前言:我们在科普中反复讲,天天讲,判断肺结节的良恶性以及恶性程度高低,密度是关键!但也切不可陷入误区,认为实性的容易恶性,而且风险肯定高。其实总体上来讲:随访持续存在的轮廓清楚的纯磨玻璃结节基本上肿瘤范畴的,但它们发展慢、风险低,不着急;混合磨玻璃密度瘤肺边界清,或有明显毛刺的容易恶性,而短期内出现,边界不够清晰的则容易炎性;实性结节多发微小的基本上良性,孤立的小结节看随访对比,而孤立性较大的结节则容易是恶性,而且相对于磨玻璃结节来说风险会更高。今天分享的这个病例右上叶既有混合磨玻璃结节,也有实性结节,那么它们会是什么呢?
病史信息:
结友发现肺结节已经5年了,近期在当地人民医院复查,虽示较前相仿,但考虑高危结节。来我门诊看后,我考虑其是恶性的,而且该手术了。
影像展示与分析:
主病灶:

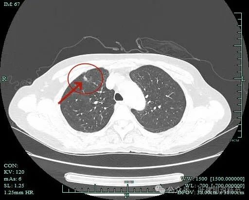
右上磨玻璃结节出现,有轻微胸膜牵拉的感觉,整体轮廓较清。

密度不纯,有偏实性成分。

实性成分较明显,部分是磨玻璃密度,中间有空泡样征,整体轮廓清楚。

有明显毛刺以及灶内密度不均,病内密度显得杂乱,并有细支气管扩张。边缘毛刺明显且锐利。

毛刺、细支气管截断征、密度杂乱、轮廓清,有偏实性成分。

细支气管截断,毛刺与微小血管进入。

密度较高,毛刺较锐利。

混合密度伴毛刺。

虽瘤肺边界欠清,但整体轮廓较清,而且毛刺征有。血管弯征也有。

边缘区域密度较淡。
次病灶:

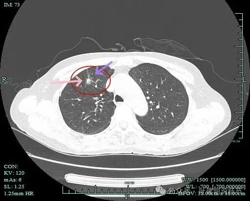
右上另有实性病灶,有血管进入且有异常增粗,相应胸膜有增厚。
两侧肺门与纵隔淋巴结广泛钙化与纤维化:




既往影像:




影像判断:
主病灶是典型的混合磨玻璃密度结节,集齐毛刺征、血管征与血管弯征、细支气管扩张与截断、整体轮廓清、轻微胸膜凹陷,灶内密度杂乱以及加上随访持续存在并进展,几乎必是恶性范畴的,而且已经要考虑浸润性腺癌。次病灶由于密度过高,虽有血管进入,但随访无进展,而且对应胸膜有增厚,这种表现容易是炎性的。
临床考虑:
对于是否已经到了该手术的程度来讲,主病灶随访已经5年,对比有进展,而且密度不纯,有这么多的恶性影像特征,考虑已经是浸润性癌了的,应该是要干预处理的。次病灶本身风险仍低,考虑良性可能性大,但若主病灶要处理,则此灶也可同期一并切除。我们开始的考虑是行肺叶切除,一是考虑主病灶浸润性了,二是次病灶万一若恶性则也是浸润性的。但术前讨论与商量后又基于两肺门与纵隔淋巴结多是钙化与纤维化的,而主病灶仍有较多磨玻璃成分,其实存在转移的概率非常小,又倾向也可两灶均考虑楔形切除。相关情况与患者家属充分沟通,最后家属也认可并同意右上叶部分切除。
最后结果:
杭州市第一人民医院胸外科叶建明手术团队为其手术。

主病灶表面观,见胸膜有皱缩,质较硬,界欠清。

剖面观病灶灰白,质硬,无包膜。

次病灶密度过高,黑色,质紧硬,不似恶性。

术中快速病理示主病灶贴壁生长的腺癌,局灶浸润;次病灶间质纤维增生伴胶原化。

常规病理示:主病灶浸润性腺癌,贴壁与腺泡均占50%;次病灶纤维增生伴胶原化,碳沫沉积。与术前的判断是一致的。
感悟:
这个病例若是切肺叶同样是非常符合原则的,但我们讨论认为,病灶已经随访5年,进展缓慢,而且仍有较多磨玻璃成分,实性成分也不是非常致密并有强收缩力的那种低分化的样子。再加上肺门与纵隔这么多钙化与纤维化的淋巴结,若定要切肺叶,则不单增加肺功能损失程度,也增加术中出血、中转开胸或其他相关风险。权衡利弊后还是与患者及家属商量,并如实告知相关风险与可能的预后情况,由患方选择。从事后的病理结果来看,预后应该是良好的。从此例我们也发现,其实密度在肺结节的诊断中虽然重要,但过高密度反而容易是良性的;混合密度的随访持续存在并进展则恶性的可能性大得多。手术时主病灶或次病灶的确定与是否同期顺带切除,也要依病灶的形态、大小、位置以及随访对比情况综合评估考虑。假如该例病灶在下叶需肺叶切除才能取得的,那必先不处理,只切主病灶。