前言:肺结节的随访与干预在近年内仍是个一直值得讨论的话题,考虑肺癌并不一定要马上手术,但要随访,随访的目的是等病灶发展变化并有一定风险,要在对机体造成较大危害前解决它。不马上手术的目的是推迟机体创伤的时间,以及等待新的技术与理论与出现。就如原位癌,十多年前切肺叶加淋巴结清扫是正确的,也是符合指南的,结果到了2021年,病理分类中居然将它剔除出肺癌的命名之外了,属腺体前驱病变,也就是说若能确定是原位癌都不需要开刀了,不算肺癌了,肺癌从微浸润性腺癌起步。当然临床上意义到底如何另说,至少从病理分类上是这样的。所以现在如果仍查出的肺结节考虑是原位癌可能性大,必不能直接切肺叶,更不要说清扫淋巴结了。当年被切除肺叶的原位癌患者从事实上来说就是亏大了,但没有办法,医学有其局限性,当时的认知以及治疗指南就是肺癌要早发现、早诊断与早治疗,而且早期肺癌的标准术式就是肺叶切除加淋巴结清扫。所以几年以后,再来回头看现在的早期肺癌、磨玻璃肺癌的治疗,或许也会有很大的不同。所以随访的意义还在于等待医学理论与实践的发展,观念的改变。但有的结节却不能再等了,因为以目前的医学知识,再等下去可能有不良的后果。
病史信息:
主 诉:
咳嗽6年余,发现双侧肺部阴影4年余。
现病史:
患者6年前无明显诱因下出现咳嗽,呈间歇性干咳,有气急,余无胸闷咳痰,无畏寒发热等不适,当地医院予抗生素治疗(具体不详)数月,患者诉症状稍缓解。4年前患者再次出现咳嗽症状,伴咯痰,为黄色粘痰,至当地医院查胸部CT提示右肺中、上叶增殖灶(具体报告未见),嘱定期随访。4年来,患者定期复查胸部CT,肺部增殖灶未见明显变化。5天前再次于杭州市某人民医院就诊,复查胸部CT:右肺上、中叶,左肺见多发结节,较大者位于左肺下叶(IM172)为部分实性结节,大小为9mm×7mm,边界清晰。现患者无明显症状,无畏寒、寒战,无咳嗽、咳痰,无胸闷、胸痛,无恶心呕吐,无腹痛腹泻,无头晕头痛骨痛等不适,为求进一步诊治,拟“肺部阴影”收入我科。
影像展示与分析:

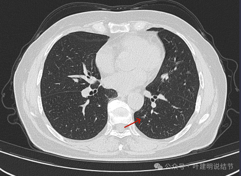
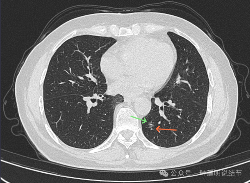
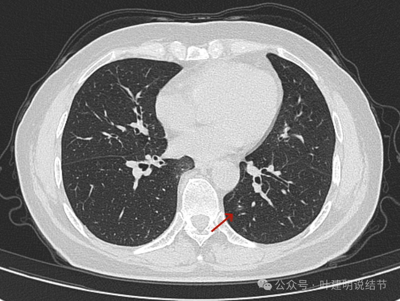
病灶出现,磨玻璃密度,略有偏实性成分,整体轮廓与边界较为清楚。

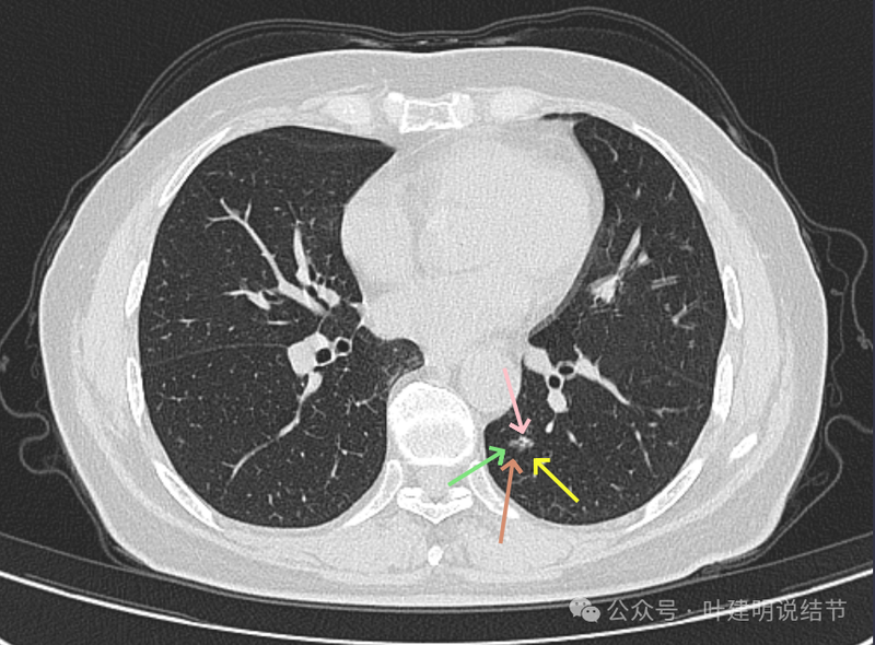
混合密度,轮廓清。有实性成分、有局部细支气管扩张、有浅分叶征,病灶有明显磨玻璃成分。

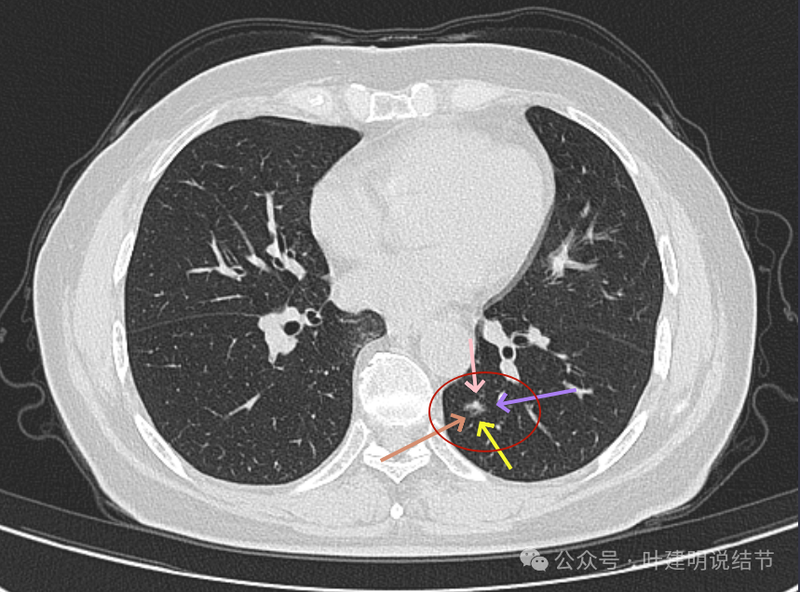
灶内细支气管扩张、边缘毛刺、虽小却有明显分叶征、整体轮廓与边界清楚、实性成分明显。

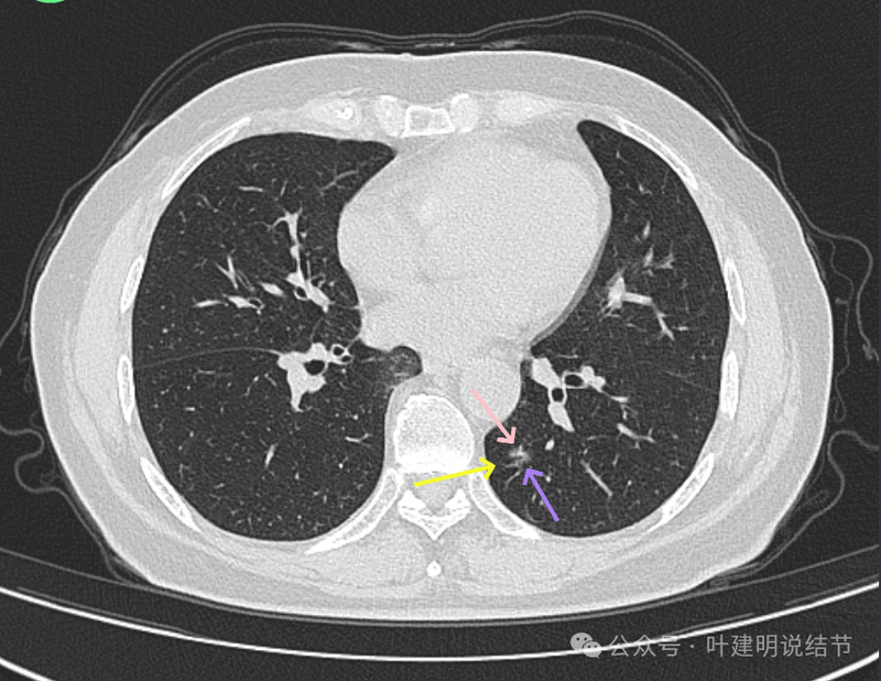
细支气管扩张以及边缘细毛刺,整体轮廓清。

磨玻璃密度伴少许偏实性成分,有微小血管进入。

边缘区密度淡,但轮廓仍清。
临床考虑:
1、诊断问题:由于在外院随访与检查,没有得到之前的影像资料,但只看最近的影像,已经是很典型的恶性影像表现的混合磨玻璃密度结节,而且集齐了灶内细支气管扩张、微小血管进入、浅分叶征、细毛刺征、混合密度与轮廓和边界清楚等诸多恶性影像特征,我们的考虑是至少微浸润性腺癌,有手术指征。
2、手术考虑:由于病灶位置靠近胸膜并不远的地方,也不是位于肺门部,所以能够局部楔形切除。对于能够楔形切除的早期肺癌,在处理决策上要相对于位置不好,只能切肺叶的可以稍积极些,因为手术切除既可解除危险,又对肺功能影响不大。当然那也不是说,不典型增生或原位癌也定要积极切除。
最后结果:
杭州市第一人民医院叶建明团队为其进行了单孔胸腔镜下微创手术,非常顺利,恢复也很好。

切除的组织只比较拇指稍大点的范围,对肺功能几乎无明显影响。病灶切面灰白,质较硬。

术中快速切片示腺癌,贴壁生长为主型。

常规病理示:浸润性腺癌,腺泡型占60%,贴壁型40%,淋巴结采样阴性。注:报告中说的另一质硬结节是定位医用胶,已经与病理科联系不必再诊断的。
感悟:
许多结友真的对于查出的肺结节到底该不该手术非常纠结,最主要的因素是不同医生的意见不一致,即使对于已经考虑是肺癌范畴的也意见不一,更不要说良恶性意见不同的情况下。但我们的经验,也是反复强调的主要是这两条:1、磨玻璃结节如果轮廓与边界清楚并随访持续存在的,基本上都是恶性范畴的,不是100%,也95%以上;2、干预与否的评估主要看密度纯不纯,实性成分占比越高风险越大,随访密度增加较范围有所增大更具危险性。所以此例虽然总体仍不算大,但有实性成分、有细支气管扩张、有毛刺、有分叶,风险明显还是较大的,加上位置能楔形,所以建议其手术。事后证明决策是多么正确!