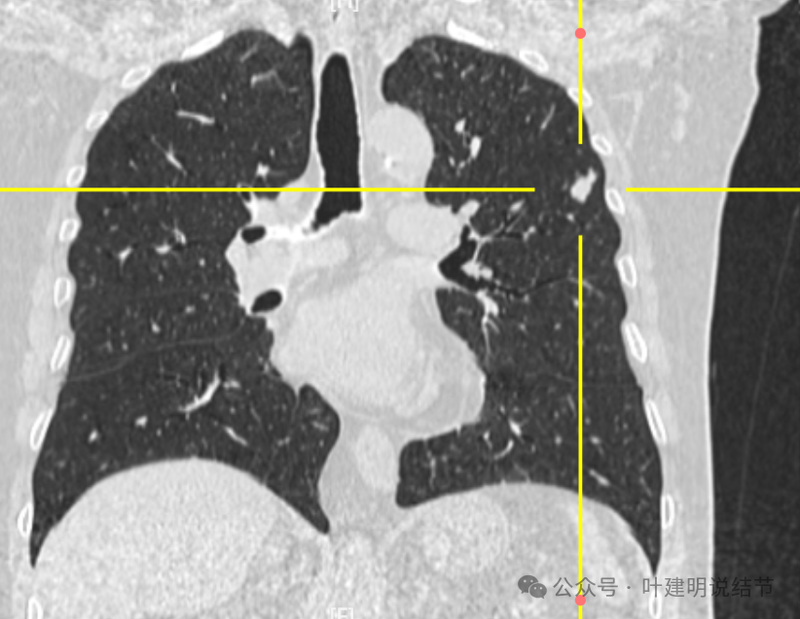
冠状位病灶形态稍不规则,实性密度,表面不平。

矢状位更显得形态不规则,表面不平,有浅分叶征。

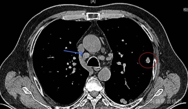
纵隔窗见为实性密度,同时见右侧纵隔腔静脉旁明显肿大淋巴结(蓝色箭头)。

回顾2023年右侧纵隔肿大淋巴结也是有的,而且大小与2024年9月的相仿。

上图是2024年9月的,隆突下也有肿大淋巴结。
主病灶连续层面影像:

病灶出现,密度较高。

边缘不光滑。

明显实性成分,灶边的细支气管有扩张。

血管与之关系密切,实性密度。

整体有膨胀感,血管有进入病灶。

实性密度并圆形或类圆形,膨胀性明显。

边上有细支气管扩张。

血管进入明显,边缘毛糙不光滑。

血管进入以及表面不平,形态不规则。

少许偏磨玻璃成分,灶边细支气管扩张。

细支气管扩张与实性密度。

边缘区也有细支气管扩张,说明病灶有收缩力,影响邻近细支气管。
我的意见:
我想我们这样来考虑问题:1、左肺上叶主病灶实性密度、随访持续进展,边缘有血管穿过并形成血管弯征,这种病灶要警惕是恶性的;2、位置在胸膜比较近的地方,单孔胸腔镜下局部切除方便,即便真的是肉芽肿性炎或者良性,手术创伤以及切除的肺组织并不多,但是却可以去除病灶并明确诊断;你赌他是良性,但如果事实上是恶性,实性密度的随访会延误病情。而切除即便良性也是利大于弊;3、左肺上叶这个病灶本身没有结核的典型表现,整体轮廓比较清楚,没有卫星灶,也没有边缘偏模糊的情况,影像上并不是很考虑是结核或者是肉芽肿性炎。虽然肉芽肿性炎也确实有随访进展的,但我们要从风险高低的角度来考虑;4、右侧腔静脉旁以及龙头下都有肿大淋巴结,左侧主动脉弓下也有肿大淋巴结。当时左肺上叶病灶非常微小的时候,淋巴结肿大已经存在。而且对比淋巴结没有进一步增大,左侧这个病灶却持续进展。这用一元论不能够解释,如果淋巴结肿大是反应性增生或者肉芽肿性炎症,和左侧主病灶是肿瘤性质的,那么就非常能够解释这样的现象。所以你这个病灶我的意见是建议胸腔镜下微创切除。先做楔形切除,如果良性结束手术,如果恶性可以考虑淋巴结采样,但个人并不主张一定要肺叶切除。我的截图上面蓝色箭头标注的是纵隔肿大的淋巴结,红色框起来的是左肺上叶主病灶不同时间段的样子。意见供参考!
感悟:
这个病例我仍不知道最后的结果,但我一直强调我们考虑良恶性一定要看能不能用所考虑的诊断来解释所表现出来的影像特征。就如前面所说的,右侧淋巴结若是转移,缘何2023年10月就已经明显增大了的,且到了2024年9月并没有进一步增大进展。当时左侧主病灶还只是一个小点状呢!用左侧这个小斑点状病灶来解释对侧淋巴结是转移显然解释不通,同样用右侧纵隔淋巴结穿刺是肉芽肿性炎来解释左侧随访一直在进展的实性结节也比较勉强。此时是否抛开右侧肿大淋巴结,只关注左侧主病灶的发展变化来考虑,即二元论更能说明问题?有长期吸烟史,进展迅速,会不会是低分化癌或小细胞癌?不取得病理依据,我是认为怎么也不能放心的,不能因为右侧纵隔淋巴结穿刺良性,就认为左侧病灶也必同样良性!