前言:由于大医院整体水平更高、见识更广、教授地位更高、权威性更大,患者看病总容易更相信大医院大教授的意见,所以若是下级医院医生的意见与上级医院不一致,必容易怀疑下级医院医生水平不行。甚至我碰到过纯磨玻璃结节问诊我,我考虑原位癌可能性大,且才1厘米左右,建议先随访,待有进展出现实性成分再干预切除便可。结果在某大医院切了病理结果报的是浸润性腺癌贴壁型。其实只要是贴壁为主,不管是原位癌,微浸润性腺癌或浸润性腺癌,并没什么区别。但患者要我退费,要到平台投诉我,说我判断错了。其实网络咨询也好,门诊就诊也罢,哪能必定从影像直接定病理类型,有出入也正常,如果这样也有错,那一是医生没法当,二是我还觉得上级医院切得积极了呢,三是病理不同的人看也会打不一样的结果。今天分享的这位结友也是问诊的,之前分析过她的病例,后来随访结果来了后,结友又再次问诊,并反馈了之前的随访结果。十分感谢结友的反馈,正是越来越多乐于将自己的病情愿意在公众号分享,才能形成问诊的闭环,有影像分析、有诊断结果,再有反馈,就完整了,从而能让我们不断纠偏,不断推动我们诊疗水平的提升,当然也给广大结友以借鉴。
病史信息:
基本信息:
女性, 53岁。
疾病描述:
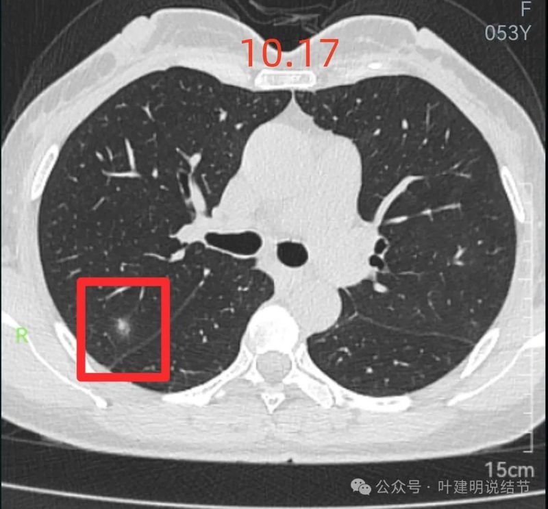
12月17号复查胸部CT,10月17号发现的混杂毛玻璃结节消失了,烦请叶主任诊断12月17号报告上结节的现状,很佩服叶主任,现在不乱挂号了,直奔叶主任来,业务精湛,诊断清晰明了,是有大爱的医者。
希望获得的帮助:
诊断报告肺结节情况,下次复查时间,注意要点。
影像展示与分析:

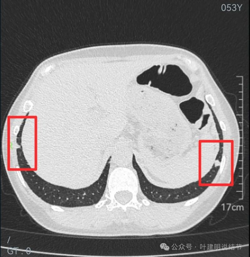
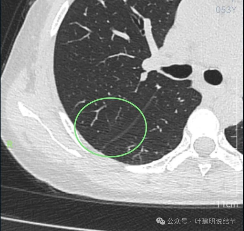
两下肺实性结节,边缘平直,右侧的以宽的基底与胸膜侧接触,两侧均无收缩力,也无膨胀感。考虑良性结节(与之前对比也无进展)。

右下很淡的微小磨玻璃结节,轮廓较清。

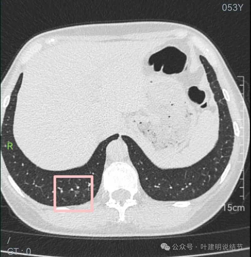
左下很淡也不太确切的磨玻璃影,轮廓与边界欠清。
我的意见:
红色的实性结节缺乏膨胀性,位于胸膜下,两侧多发,考虑良性的;黄色的密度过淡,也不是典型结节状,大概少许纤维增生或肺泡上皮增生可能性大,目前风险小;粉色的磨玻璃密度,轮廓与边界清楚,考虑肺泡上皮增生或不典型增生可能性大。总体可年度复查随访。意见供参考!
前次问诊病灶情况与相关反馈:

前次问诊时上海某大医院教授认为必是恶性的病灶。

前次问诊时结友想知道复查申请何种CT,我告诉她无所谓的,反正到时候病灶基本就吸收了。

结友在我针对她的问诊进行分析的文章后方留言,告诉大家病灶已经完全吸收。

原来病灶处已经几乎不见异常。

结友的点赞与鼓励。
感悟:
像今天分享的这位结友这类肺结节是否为恶性,我的经验是:混合磨玻璃结节如果瘤肺边界欠清的基本上不容易是恶性。加上此例又是短时间内出现没有随访过,且两肺多发的,尤其还此起彼伏的,更加不可能恶性。当然有时混合密度结节边界确实也较为清楚,若首次发现时也会比较困惑与难以判断(今天此例不在此列)。我是反复强调,肺结节的良恶性“单次看影像,随访看对比”。对于混合密度结节,“整体轮廓清、瘤肺边界清楚”是最为重要的恶性影像特征,但要加上一个定语“随访持续存在”。因为许多炎性恢复期的混合密度阴影可以表现得与早期肺癌一样也边界较为清楚,也可以有血管进入并血管壁显得增粗。但炎性的适当随访后就会有变化,所以混合密度结节首次发现的,即使考虑恶性,也宜随访一次,哪怕几天也是好的。