本案例来自《CHEST》杂志2024年最新一期,做了适当修改。
基本情况:患者,81岁,男性,有30年的吸烟史。
主诉:右手抽动、消瘦5个月。
现病史:5个月前患者无意识下出现右手有节奏地抽动,在过去的五个月里病情逐渐恶化。否认有呼吸急促或咳嗽、咯血、胸痛,无头痛、头晕、四肢无力等情况。近5个月来体重下降5公斤。
既往史:有高血压和血脂异常病史,但没有肺部疾病史。
体格检查:体温36.5度,血压125/85mmHg,心率80次/分,呼吸频率18次/分。皮肤粘膜无苍白或巩膜黄疸的迹象。右锁骨上淋巴结触及肿大,2cm*2cm。心血管检查显示心脏大小和心律正常。肺部呼吸音清,无干湿罗音。神经系统检查未见异常,无明显的肌肉无力或感觉异常,观察到右手静息性震颤,伸手拿东西时情况也没有改善。
实验室检查:血常规、肝肾功能、电解质均正常;
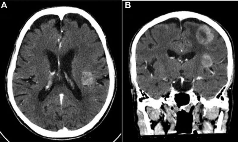
脑部CT扫描显示左侧顶叶内可见多发大肿块,增强后显示伴有不均质强化,肿块局部压迫效应明显,伴有血管源性水肿(见下图A和B)。

胸片和胸部CT扫描(下图C和D)可见右下叶有一大团块,左下叶有一个小团块,右下叶团块大小是5.0cm*4.3cm*6.5cm,有分叶,增强后不均匀强化。

为明确诊断,在超声引导下经胸穿刺活检。病理切片HE染色发现双相分化的恶性细胞,在淋巴样组织中可以看到由外围由间充质细胞所包绕的分枝腺样结构。基质成分由卵形或梭形细胞所构成,这些细胞细胞核呈泡状,细胞质稀少和大量有丝分裂(下图)。
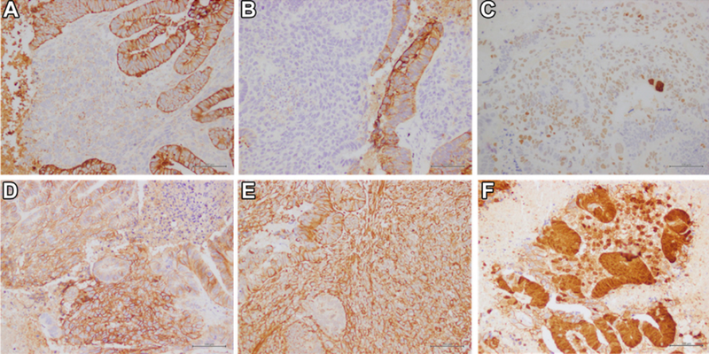
免疫组织化学(图3)显示腺体成分细胞角蛋白(AE1/AE3)阳性,细胞角蛋白7,CD56, 波形蛋白(vimentin)和甲状腺转录因子-1 (TTF-1)阳性;基质成分中波形蛋白、CD56和TTF-1(局灶性)阳性。在腺体和胚质成分的附加免疫组化染色示细胞质和细胞核表达b-连环蛋白。
细胞角蛋白20、嗜铬粒蛋白、CD34, desmin、Napsin A,抗平滑肌抗体,S-100和突触素染色阴性。

诊断:肺母细胞瘤(pulmonary blastoma)
讨论:
肺母细胞瘤是一种极为罕见的侵袭性恶性肿瘤,约占原发性肺肿瘤的0.25% ~ 0.5%。伯纳德(Bernard)在1952年首次将PB描述为“胚胎瘤”,一种被认为起源于胚胎组织的快速生长的细胞团。1961年,Spencer将这种肿瘤命名为“胚细胞瘤”,因为它具有混合间充质、上皮和未分化胚细胞成分的形态学特征,类似于肺发育早期之前的胚胎组织。根据临床病理和分子数据,PB被归类为肺肉瘤样癌的一种。它具有典型的双相模式,其中上皮成分形成腺状结构,间充质细胞呈现不同程度的分化。
目前对PB的发病机制知之甚少。然而,已经在PB组织样本中检测到一些突变基因,包括BRCA2、TP53、CTNNB1、BRAF、PIK3CA和EGFR。
PB发病年龄多< 50岁,但也有> 70岁患者的病例报道。男性多见,吸烟史可能与这种肿瘤有关。典型临床表现为咳嗽、呼吸困难或胸痛,40%的病例可能无症状。部分病例由于局部侵犯和邻近结构的破坏,可发生咯血。
影像学上,典型的肿瘤是一个大的孤立肿块,边界清,常位于肺上叶,也可以发生在胸膜和纵隔。这个肿瘤会发生经血道转移,常见转移部位包括骨、肝和脑,发生转移与预后不良有关。
免疫组化表达谱支持PB的诊断包括恶性上皮成分细胞角蛋白、癌胚抗原、上皮膜抗原和TTF-1阳性,间质部分波形蛋白、desmin、肌动蛋白和S-100阳性。由于在PB中发现了b-catenin基因的突变,因此通过组织染色检测b-catenin在细胞质和细胞核中的表达可作为诊断的额外线索。
PB患者的临床病程各不相同,但总体预后较差,5年生存率为16% ~ 58.8%。大多数PB患者在早期能被诊断出来。对于未进展的患者,首选完全手术切除。由于缺乏临床试验数据,辅助化疗和放疗的标准方案尚未建立。对晚期疾病患者可进行了全身治疗,包括化疗、表皮生长因子受体酪氨酸激酶抑制剂、间变性淋巴瘤激酶抑制剂和抗程序性细胞死亡蛋白-1(PD-1)治疗。
临床过程
根据第八版肺癌分期,本患者诊断为IVa期肺癌(cT4N3M1b)。对病理组织进行基因检测,包括KRAS、PIK3CA、BRAF、ERBB2和EGFR的DNA突变,以及ALK、ROS1、RET、NTRK1-3和MET,结果均为阴性。
首先,给患者进行姑息性全脑放疗。然而,他拒绝接受额外的全身化疗,仅接受了疾病相关症状的支持性治疗。